
引言
脑胶质瘤是较常见的原发性颅内肿瘤,起源于脑神经胶质细胞。根据《中国脑胶质瘤咨询指南(2022年版)》,我国脑胶质瘤年发病率为5-8/10万人,5年病死率在全身肿瘤中仅次于胰腺癌和肺癌,恶性程度高,是神经外科治疗中较棘手的难治性肿瘤之一。
2024年1月巴特朗菲教授来华示范手术,为多位疑难脑肿瘤患者成功手术。同期,无数疑难脑瘤患者找到这位国际神外教授,希望能为自己的治疗之路指明方向。这些患者在求医的路上,四处奔波,几经周折,如何在陷入困境、难以抉择之际,找到明确咨询方向,对于后续的治疗至关重要。INC及其国际神外教授如何与患者并肩作战,在这些患者治疗抉择的关键时刻为他们明确下一步的路究竟该怎么走……
对于寻求巴教授手术,他们有着不同的原因,但的目的都是为了更长的生存周期和更好的生活质量。这期特别精选了巴特朗菲教授对于胶质瘤若干患者的咨询问题回复内容以及术后情况交流,以供相同病情的患者参考。
温馨提示
每位患者具体病情不同,治疗方案也各不相同,以下巴特朗菲教授咨询的意见仅供参考,并不作为临床治疗方案。具体治疗方案请咨询主治医生。
疾病诊断
良性?恶性?什么级别的胶质瘤?
“医生,我做了那么多磁共振检查,可以看出来我的胶质瘤是良性还是恶性吗?能不能确定哪一种级别胶质瘤?”——这是很多胶质瘤病友关心的问题。临床中常根据颅脑磁共振初步诊断胶质瘤及良恶性,同时可以反映胶质瘤的位置、形态、生长特点及与关键神经组织的关系。但是,在准确医学治疗发展下,只有通过手术或者活检,取得肿瘤组织,经病理检测后才能确定胶质瘤的具体类型。
实例1:16岁男孩--右侧额叶、岛叶胶质瘤
16岁的小磊,被诊断出“右侧额叶、岛叶低级别神经胶质瘤,浸润基底节和侧脑室”。肿瘤位置比较深,并已经浸润到基底节,基底节区属于大脑功能区,手术风险较大。而且医生说很可能是低级别胶质瘤、进展慢,所以建议保守观察一段时间。但小磊父母怕拖得久了肿瘤会恶化,果断找到了INC。远程咨询时,和很多病友一样,他们关心:“这是胶质瘤吗?可能是哪个级别?恶性还是良性?”巴教授又是如何回复?
巴教授评估回复
“该病变看上去确实是胶质瘤,但并不是一种常见的病变,而是较少见的病变。关于是否是恶性肿瘤,我们不能从磁共振影像上确定,但我认为不是高度恶性的肿瘤,而是较低级别的病变。而手术的目的就是缩小多数的肿瘤的体积,并获得明确的组织病理结果。“


