他,是INC国际神经外科医生旗下世界神经外科顾问团法国Sebastien Froelich(福洛里希)教授。他,是世界神经外科联合会(WFNS)颅底手术委员会前主席。他,擅长通过神经内镜和显微镜联合手术治疗颅底疑难肿瘤。他运用神经内镜“筷子手法”,为世界神经内镜发展和颅底显微手术技术进步做出贡献——“为了病人而战!”
神外大咖、国内年轻神外医生
眼中“不一样”的福教授
“我想发自内心的向中国患者介绍,对于那些患有颅底肿瘤以及其他神外疾病的患者们,尤其是能够通过神经内镜手术治疗的疾病,我建议Froelich教授作为你们的诊疗及手术医生。”
——世界脑干颅底大咖巴特朗菲教授
“Froelich教授,我想你们都知道他正值盛年,他已经在推进颅底外科方面做了很多工作,以及推进神经内窥手术……”
——北欧神经外科巨擘Tiit Mathiesen教授
“我以为Froelich教授内镜做得非常好,但是没想到教授的显微镜也做得非常好,我觉得法国高难度的脊索瘤,很多都在教授一个人手里,另外他岩斜区的肿瘤做得也非常好”
——苏州大学附属第四医院神经外科黄煜伦主任医师
“法国的Froelich教授,首先提出这个‘chopsticks technique(筷子技术)’,使用筷子是我们中国人最会用的,但是这个技术倒是Froelich教授提出来这个技术,它确实有非常大的好处”
——无锡第二人民医院神经外科王清主任医师
神经外科显微镜+内镜“双镜联合”手术大咖

为40多个国家的神外医生
提供学术培训和讲座
福教授长期以主讲人身份在国际IRCAD培训中心颅底进行课程培训,并受邀成为全球50多家医学院的课程主任和讲师,擅长在微创手术领域的培训教育方面。福教授以作者或合著者身份在学术杂志及书籍上发表了300多篇文章。
1994年,IRCAD在斯特拉斯堡大学医院内创建,是为全球外科医生提供手术技术和培训设施的非营利性机构,在微创手术领域的培训教育方面,目前IRCAD中心拥有来自全球的数十万名专业医疗会员。而福教授便长期是其课程主任,全球各地的许多神经外科医生远赴学习他的重磅课程-显微镜、神经内镜手术入路360度颅底课程。

IRCAD Africa
2024年5月20日-24日
卢旺达
2024年世界神经外科学院(WANS)年度会议
2024年5月11日-12日
西班牙马拉加

世界神经外科学会会议汇集了世界各洲、区域和国家的神经外科大咖。自2005年成立以来,该学会致力于通过鼓励世界神经外科专家之间的友谊来促进科学和实用医学的发展。成员的当选是基于他们的贡献以及在本国和世界范围内推动该领域发展的作用。两年一次的WANS会议,旨在促进世界神经外科专家之间的合作和友谊,交流科学知识,并表彰该专业的贡献者,也是展示演讲者在其各自细分领域见解和知识的专业活动。

