如果将大脑比作保障你身体正常运行的控制中心,那大脑中的各个组织结构就是各个功能操作区的管理者。其中丘脑在大脑中的地位就类似于发现及诊断患者疾病的医生,它诊断传递到大脑的不同感觉信息,包括听觉,视觉,触觉和味觉,同时告诉你什么时候该睡眠,什么时候该清醒。之后再将感官信息引导到皮质的不同部位和肺叶。所以说,如果丘脑发生了受损的情况,人体就会很难处理全部感官信息,导致感觉混乱,让你深刻体会“白天不懂夜的黑”。
当丘脑碰上胶质瘤会怎么样?
什么是胶质瘤?丘脑胶质瘤能治愈吗?胶质瘤可以说是大脑的一号天敌,因为胶质瘤占据颅内肿瘤的40%~50%,是较常见的颅内恶性肿瘤。丘脑则是靠近侧脑室和三脑室,位于脑干上方的成对结构,是身体和大脑皮层之间传感的主要处理和传递中心,它还在调节睡眠状态、运动以及意识方面发挥着重要的作用。丘脑两端穿过大脑中线的纤维相互连接,正是通过这些联系,丘脑在碰上胶质瘤时经常会跨越大脑的两侧,形成双侧丘脑胶质瘤。
除此之外,任何神经胶质细胞(星形胶质细胞,少突胶质细胞或神经节细胞)都可以产生丘脑胶质瘤,但多数丘脑胶质瘤来自星形胶质细胞的病变,并且被称为星形细胞瘤。星形细胞瘤根据侵略性程度进一步细分:
·毛细胞型星形细胞瘤:这种I级星形细胞瘤通常停留在它们开始的区域并且不会扩散,所以它们被认为是全部星形细胞瘤的“较良性”的肿瘤。不过千万不要觉得毛细胞型星形细胞瘤生长缓慢,又是良性的就对大脑没有杀伤力,因为这些肿瘤可能会变得大,严重压迫周围的组织。
·弥漫性星形细胞瘤:这种II级星形细胞瘤相对来说速度生长缓慢,但是对周围的组织有的侵袭性。
·间变性星形细胞瘤:间变性星形细胞瘤是III级肿瘤,这些少见的肿瘤需要医生更为的治疗。因为间变性星形细胞瘤具有触手状的突起,其生长到周围组织中,使得医生在手术期间难以实现完全切除。
·胶质母细胞瘤:这种恶性程度较高的肿瘤属于IV级星形细胞瘤,肿瘤生长速度快,通常治疗的预后效果并不理想,导致患者的存活率较低,术后复发的可能性很高。
丘脑胶质瘤患者有哪些表现?
患有丘脑胶质瘤的儿童可能相对于大人来说会具有更明显的症状,是肿瘤开始压迫邻近的脑室,导致脑脊液流动受阻时,会产生明显的症状,通常以头痛和呕吐为主。除此之外,丘脑胶质瘤也会产生严重的脑积水,并且干扰丘脑周围的正常纤维组织,使患者出现失衡感失调、运动无力或音调异常等状况,需要引起患者及家属的注意。
丘脑胶质瘤能治愈吗?治疗效果如何呢?
在过去,医生很少采用活检和多样化的入路进行切除手术。但随着手术技术的改进,全切或部分切除手术在颅内肿瘤中的使用率更为频繁,是对于低级别肿瘤。那丘脑胶质瘤能治愈吗?目前,即使是未实现完全切除的低级别丘脑胶质瘤患者来说,其5年总生存率也可超过80%。

参考文献:https://www.archivesofpathology.org/doi/pdf/10.5858/arpa.2017-0249-RA
但是,目前的问题在于,就算丘脑胶质瘤以低级别为主,看似好治疗,由于丘脑胶质瘤是微妙区域的复杂肿瘤并且的少见,所以许多经验不足的医生可能从未见过丘脑胶质瘤,或者不敢对脑室动刀,依然无法使手术达到很好的治疗效果。所以在对于丘脑胶质瘤的治疗上,患者要重视对医生的选择,寻找有能力的医生,尽量降低手术的风险,提升手术的切除里和预后效果。

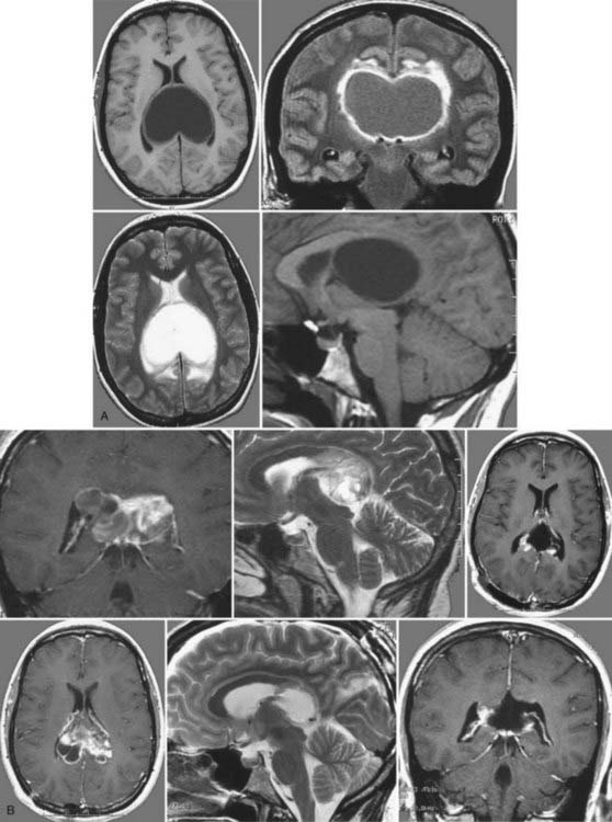
例如德国汉诺威国际神经外科研究所(INI)神经外科教授巴特朗菲(Helmut Bertalanffy),他在一份研究报告中表示,其曾治疗的患者中有一名33岁的孕妇,就诊前具有严重的头痛、平衡感失调和记忆力缺失的症状。在为这名孕妇进行磁共振图像(MRI)检查时发现占据两侧脑室后部的毛细胞型星形细胞瘤。
教授在这名孕妇平稳分娩后,为其经胼胝体前入路进行手术,并完全切除了肿瘤。术后,这名患者除出现短暂的轻度记忆缺失之外,后续并没有出现任何神经或认知上的缺陷,并且教授通过随访MRI对照,排除了肿瘤的复发。
国际颅内肿瘤手术专家
在国内的病友界,巴特朗菲教授的度还是很高的。作为INC国际神经外科医生集团旗下组织国际神经外科顾问团(WANG)的一员,巴特朗菲教授常年受邀参加国际专家之间的学术交流,同时为国内患者提供手术治疗和面对面咨询。经其治疗的患者恢复速度快,预后效果好,所以得到了国内群众的高度认可。

除了高的手术能力外,教授也为肿瘤切除手术的进步做出贡献,曾对经典神经导航系统和术中超声系统的结合做深层次的研究,提出了图像引导技术融合方面的较新创新方法。并且将自己的经验梳理成文,提供给国际各地的研究者进行学习和讨论。
巴特朗菲教授一直深受国内患者的信赖,并且前来咨询教授面对面咨询和手术治疗的患者众多。但名额往往有限,使得很多患者没有得到机会。INC目前为了帮助国内患者达成与教授交流的心愿,开通了付费远程邮件或视频咨询的平台。如果您有与教授远程邮件过视频咨询的需求,可与INC进行联系咨询。INC的工作人员将为您安排后续事宜,为您的健康生活做出不屑的努力。