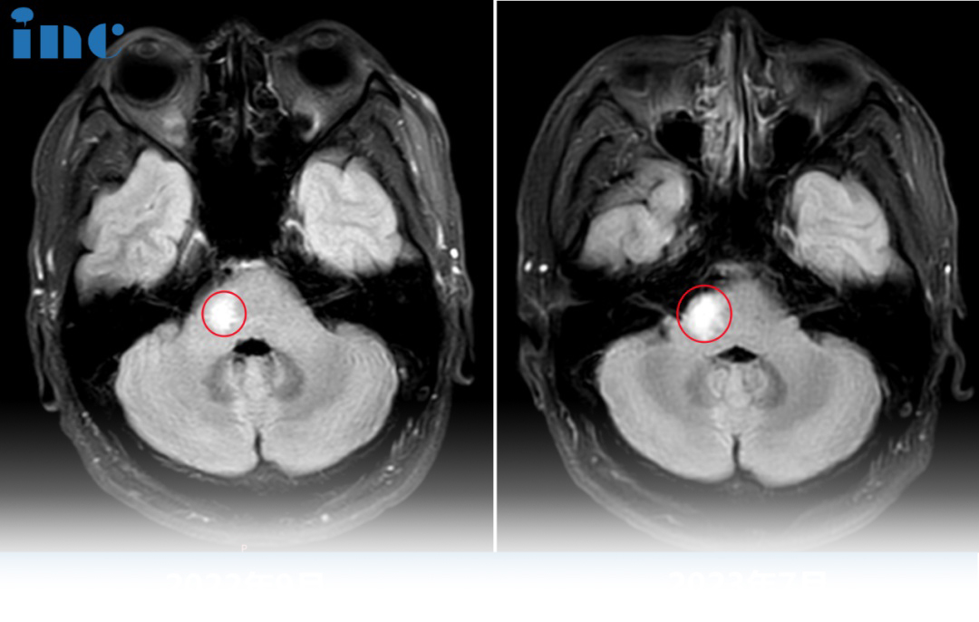
实例2:40岁女性--延髓占位性病变
同样,对于40岁的延髓占位性病变患者常女士,手发麻,手臂,腿后侧酸胀,膝盖后面,眼眶,脸发胀的情况,均在左侧,核磁检查发现脑干延髓占位,医生告知需要手术,手术风险很大。远程咨询巴教授时,同样发出疑问:“根据目前的信息,教授能否判断是哪一种肿瘤?是什么性质的病变?”

巴教授评估回复
“没有人能从核磁共振成像中分辨出它是什么肿瘤,甚至连它是哪种肿瘤都不重要。不管是什么肿瘤,都应该切除它,因为它会把脑干挤压到一侧,一旦肿瘤长到大小,就会对脑干造成很大的威胁。所以我的建议是,不要给肿瘤这个机会给脑干造成问题,应该在这种情况出现之前将肿瘤切除。一旦我们切除了肿瘤,我们就会知道它到底是什么肿瘤。我只能说,它看起来不像是恶性的。”

胶质瘤术后辅助治疗
需不需要放化疗?
如何较大限度地降低肿瘤术后复发的可能性,是很多胶质瘤患者都会考虑的问题,对于术后是否需要放化疗。术后治疗方法包括放疗和化疗都是有的副作用的。对于高级别的胶质瘤,术后大多需要进行放化疗,这是因为对多数患者来说放化疗的生存收益明显超过副作用的损失。但是对于低级别,主要是二级和部分低危三级的来说,要不要放化疗,选放疗还是选化疗,是否需要同步放化疗,这个权衡就比较难了。对于很多还没有进行手术或者活检明确病理的患者。
实例1:33岁男性--脑干桥臂胶质瘤
韩先生今年33岁,罹患脑干桥臂胶质瘤,大小17mm。由于位置深,手术风险大,医生不建议手术及活检。早在2022年,韩先生由于头晕、右侧脸麻、面瘫就查出这个病灶,怀疑脱髓鞘病变。无奈持续保守观察至2023年7月,MRI复查提示病灶增大,考虑低级别胶质瘤,症状一直也并无好转。听闻巴教授9月来华的消息后,选择远程咨询巴教授。

巴教授评估回复
”术后的治疗方案主要取决于病变性质和确定诊断,有些肿瘤对放疗敏感,有些病变缺对放疗无反应。因此,等术后1周左右我们得到精确的病理结果后就可以讨论患者需要哪一种治疗方案,比如选择哪一种放疗方式更合适:光子治疗?质子治疗?伽马刀治疗?“等,并更加准确地选择匹配的化疗药物。
脑胶质瘤需不需要手术?
手术指征及手术获益
手术风险太大,面临神经功能缺失、肢体瘫痪、视力下降、听觉丧失、面瘫等风险,这个手术到底还要不要做?手术是否能够获益是巴教授选择是否手术的重要指征。有些病人的手术指征明确,不做病情会继续恶化,产生严重后果,甚至危及生命,非做不可,而做了之后可以好转患者的症状;有些病人手术后如果无法好转患者的情况,甚至比术前更差,巴教授是不会建议手术的。
患者案例:46岁--胶质母细胞瘤4级
46岁的唐先生因突发癫痫并昏迷,查出胶质瘤(低级别),开颅手术,全切肿瘤,病理结果提示:胶质母细胞瘤4级。术后患者出现左边偏瘫,放疗后左脚可行走,左手较高只能抬到水平。手术、并质子+重离子治疗后仍复发的高级别胶质瘤,甚至病情更加严重,无法独自行走,难道没有手术机会了吗?