▼部分讲座培训相关详情
1.颅底的显微镜和内窥镜方法,2009年11月,美国匹兹堡。
2.微创治疗三叉神经痛,2010年美国神经外科医师协会AANS年会,美国费城。
3.内窥镜和显微手术治疗海绵窦,2011年12月,法国里昂。
4.颅底解剖课程,2012年9月,德国慕尼黑。
5.Medtronic颅底解剖课程,2012年11月,英格兰剑桥。
6.颅底手术微观和内窥镜的观点,2013年5月,意大利那不勒斯。
7.内窥镜颅底课程,2013年10月,意大利墨西拿。
8.复杂颅底手术中的第三年度先进开放和内窥镜技术,2014年3月,美国新泽西。
9.高级颅内神经内窥镜,2014年9月,德国图特林根。
10.前颅底的内窥镜和锁孔入路,2014年10月,波士顿神经外科医生大会。
11.头骨基础课程,2015年3月,美国科罗拉多大学,丹佛。
12.经鼻内窥镜手术:从鼻窦到颅底,2015年7月,意大利布雷西亚。
13.新一代神经内窥镜训练(实践解剖课程),2016年11月,德国柏林。
14.颅颈交界处培训班(示范手术),2017年3月,西班牙巴塞罗那。
15.颅底脊索瘤的手术管理,2018年11月,WFNS颅底神经外科手术技术高级培训班,中国西安。
15.岩斜脑膜瘤,2020年5月10日,摩洛哥神经外科学会
16.斜坡脑膜瘤,2020年12月5日,欧洲神经外科协会EANS网络研讨会
17.颅颈交界区肿瘤的治疗,2019WFNS世界神经外科联合会全球特别大会(2019 WFNS Special World Congress)
19.6种颅底手术入路解剖和手术实训,2020年7月15-17日,法国Lariboisiere大学Skull Base Laboratory颅底实验室
20.开放手术及神经内镜手术的颅底解剖、颅底脊索瘤的外侧入路手术,2021年8月12日,第10届大师课程-脑/脊柱手术全球研讨会
21.里昂国际多学科脑垂体课程,2022年3月,法国里昂
22.颅底手术高级实践课程,2022年5月,法国杜塞尔多夫
23.雅典颅底实践课程,2022年5月,希腊雅典
24.国际神经内镜联盟关于脑干、脑室及颅底神经内镜实践研讨会,2022年7月,意大利那不勒斯
25.经岩骨神经管入路课程,2022年10月
26.第七届颅底显微镜和内窥镜手术入路年度课程,2022年11月,美国丹佛
27.第二届国际神经科学峰会,克利夫兰诊所,2023年3月,阿布扎比
28.神经外科直播课程,埃斯库拉普学院,2023年4月,葡萄牙波尔图
29.第一届神经颅底实践课程,4月,Pozzilli,意大利
“只了解一个手术入路是不够的”
显微镜+内镜“双镜联合”
大脑颅底区域,是一段迷宫似的通道,包绕着很多颅神经和大动脉和静脉窦,对术者的解剖和手术能力要求很高。
福教授萌生做颅底手术的想法可以追溯到住院医师期间,这位年轻的医师有机会在拥有众多神经外科专家的部门工作,像Vinko V.Dolenc这样的神经外科大咖技术令人惊叹,福教授也梦想着成为和他一样的神经外科医生,也因此不断前行。
▼福洛里希教授与导师Bernard George教授合影。

福教授的导师——Bernard George教授在他的职业生涯中,2008年在斯德哥尔摩获得Herbert Olivecrona Medal,以及2012年获得的Vilhelm Magnus Medal。

很多年以来,福教授专门做各种颅底手术,将显微镜+内镜“双镜联合”很好地运用到这个复杂而神秘的区域了。福教授擅长显微镜下开颅入路,同时也可以做内镜下经鼻入路和内镜辅助下的显微镜入路;可以处理那些复杂的肿瘤,也可以从不同的角度观察它们、从不同的方向接近它们。对于每一个特定的肿瘤都有一个特别的手术入路能达到它。只了解一个入路,这是不够的。
01
颅底手术治疗:
福教授对于脊索瘤、脑膜瘤、垂体瘤、颅咽管瘤等都有大量的临床治疗经验,提出了治疗斜坡脊索瘤颅底入路方法、鼻内镜和下鼻甲联合皮瓣修复扩大鼻内入路后大面积颅底缺损的手术方法。20多年前,福教授研究团队就通过神经内镜治疗大脑颅底部肿瘤。他们没有通过经颅手术的开口接近肿瘤,建立了新技术,从鼻孔抵达病变部位以及切除。
02
专注颅底手术:
福教授及其团队拥有丰富的脊索瘤治疗经验和广大的脊索瘤患者群,精钻脊索瘤等颅底复杂肿瘤20多年,至今已经拥有近300例成功脊索瘤案例。大部分脊索瘤患者在接受福教授团队治疗前均在其他医院做过手术,这类患者手术治疗更加困难。福教授手术的大多数患者得到顺利全切、无并发症、低复发率。无进展生存期:5年和10年分别达到52.1%、23.6%;总生存期:5年和10年分别达到75.1%、52.9%。除了脊索瘤,其他疑难颅底肿瘤,如脑膜瘤、颅咽管瘤、神经鞘瘤、垂体瘤、软骨肉瘤、颅颈交界处及脊柱肿瘤等也拥有众多成功手术病例。

