INC大咖来华
巴特朗菲教授示范手术
12月24日是西方的平安夜,尽管天气寒冷,街上依然洋溢着温暖的节日气息。而在医院里,一场场关于生命的守护与接力,不曾停歇。对来自德国的神经外科大咖INC巴特朗菲教授而言,今日依旧行程密集——高难度的示范手术、与家属面对面的深入沟通、以及对术后患者的细致随访……对他而言,节日最好的礼物,莫过于见证每一位患者平安度过难关。

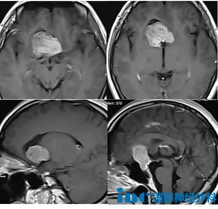
示范手术:巨大鞍区肿瘤切除满意
27岁的武女士,在这一天迎来新生。
她被诊断为鞍区巨大占位,肿瘤已达32×33×43mm,双侧大脑前动脉明显受压移位。医生建议开颅手术,但也坦言风险很高。此时,她右侧视野已出现明显缺损,记忆力和体力悄然下降,还发生了癫痫。面对如此复杂的病情,武女士一家在焦虑中寻找希望——怎样才能得到国际大咖的治疗?

12月3日,武女士的家人找到我们。短短20天后,巴特朗菲教授已站在手术台前,为这个年轻的生命全力以赴。
这台手术的关键在于鞍内部分——这里是肿瘤的起源位置,也是垂体和垂体柄所在的重要区域。巴特朗菲教授在术前分析中指出:“这部分必须极为谨慎地处理,以保护垂体功能不受影响。同时,肿瘤已累及大脑前动脉,血管保护至关重要。”
武女士担心手术切口会不会影响美观,巴教授也明确表示:“我们会把切口做得尽量美观。”

今天,在巴教授的主刀下,在国内神经外科团队的配合中,肿瘤切除满意,保留垂体柄结构。
新患者与老患者之间,这场生命的接力从未停止。它承载着绝望中的希望,也见证着重生后的美好。
今天,同样迎来好消息的还有一位老患者。2023年,他正是在巴教授主刀下,成功闯过“手术禁区”脑干,完成了海绵状血管瘤切除术。这次复查,他将带来怎样的答卷?
老患者随访:脑干术后近3年,“不能更好!”
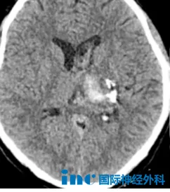
2021年,22岁的阿豪因持续头晕、乏力、呕吐就医。本以为是寻常小疾,却没想到问题竟出在“生命中枢”——脑干。影像检查显示,延髓海绵状血管瘤。
多家医院评估后,结论几乎一致:手术风险极高,稍有不慎即可能引发面瘫、偏瘫等严重后遗症。是在风险中谨慎生活,还是勇敢手术清除隐患?年轻的阿豪选择了后者。
2023年3月29日,在国内神经外科团队的密切配合下,巴教授主刀,成功为他全切了脑干海绵状血管瘤。
如今,术后已近三年。当被问及恢复情况,巴教授用了四个字总结——“不能更好。”

复查影像显示:肿瘤无残留、无复发,亦未出现任何新的神经功能损伤。教授建议,下一次复查可在2年后进行。
现在的阿豪,不仅早已回归正常生活,更拥有了走向远方的自由——他甚至计划去西藏旅行。从“生命禁区”中走出,到迈向高原圣地,这条路,他走得坚定而从容。
新患者咨询:在风险与收益间,做出理性抉择
28岁的李先生,已经与疾病抗争了数月。在经历动静脉畸形栓塞术和伽马刀放射治疗后,近期复查又发现了“左侧丘脑脑出血伴脑室内积血”。目前他仍受右侧肢体麻木、视野缺损等症状困扰。在伽马刀尚未完全起效的时期,他急需明确多个关键问题:现阶段是否可以保守治疗?是否需要再次介入手术……

巴教授在仔细评估后指出,从李先生目前稳定的情况来看,之前的治疗对动静脉畸形已起到控制作用,病情整体处于可控状态。因此,现阶段并不推荐再次进行介入手术。教授分析道,此时若再次手术,患者能够获得的实际改善可能有限,但需要承担的手术风险却依然存在,两者相比并不对等。
巴教授进一步建议,李先生目前要保持血压稳定。他可以正常生活,但是要保持适度。此外,教授认为可以继续观察一段时间,看看病情是否有新的变化。如果情况持续稳定,没有出现新的问题,就说明当前治疗方案是合适的,无须急于追加干预。
在寓意平安的节日里,巴教授的手术刀,为患者划开的不仅是生命的禁区,更是通往新生与安心之路。从新患者的复杂手术到老患者的长期随访,一个个令人欣喜的消息传来。我们深深祈愿,这份生命的希望与幸运,能够传递给更多仍在与疑难脑瘤抗争的患者。