对于追求个更佳生活质量的他来说,寄希望于巴教授。
巴教授评估回复
“症状可能会有所好转,运动障碍可能会持续较长时间,因为迄今为止持续时间较长,以后可能会有所好转。我希望二次手术后能迅速康复。”巴教授也希望唐先生从手术中获益。

48岁男性--左侧额顶颞岛叶胶质瘤
48岁的马先生一年前偶然查出左侧额顶颞岛叶较大占位-低级别胶质瘤,无任何症状,但病变大小已经达到了86×64*41mm。长在功能区,术后可能影响肢体、语言、意识等,所以不敢贸然做手术,一直吃中药治疗。然而当再次复查时,病变体积已经增大到90mm多,达到一个橙子体积小大。眼看着症状日益明显,马先生决定继续求医,希望能尽快手术。当通过INC国际神经外科医生集团找到巴教授时,又会得到怎样的回复?

巴教授评估回复
具体原因是因为我不想在神经方面使患者的情况变得更糟糕,而且正如我所说的,(如果进行手术)言语和运动方面功能障碍存在更高的风险。我现在看到他状态也很好,这就是(我不建议手术的)原因。我认为我们可以在患者接受肿瘤治疗后,明年再讨论手术的必要性。
胶质瘤手术时机选择
可以一直保守观察吗?
询问了多家脑肿瘤医院,有的专家说无法手术只能保守治疗,有的说先做手术,有的说先放化疗,手术时机到底该如何选择?巴教授在详细了解患者病情后,会综合评估。有的患者需要立即手术,有的患者可以暂时保守治疗,甚至有一些无需手术……“实际上胶质瘤从不停止生长,等待会让肿瘤变得越来越大。”这也是INC德国巴特朗菲教授在接受INC专访时,给胶质瘤患者们关于手术时机的答疑。
INC德国巴特朗菲教授:通常我会回答,越早越好。实际上胶质瘤从不停止生长,等待会让肿瘤变得越来越大。从根本上说,尽早行动是重要的,因为在开始的时候,我们可能会看到一个相当小的肿瘤,我们有很好的完整切除的可能性,尽管损害了已经存在的脑组织,手术仍然是可能的,其结果将与小肿瘤不一样。所以早期手术基本上是重要的。
21岁男性--中脑顶盖胶质瘤
2022年示范手术中,巴教授就建议这位21岁脑干中脑顶盖胶质瘤患者尽早手术。肿瘤直径从8mm长到18mm,两月内竟激增6mm!迅速增长的肿瘤,让一家人陷入恐慌,需尽快找到能为孩子顺利手术的主刀医生。巴教授:这个中脑肿瘤是有明确的手术切除指征,在近期一段时间内肿瘤尺寸不断增大。长时间等待只会给肿瘤更多的生长机会,并对脑干产生危险,从而(加重)影响患者的临床状态。


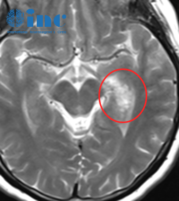
33岁女性--左侧颞叶占位性病变
但是,不是全部的患者确诊后都需要立即手术。33岁的蔓蔓4年前因为偏头痛和伴随的眼眶疼痛,就医检查颅脑核磁提示左侧颞叶深部出现占位性病变。因为手术风险大,大部分医生建议暂时不手术,随访观察。然而随访观察如果肿瘤恶化了怎么办?