福教授表示对颅底手术来说,内镜的用途是让深部的结构可视化并且进行操作,并且操作过程中不会损伤从手术入口到病灶之间的解剖结构。
不开颅,福教授又如何为患者取出肿瘤?
不开颅,不钻孔,从眉毛从鼻子也能切肿瘤
01
内镜经鼻入路
随着神经内镜技术的发展,不开颅,借“道”鼻腔或锁孔部分,也能进行手术治疗。与传统颅底外科相比,内镜颅底外科手术利用颅底自然腔隙显露并切除肿瘤,具有微侵袭、不开颅、脑组织无牵拉等优点,经鼻内镜颅底外科技术现已成为处理颅底中央区肿瘤如垂体瘤、脊索瘤等的主要方式。随着对内镜颅底解剖的研究进展及技术进步,近年来,对于颅底旁中央区域病变,如Meckel’s腔、岩斜区等部位的肿瘤,内镜颅底外科手术得到越来越多的关注,并取得了较为满意的效果。
福教授不仅可以为成人进行单鼻孔神经内镜手术,对于儿童颅底肿瘤患者,他也成功进行多次手术。
福教授如何应对内镜经鼻入路并发症?
内镜经鼻入路如果操作不当,可能会导致脑脊液漏、感染、鼻窦损伤等并发症,且对于肿瘤主体位于外侧时存在暴露不良、切除不全等缺点。即通过导航进入正常腔体而不干扰它,将外科医生的眼睛带到病变前。

1、“筷子技术”——为了解决这些不足,福教授运用“筷子技术chopsticks technique”,可以让术者同时操作“内镜、吸引器、第三个器械”,做到“人镜合一”,术者操作手是可以灵活旋转吸引器。目的是保护鼻内解剖结构,利用筷子手法内镜微创手术可以据手术入路及肿瘤位置特点,选择不同角度的手术器械。对于保护重要神经、更加准确移除肿瘤、灵活操作入路角度等都有重要作用。福教授强调内镜手术应充分利用自然空腔并保留解剖结构。

2、鼻黏膜修复技术——在《The Rostral Mucosa:The Door to Open and Close for Targeted Endoscopic Endonasal Approaches to the Clivus》论文中,INC国际福教授团队提出了一种新的有针对性的内镜手术技术和颅底重建策略,将经颅入路皮肤切开和切口缝合的概念应用于经鼻内镜手术EEA。蝶窦打开后,鼻腔粘膜成为生理屏障,在手术开始时切开,在手术结束时需缝合鼻腔黏膜,以防止脑脊液漏。该技术代表了传统重建技术的一种替代方法,随着手术设备和术中可视化器械的进一步发展,它可能成为未来颅底肿瘤切除和颅底重建的一种有价值的策略。
▼福教授团队提出的EEA手术颅底重建鼻粘膜修复技术:单侧鼻中隔粘膜缝合技术

3、角度镜及仪器:在通道很窄的手术中,需要使用有角度的弯曲的仪器,旋转可以从侧面深入到角落。福教授用30度、45度甚至70度的内镜,目前他们也正在努力的开发这方面的器械。对于保护重要神经、更加准确移除肿瘤、灵活操作入路角度镜等都有重要作用。


4、3F技术(Fat,Flap,Flash):1、自体脂肪填充;2、皮瓣闭合;3、尽可能快地保持患者直立的姿势,以降低颅内压。有效降低脑积液发生率

▼单鼻孔神经内镜夹闭动脉瘤:早在2010年,福教授团队就曾使用神经内镜经单鼻孔入路成功夹闭颅内前交通动脉瘤。

02
从眉弓切肿瘤,经眶入路
经眉弓锁孔入路手术并不是什么新鲜事。福教授表示经眼睑入路会给患者带来很大的发病率。如果我们想做微创手术,实际上是为了降低发病率,但经眼睑入路会造成几天、有时是几周的眼部肿胀,还有可能出现面容美貌问题。因此,福教授一直在使用眉部切口,而不是使用带眼睑的经眶切口,在眉部切口中,需取下眼眶边缘,这就为我们提供了更好的手术入路视野来实现切除肿瘤的目标。福教授使用眉部切口的经验很丰富。
福教授在论文《Eyebrow incision with a crescent-shaped orbital rim craniotomy for microscopic and endoscopic transorbital approach to the anterior and middle cranial fossa》中就分享了这样一则案例,采用了新月形经眉-眶开颅术(crescent-shaped orbital rim craniotomy)为患者成功全切了脑膜瘤,术后5天,几乎看不到手术痕迹。
▼术后第5天的良好面容外观(无疤痕)

