8岁确诊,18岁成人礼——小威用9年时间,改写了颅咽管瘤的残酷剧本。
曾经,他也像其他患儿一样,被头痛、视力模糊和异常口渴折磨;曾经,他的父母也面临那个令人窒息的选择:是冒险手术,还是向“生物学恶性”的肿瘤妥协?
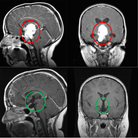
但幸运的是,他们遇见了INC国际儿童神经外科大咖James T. Rutka(鲁特卡)教授。一场惊心动魄的手术,一次精准到毫米级的剥离,让小威的人生翻盘——肿瘤全切,9年无复发,无并发症。

术前术后影像对比(红色术前,绿色术后)
为了感谢教授,热爱绘画的小威还为鲁特卡教授送上了这幅珍贵又特殊的手绘。

然而,并非所有颅咽管瘤患儿都如此幸运。
- 有些孩子,术后失明、激素依赖,终生与药物为伴;
- 有些孩子,反复复发,一次次手术,却仍逃不出肿瘤的魔爪;
- 还有些孩子,在昏迷与高热的折磨中,渐渐失去康复的希望……
颅咽管瘤,这个“儿童杀手”,之所以可怕,不仅在于它深藏要害、手术难度极高,更在于它可能摧毁孩子的生长发育、视力、甚至生命。医生要在4毫米的狭小空间内完成精准切除,0.1毫米的误差,就可能改变一个孩子的命运。
对于颅咽管瘤患儿家庭,选择一位经验丰富、技术高超的主刀医生,或许就是给孩子最大的生机。
生命不该被脑瘤禁锢,每个孩子都值得一个健康的未来。
小威已经跑赢了9年,而更多孩子,仍在等待属于他们的“重生剧本”……这个案例来自于鲁特卡教授的演讲分享。
这些令人痛心的颅咽管瘤患儿
下面这三则颅咽管瘤患儿故事都是来自不同平台的真实案例,“他们说激素药物要长期吃,不能停,否则有要命的风险;他们说颅咽管瘤即使全切还有20%的复发率,而大多数时候这个肿瘤并不能全切,所以会一直复发;有的孩子做了几次手术最后还是默默离开……”
眼睛失明、身高发育停滞,一天要用3种以上激素来“续命”
眼睛失明、憋不住尿、身高发育停滞……短短一个多月内,这些不幸突然降临到了一个4岁男孩团团身上。团团是一位颅咽管瘤患儿,不当治疗后,如今视力法定双盲(左眼无光感,右眼约0.02残余视力)。因为脑瘤手术损伤了垂体和下丘脑,团团一天要用3种以上不同激素来替代治疗“续命”,剂量要不断调整,否则随时有生命危险,而且需要终生服药。
手术做得很好,可是孩子昏迷了半年,醒来已经看不见了
2020年9月,乐乐在5岁的时候,因为颅咽管瘤走路不稳、恶心、头晕、头痛,做了开颅手术。医生说肿瘤的切除手术做的很好,切的比较干净。然而术后高热39℃,心率180次/分,血钠高,尿崩,转入ICU治疗了半个月。术后三个多月,因为持续的高热38-40度,多学科会诊难以确定原因,乐乐反复做了5次分流、引流管的手术,却一直处于昏迷、高热、肌强直状态。所有的医生都尽力了,昏迷中的孩子仿佛也越走越远……

孩子做了手术,后面又做了第二次,第三次……
2岁的女孩乔乔出现步调不稳、易怒和呕吐,伴有梗阻性脑积水。检查发现3厘米的颅咽管瘤,已经累及第三脑室,部分附着在垂体柄和视神经上,开颅切除了颅咽管瘤。5岁时,肿瘤局部复发,再次开颅。然而8岁时又一次复发,随后接受放疗,并出现垂体机能减退和视神经萎缩,生长发育受损,视力下降严重。14岁时,肿瘤居然脑室内复发,左侧脑室有一个1.2厘米的肿瘤,再次通过手术切除。大大小小的手术,做了又做,复发,又复发,连父母已经记不清,孩子住过多少次,一共住了多久的医院了。她还有希望告别整个噩梦般的循环吗?

国际知名神外期刊JNS案例原文截图
良性颅咽管瘤为何成为“儿童杀手”?医生、患者均面临两难选择
虽然颅咽管瘤细胞学上为良性病变,世界卫生组织分级Ⅰ级,但其位置深在,毗邻视神经、垂体、下丘脑及颈内动脉系统等重要结,增大的肿瘤可以挤压或压迫垂体、垂体柄等部位,破坏正常的垂体结构,引起垂体内分泌功能障碍,还可压迫视交叉造成视力视野受损,突入第三脑室引起脑积水,出现头痛、呕吐等。
全切除手术难度大,留给医生手术的空间非常小,只有4毫米左右,医生在术中,一旦出现0.1毫米的误差,就可能导致不可逆的神经损伤,术后可造成患者终生神经内分泌功能障碍,甚至失明,严重影响生活质量,因此称其为“生物学恶性”肿瘤。但是如果切不干净的话,肿瘤易复发,后患无穷。对神经外科医生来说,是极大的挑战,进退两难。这就要求医生在切除肿瘤的过程中,要再三权衡风险,及时做出取舍。
对患儿家属来说,选择有高超技术和丰富成功手术经验的神经外科医生就至关重要!
儿童颅咽管瘤的手术治疗策略
颅咽管瘤手术的关键是肿瘤与下丘脑–垂体柄及下丘脑组织之间关系的明确与辨识。肿瘤与颅内正常结构之间存在蛛网膜、软脑膜以及胶质反应层界面。在这些界面分离肿瘤不容易损伤正常神经组织及Willis环的细小分支血管。肿瘤的钙化需要经过仔细的锐性分离,多数情况下只要在直视下锐性分离就能安全地全切除。尽量识别和保留垂体柄,垂体柄的保留程度直接影响到术后内分泌紊乱的发生率和严重程度,术中垂体柄的辨认与保护可以作为下丘脑保护的标志性结构,应积极寻找和保护。根据术前影像学表现判断垂体柄的位置,术中根据垂体柄与不同类型肿瘤的关系,尽可能多地或完整地保留垂体柄,可减少和减轻术后尿崩症。

颅咽管瘤复发了怎么办?
颅咽管瘤复发后,容易导致内分泌功能障碍、视力下降甚至失明。所以颅咽管瘤患者要及时复查,以避免或减少肿瘤复发导致的各种神经功能障碍。复发颅咽管瘤可以在不加重内分泌障碍的基础上再次手术,建议再次全切除术治疗。建议选择有利于全切除肿瘤的入路进行手术,以更好地暴露肿瘤,并且避免在处理前一次手术造成的粘连而浪费过多的时间和精力。多次复发又难以手术的患者可选择放射治疗。
总结
一台完美无损的颅咽管瘤手术与主刀医生的技术和相关团队及精尖器械的配合密不可分。颅咽管瘤患儿就医时,家长应看重主刀医生的手术技术水平。除了关注手术的切除率,更要关注术后患儿的生长和发育等情况。应尽可能,给颅咽管瘤患儿一个无限的可能……
参考资料:卫健委 - 儿童颅咽管瘤诊疗规范(2021年版)