“手术可以延迟”,这是巴教授为她做的评估,同时他表示“可以在一两年之内做手术,继续观察,而且,如果没有任何变化,风险就不是很大。”
手术的并发症有哪些?
巴教授在华多台国际疑难神经外科疾病手术示范,无论是肿瘤位于脑干、颅底、脊髓,还是视神经、丘脑、额叶、颞叶等,在国内神经外科专家的协作配合下,巴教授都为这些疑难神经外科疾病患者进行了较大水平的肿瘤切除,且完好地保留了患者的正常神经功能。在后续的随访中,他们基本都已回归正常生活。国内合作公立医院也在官方平台发布国际合作示范教学案例。
“如果巴教授做手术,有娜些风险和并发症?”一名脑干延髓胶质瘤患者在四处就医得到的结果都是无法手术、手术风险大时,他不敢相信巴教授可以为自己成功手术。
巴教授评估回复
从理论上讲,手术的风险很大(感觉-运动障碍、呼吸问题、吞咽问题),但在我手中,风险会很低,因为我知道如何处理这类肿瘤。估计有4-5%的风险。我希望病人只在ICU(重症监护室)观察1-2天,然后可以转到病房。手术后需要气管切开的风险并不是零,但是在我过去处理类似肿瘤的经验中接近这个水平。我肯定,如果出现一些功能障碍,病人在术后会很快恢复,较长会在2个月左右。

为什么有些胶质瘤无法全切全切除?
切除率评估
INC团队这几年来接触了许多的胶质瘤患者,有巴教授手术成功全切的、有远程咨询巴教授后建议保守治疗的,也有评估只能部分切除的?这背后的玄机都有什么?
34岁男性--脑干延髓胶质瘤
34岁男性--脑干延髓胶质瘤,短短的6个月,林先生的症状越发严重,左侧颈部,肩部,上肢僵硬紧绷,吞咽时左侧咽喉部紧绷,有轻度阻碍感,左上肢轻度麻木……医生建议手术,但因为手术风险大,他们做不了,有长期插管的风险……“如果巴教授做手术,切除率是多少?”

巴教授评估回复
切除率很可能是全切或接近。近期,我为一位女士做了一个类似的手术,临床效果好,肿瘤被完全切除(该患者术后3个月时已证实)。由于病理与目前的病例相似,我很肯定在这里也能取得同样的结果。
2023年6月中国行期间,巴教授为这名高难度延髓肿瘤患者顺利全切,术后无任何新发神经损伤,术后一天意识清醒,四肢活动正常、言语呼吸吞咽功能正常。术后一个多月,患者行走自如已基本恢复正常生活。

术后一个月林先生恢复良好,行走自如
15岁男孩--视神经胶质瘤
“为什么我的孩子不能全切……”阿豪的母亲一直询问巴教授。15岁的阿豪核磁检查提示左侧下丘脑及三脑室无强化结节、左侧丘脑前部、鞍上结节,考虑错构瘤或视神经胶质瘤。对于未来的治疗策略,一部分医生建议患者目前无任何症状,可以继续观察,一部分认为孩子应该接受手术,但是由于肿瘤位置在丘脑,手术风险很大,不可能做到全切。

巴教授评估回复
手术目标不是根治性的切除,因为这样会导致严重的下丘脑功能失调。但是手术不仅仅是活检术,这取决于手术当中的情况。因此,只有在手术中,当我能亲眼看到病变并根据术中所见评估,我才能够确认病变的切除范围。