中法神外交流不断
INC法国福洛里希教授在中国
近几年,福教授作为INC旗下组织世界神经外科顾问团(WANG)成员,更是来到中国广泛开展颅底解剖学、神经内镜在颅底手术中的应用进展、颅颈交界区肿瘤的手术方法等重要讲座,供医学学者共同研究学习。其中,中国示范教学手术,也为国内疑难神经外科疾病患者提供了国际化的治疗新选择。
01
教学指导
▼在2019 WFNS全球大会前夕,福洛里希教授作为声明享誉国际的神经内镜手术专家,还曾受邀在北京首都医科大学宣武医院开展现场指导教学,内容涵盖神经内镜手术展示及Storz脑室镜模拟训练、复杂颅底入路的解剖等。

同Froelich教授参与现场指导教学的还有INC的国际儿童颅底学会主席及创始人Di Rocco教授、国际知名颅底外科大师Takeshi Kawase教授。
▼“2019中国颅底大会”期间,福洛里希教授受邀前往苏大附一院,在黄煜伦主任的陪同下,参观了病房、神经外科重症监护室(NICU)、神经外科手术室以及临床技能中心,并同苏大附一院的医务人员们围绕具体的手术设备、手术手法交流经验心得。

2019年福洛里希教授参观交流
▼2023年5月,福洛里希教授受邀前往INC合作的苏州大学附属儿童医院和苏州大学附属独墅湖医院参访交流。



期间福教授成功为一名已经经历过3次手术(两次经鼻内镜,一次开颅)的复发高难度颅底脊索瘤患者进行了成功手术,肿瘤基本全切。患者术后神志清楚,四肢活动良好,无新发神经缺损。值得一提的是,福洛里希教授在术中使用显微镜+神经内镜双镜联合,内镜操作时,演示了久负盛名的“筷子技术”。术后10个月时,苏先生在妻儿的陪伴下,来到INC办公室,亲自感谢这位拯救他生命的法国教授。

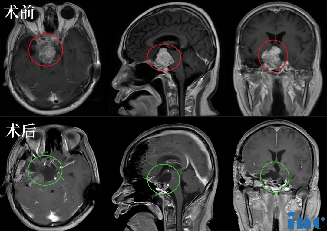
术前术后对比:手术顺利,术中将鞍上鞍内、海绵窦区、三脑室肿瘤切除
▼2023年8月初在苏州大学附属第四医院(苏州市独墅湖医院)为一名6岁脊索瘤患儿实施了高难度示范教学手术。6岁的林林因头疼,行走不稳等症状被诊断为颅底脊索瘤。肿瘤位置复杂,体积巨大,明显压迫脑干,林林在国内接受了第一次手术,部分减少肿瘤的体积。然而,剩下的肿瘤仍然很大。林林父母走投无路之际从国内神外专家得知福洛里希教授即将来华的消息,果断进行了远程咨询。幸运的是他们如愿得到了教授充满希望的回复并决定请他进行第二次手术。从远程咨询到成功手术仅10天,术后10天顺利出院。成功术后7个月,福教授来华进行学术沙龙交流期间。林林妈妈带着他亲自来到上海INC办公室,亲自感谢这位拯救了孩子的世界神外大咖,并进行术后随访。
▼术前术后影像对比


▼2024年3月22日,福洛里希教授受邀前往无锡市第二人民医院。参观国内合作医院神经内科团队、神经外科研究所实验室,观摩手术室及手术设备。教授深入了解INC国内合作医院环境,与国内医生团队交流配合问题。带领福教授参观的无锡第二人民医院神经外科王清主任作为国内较早开展神经内镜微创神经外科的基础和临床研究工作的神外医生,曾在接受INC专访对福教授的内镜“筷子”技术表示高度赞赏,“在中国有很多的教授在模仿这个技术,这个技术说的好处是什么就是他操作的自然顺利,并且你自己随心所欲。”此次福教授参观交流,使神经外科团队受益匪浅。
02
学术沙龙
自成立以来,面向医生群体,INC经常组织旗下顾问团的世界神经外科大咖在上海办公室开办学术沙龙,许多国内知名三甲医院的主任副主任慕名参加,不出国即可面对面学习世界神外大咖技术理念和精髓。2018、2019、2023,福洛里希教授与国内多所知名医院的10余位神经外科主任或副主任医生共聚INC进行了深入的学术探讨和交流。
▼2018年9月22日,福洛里希教授在INC国际神经外科医生集团中国代表处开展以复杂颅底肿瘤的显微手术和内镜手术入路,岩斜区脑膜瘤治疗策略为议题的学术沙龙活动。

