INC国际神经外科医生集团聚焦脑胶质瘤、脑干海绵状血管瘤、松果体区肿瘤、脊索瘤、脑膜瘤等神经外科疾病患者关心的一系列治疗问题,特别采访旗下组织国际神经外科顾问团(WANG)成员、国际神经外科联合会(WFNS)教育委员会现任主席德国巴特朗菲教授凭着其多年的临床咨询经验和海量成功案例,为INC患者提供了多种国际前沿的科学咨询策略。
注意Tips:每位患者具体病情不同,治疗方案也都各不相同,以下巴特朗菲教授咨询的意见仅供参考,并不作为临床治疗方案。具体治疗方案请咨询主治医生。

Helmut Bertalanffy教授
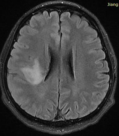
1、40多岁林先生,5个月前突发左侧面部麻木,随之出现左上肢麻木由左手向左肩发射及下肢麻木,经检查发现右岛叶占位,头颅MRS提示肿瘤性病变(低级别胶质瘤)
Q(1):患者脑部占位处于运动功能区,在保留运动功能的前提下,手术能切除多少?
A:目前我还不建议进行大范围的手术。目前只适合活检。有两种方法可以进行活检:采用小型开颅手术和显微手术技术去除部分肿瘤,然后进行组织病理学检查;或立体定向活检,或者,我们也可以在导航和MRI引导下进行活检以明确病变的性质。对于到底是肿瘤(类型)或是炎症,将会给我们一个明确的答案。
建议患者早日做活检手术,并在做活检的同时尽可能大范围的(注意在确定不伤害正常组织的情况下)切除病变组织。手术切除时建议使用术中核磁,即手术进行一半左右时,未明确切剩余病变组织的确切定位,术中患者会接受核磁检查,然后根据核磁显示,继续尽可能多的切除病变组织。其余后续治疗,根据病理结果,并且在有必要的情况下做基因检测来制定下一步更适合患者的治疗方案。
对于患者的病情,具体的治疗方案,只有在病理结果出来后才能制定,目前有很多临床前沿研究、临床试验用药、新疫苗注射等,但这些均需要等患者病理结果及全序列基因检测(如有需求)结果后才能制定。
Q(2):根据胶质瘤的特点,如果手术未能全部切除会容易复发,且会越发越重,是否会在手术后不多久就复发?
A:目前尚不确定这是胶质瘤,还是仅仅是炎症。在炎症的情况下,手术是禁忌的。如果结果是肿瘤,则只有在获得具有分子分化的较终组织病理学结果后才能计划下一步骤。

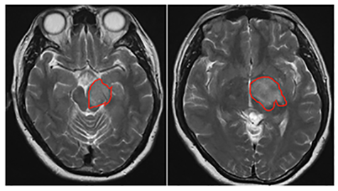
2、30多岁王女士,左侧基底节区、脑干左侧缘异常信号,对比三个月前的片子片少许增大,考虑低级别胶质瘤可能性大。
Q:目前诊断是什么?教授的治疗建议是什么?
A:从目前的新核磁改变来看,病变较前有所增大,并且根据目前的核磁,患者可能为弥漫性的胶质瘤,虽然偏向于低级别,但病变组织是弥散生长在正常组织中的,故患者的情况无法给予治疗性的切除手术,但患者应早日接受活检手术,早日明确诊断以便知道那个下一步的治疗方案。由于患者病情的不同性,很遗憾不能给予病变组织的大范围切除,但患者病变组织的生长特性,活检手术需要在术中核磁指导下完成,以便能更准确的取到病变部位的组织。建议尽早接受活检做病理,早日确定诊断,早日开始治疗。

3、50岁赵先生,原发中枢淋巴瘤,右额叶肿瘤切除术后,自体造血干细胞移植后,中枢系统淋巴瘤复发,全脑放疗后再次复发。 临床诊断记录: 原发中枢弥漫大B细胞淋巴瘤复发。高血压 1 级。
Q:如何控制肿瘤继续生长?有没有前沿的治疗办法?
A:很遗憾患者的病情属于以血液病为病因的疾病,虽然目前颅脑有病变,但无明确手术指征,颅脑内占位即便在继续增大的情况下,给予患者有手术切除,也只能是缓解病情,无法达到根治性的目的。患者需要综合治疗,也可以考虑临床实验用药及基因疗法等较新的治疗方法,但这些需要血液科及肿瘤科的专家医生一起评估。
4、谢女士,55岁,脑干海绵状血管瘤,头晕头痛,甲状腺功能亢进
Q:需不需要手术?后续需要怎么治疗?
A:根据患者的病例资料,确诊患者为脑干海绵状血管瘤,并有一次小出血,目前患者病情平稳,海绵状血管瘤虽然生长部位较危险,但病变小。据我的临床检验评估,患者这种情况再次出血的可能性小,建议患者定期复查,目前无需考虑手术治疗。头晕头痛等症状,仍会存在,但不会太影响正常生活质量,患者生活按正常人一样即可。无特别需要注意事项。但如出现突然头痛头晕加重,或呕吐、晕厥的不适,需立即就诊复查。
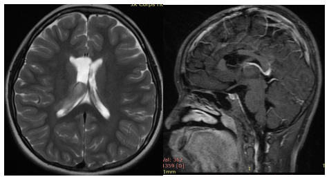
5、童童,8岁,右侧丘脑胶质瘤术后,多中心II级胶质瘤可能。复查头颅MR示:右侧丘脑胶质瘤术后改变;右侧内囊膝部及丘脑异常信号。

Q:孩子这种情况还需要再次手术吗?
A:目前患儿不需要手术治疗,无明确手术指征,建议继续观察,肿瘤如有所改变或者出现脑脊液流动受阻,可以针对病情选择手术方案。建议每六个月复查头颅核磁,观察病情改变,余无需不同治疗,暂时无需放、化疗,因放化疗对于此患儿带来的副作用远大于正面治理作用。关于患儿的内分泌紊乱症状,仍需继续对症处理,并建议每三个月复查调整用药。
INC(International Neurosurgeon’ Circle)是一个专注于神经外科领域的专家学术交流的医生集团。除了以上7位教授,INC国际神经外科医生集团还有多位来自国际各地的神经外科教授,他们均为国际神经外科联合会(WFNS)及各种国际神经外科学术组织的成员,国际神经外科各大杂志主编,以及神经外科教科书中以其本人名字命名手术方式和解剖结构的教科书级神经外科巨擘。


