鲁特卡教授2026来华行程更新
1月24日
开展面对面咨询及手术交流
说起颅咽管瘤,很多人都会认为这是一种不好对付的良性脑瘤,堪称「天使中的魔鬼」。它具有侵袭性、极易复发、需终身随访、影响发育……在法国Sebastien Froelich(福洛里希)教授在内的多名国际颅底外科专家共同制定的国际共识声明中,关于儿童颅咽管瘤的恰当治疗方案尚无法达成共识,要达到既能实现疾病控制的良好手术效果,又兼顾患儿正常心理运动发育需求,并避免下丘脑损伤风险之间的平衡点,则更为困难……
但是,加拿大儿童神经外科大咖Rutka(鲁特卡)教授曾提及了这样一位9岁颅咽管瘤患儿,没有开颅,就让巨大的颅咽管瘤几乎消失,这是如何实现的?
01.
9岁女孩突发头痛
竟查出巨大「怪物」
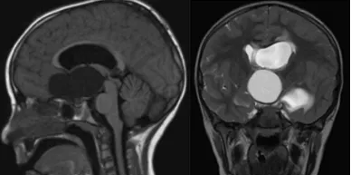
9岁的拉拉喜欢大自然,一家人总是趁着周末一起外出游玩,然而有一天结束旅程时,拉拉突然在车上说自己有些头痛。原以为是玩的忘我,被风吹的,但是自此之后连续好几天,拉拉都有头痛的症状。
等到家属带着拉拉来到医院时,孩子更是出现了视力问题。这下病情非同小可,在进一步检查下,拉拉竟被查出了一个骇人的脑瘤。它像一颗巨型弹珠,就这样圆滚滚地住进了女孩的脑中,也令拉拉一家倒吸了口凉气——接下来要怎么办?

02.
不开颅、不放化疗
肿瘤竟能变小吗
手术是医生给出的回答,但拉拉一家却没有立即决定,反而带着孩子跑了很多医院,想寻找一个不用手术的机会。几天后,拉拉在家人陪伴下见到了鲁特卡教授。
教授表示,由于拉拉的肿瘤属于囊性颅咽管瘤,因此他可以尝试不做开颅手术,而是通过囊肿分流的方式缩小肿瘤体积。拉拉家属接受了这一建议,不久后,拉拉正式接受治疗。
鲁特卡教授及团队通过插入VP分流器和Ommaya囊来实现,并在不断拍打Ommaya储液囊后,效果十分明显——拉拉的颅咽管瘤肉眼可见地缩小,甚至几乎消失无踪!

实际上,2022年鲁特卡教授就发表研究称,患有颅咽管瘤的儿童可能会因大范围的切除手术或放疗而出现严重的并发症。将Ommaya储液囊植入到囊性颅咽管瘤中是一种总体发病率较低的微创手术方法,可立即减压,并避免额外的伤害,患儿的内分泌功能也得以保留。
更多颅咽管瘤治疗方法