▼2019年,福洛里希教授分别以斜坡及颅颈交界处脊索瘤、巨大岩斜区脑膜瘤为例,讲解了当前国际颅底神经内镜手术不同入路及其技术要点,具体包括神经内镜扩大经鼻入路、额颞-眶颧入路、Kawase入路(经岩骨前入路)等。

▼2023年5月13日,福洛里希教授学术沙龙活动在INC中国代表处正式展开。10多名来自全国各地知名医院的神经外科主任级别专家将与Froelich教授展开神经外科手术技术探讨和临床经验交流。一场关于岩斜区脑膜瘤和内镜技术的前沿技术的学术沙龙活动在INC国际神经外科医生集团上海办公室热烈开展。

▼2024年3月23日,在INC上海办公室沙龙会议室,沙龙福教授就经鼻内镜手术的新趋势以及岩斜区脑膜瘤手术入路(New Trends in Endoscopic Endonasal Surgery&Choice of the Approach Petroclival Meningiomas)两大主题进行沙龙分享。

03
神外会议
▼在2018和2019的上海进博会期间,INC在上海外滩源(原英国总领事馆)开办两次世界规格的神经外科学术交流年会,Froelich教授受邀参加两次年会。2018年福洛里希教授带来了《颅底和颅颈交界脊索瘤的手术策略》的主题演讲。2019年带来了《脊柱和颅颈交界处脊索瘤的手术策略》的主题演讲。

2019年INC神经外科学术交流年会精彩瞬间

2018年INC神经外科学术交流年会精彩瞬间
▼2019年9月,WFNS全球大会上,福洛里希教授还就《颅颈交界处肿瘤的治疗》、《脊索瘤的手术治疗》等主题向与会者分享了其多年的神经内镜手术经验以及应用“筷子手法”切除颅底、颅颈交界区及高颈髓脊索瘤的手术视频。

▼2019年12月,福洛里希教授受邀来华参加“2019中国颅底大会”,并作为第一位讲演专家首先向大家分享了《颅颈交界处和颈静脉孔区病变的前外侧手术入路》的课题。

INC法国Froelich教授在大会上发表学术讲演
▼2023年11月24日,INC国际神经外科医生集团(以下简称INC)旗下世界神经外科顾问团(WANG)6位世界知名神经外科大咖,受邀出席“2023北京神经外科创新与发展国际研讨会、2023北京天坛医院神经外科中心学术大会”。福洛里希教授作为世界脊索瘤大咖,就“Skull Base and Craniocervical Junction Chordoma(颅底及颅颈交界区脊索瘤)”议题做出精彩分享。

▼2023年11月25日,2023年11月25日,INC国际神经外科医生集团“第三届世界神经外科顾问团云端峰会上海中心大厦的J酒店开幕。INC旗下世界神经外科顾问团(WANG)十多位成员教授再度聚首上海,以“Neurosurgery is art”为主题,与国内知名专家共话神外美学!福教授同参会的国内外神外医生们分享了“New trend in skull base surgery”颅底手术发展新趋势这一学术课题。

▼2023年11月26日,苏州大学附属第四医院,福教授受邀参会第二届独墅医帜颅脑解剖培训班暨苏州市2023年继续医学教育项目“神经解剖培训”会议,并参与揭牌“苏州大学附属独墅湖医院神经外科临床解剖实训基地”。同时,福教授还进行神经解剖培训课程,现场讲解Kawase入路理论及解剖实操。

近年来,INC福洛里希教授多次来华学术交流及示范教学手术,成功拯救数名疑难脊索瘤患者,国内疑难神经外科疾病患者,也可联系预约这位世界颅底手术大咖福教授中国示范教学手术机会。