急重患者长途医疗转运
是否有风险?
2023年4月3日,从福州到苏州,1400多里路,一场与时间赛跑的生命大接力正式开始。历经9小时,一辆载着重症患儿在父母陪伴下平安抵达了苏州大学附属儿童医院。车上13岁男孩然然身患脑干肿瘤,而且面临着再度昏迷的危险。为了挽救这个幼小的生命,父亲当机立断,宁愿路途遥远,也要保障儿子手术的成功率。而巴教授对于这名患儿的评估,也更加坚定了一家人医疗转运的决心。
,这场跨越千里的生命接力,到达苏州,成功手术,术后无新发神经损伤。术后两周多,顺利出院,四肢活动正常。
除了然然,INC还有很多来自全国各地的患者。巴教授在一次远程咨询中也回答了一位西北地区患者关于远程距离是否会在路途中产生危险的问题。
巴教授回复:“我们曾经接诊过很多从很远的地方来的病人,甚至有患者从离苏州1000公里的地方过来手术的,到目前为止,没有遇到患者路途中出现问题。他可以避免太大的压力,我想他的家人可以安排好,他不需要有太大的压力。”
巴教授开颅手术是怎样剃头的?
要剃光头吗?
经历过巴教授手术的患者都知道,他们不需要被剃光头,一般根据手术切口情况仅需要剔除周边一小缕头发。为什么不需剃光全头发?
原因主要三个:
1.手术技术和理念不同,能够确定不造成术中术野影响、增加感染机会。
2.医院管理、围手术期管理(术前、术中、术后管理)到位,在手术流程、手术准备、术后护理等管理确定了患者术后颅内感染、切口感染发生率低。
3.需要大半年甚至一两年时间才能恢复理想的发量、发型,这无疑会影响很多人的生活工作,而对于高要求的巴教授来说,他不愿这样的情况发生。
巴教授为一名13岁右侧侧脑室及室间孔胶质瘤女孩这样评估:不需要剃光头,只是剔除一小部分,前面的头发会留下来。这样的患者还有很多,对于女性患者。巴教授示范手术期间与部分患者及其家属温馨合影,虽然打码,但是可以看到大多患者手术后依然保留着长发。

巴教授9月中国行中,术后巴教授和患者大合影中女性患者都保留了原有的头发
巴教授为一名年轻女性患者做术前谈话时,回答这位患者关于手术是否需要剃头的问题。
术后多久能恢复正常生活状态?多久可以运动?
多久可以坐飞机?
28岁女性-脊髓髓内室管膜瘤
“手术后恢复到正常人生活大概需要多长时间?”28岁脊髓髓内室管膜瘤患者潇潇,虽然这颗颈髓内的肿瘤仅仅只有1cm左右花生大小的肿瘤,但是伴随而来的症状越发严重。手术,迫在眉睫,但对于如此年轻的她来说,手术后的情况更加重要。在远程咨询巴教授时,她发出这样的疑问。
“我建议患者术后需要4-5周时间恢复。在这个阶段之后,她很可能能继续她的日常活动。”——巴教授评估

11岁男孩--右侧基底节区占位性病变
一位11岁的右侧基底节区下方占位性病变的男孩等待着巴教授手术。自从2023年因头痛查出,至今肿瘤还在持续长大,他已经出现视力持续下降的症状。于日本问诊,建议尽快进行手术,但由于肿瘤已经侵入脑室,全切比较困难。远程咨询巴教授,当问到术后多久后可以乘坐飞机时,巴教授表示:2-3周后,孩子就可以乘坐飞机了。

二次手术的时机
手术过的会不会影响再次手术?
46岁的唐先生罹患胶质母细胞瘤,已经做过一次开颅手术的他,巴教授能否提供二次手术的机会?
巴教授评估回复
较佳治疗方案是再次手术,目的是完全切除复发的肿瘤,然后在间隔4-5周后进行化疗,由于MGMT启动子非甲基化,较好使用阿瓦斯汀(贝伐单抗)。如果患者同意,可于2024年1月二周在独墅湖医院进行这种治疗(再次手术)。

巴教授术后当天ICU查房:四肢活动正常,状态良好。术后2天普通病房查房:状态逐渐好转。
咨询巴教授不只是手术,都有哪些意义?
对于神经外科病患,是病情复杂、肿瘤位置深(如脑干、丘脑、视神经……)的患者来说,时间更加宝贵,如果不能尽快找出合适的方案,那么很可能就会在犹豫中耽误病情,或者做出不适合患者的选择,可能将对患者造成难以挽回的伤害。一次关键的、明确的、的、可靠的咨询意见,可能会让患者豁然开朗,明确下一步的路究竟该怎么走。从思考决策到准备必要的影像检查、教授远程评估这些都需要等待的时间。而时间对于治疗关键,是因为无论是手术、还是其他治疗方式,都需要求患者具备的身体条件做基础,如果时间不再,患者由于病情进展,身体条件恶化失去了治疗的机会,那会是遗憾的事情。
获取国际教授神经外科专家的咨询意见,寻求国际上更佳更匹配自己的手术方案,或许能让自己获得长期生存和良好预后的可能性更大。


