生命是一趟无法回头的单程列车,当疾病突然扳动道岔,我们该如何守护前行的轨迹?
38岁的李女士怎么也没想到,一直以来的头痛和眩晕,竟是颅底深处一颗巨大肿瘤在作祟。当MRI报告显示前床突区有一个部分钙化的脑膜瘤时,她才明白为什么最近左眼的视野也突然出现“缺角”——那颗肿瘤已经像八爪鱼一样紧紧缠住颈内动脉,压迫视神经。

▼本例特殊之处在于骨窗CT显示前床突气化。正常情况下,前床突是实心的,前床突气化术后有脑脊液漏的风险,所以颅底修补至关重要。

“切多了会损伤神经导致失明,切少了又容易复发”,这个手术并不容易。INC国际神经外科医生集团旗下世界神经外科顾问团(WANG)成员、世界神经外科联合会(WFNS)颅底手术委员会前主席Sebastien Froelich(福洛里希)教授团队,以精湛技艺重新校准生命的轨迹,既将肿瘤完整切除,又守护住了每一处关键神经功能。当李女士成功手术后,这趟生命的列车终于得以继续平稳前行——而这,正是医者崇高的使命:在疾病强行改道的时刻,为他们铺就继续前行的坦途。

大型前床突脑膜瘤手术难在哪?
前床突脑膜瘤起源于前床突,常压迫并包绕邻近的神经血管结构(如颈内动脉及视神经)。由于需在保全关键结构与实现肿瘤全切之间取得平衡,此类病变对神经外科医生仍极具挑战。
大型前床突脑膜瘤手术的核心难点在于肿瘤与视神经、颈内动脉及其分支(如眼动脉、后交通动脉、脉络膜前动脉)以及垂体柄、下丘脑等重要神经血管结构的紧密粘连或包裹。肿瘤体积巨大时,往往严重压迫并推移这些结构,使得术中对它们的辨识、分离和保护异常困难,极易造成视神经损伤(永久性视力丧失)、颈内动脉或其关键穿支血管损伤(导致灾难性大出血或脑梗死)、垂体功能低下或下丘脑损伤等严重并发症。
此外,前床突骨质常被肿瘤侵犯或增生,需要精细磨除以显露肿瘤基底和深部血管,此过程本身也有损伤邻近结构的风险,且肿瘤血供丰富、质地硬韧,尤其对于有钙化的脑膜瘤,进一步增加了全切肿瘤同时保全功能的手术挑战性。
脑膜瘤钙化又是什么意思?
脑膜瘤钙化是较为常见的一种现象,一般是由于肿瘤缺血坏死或者钙盐沉积引起的,一旦发生钙化,肿瘤质地就会变得很坚硬,正如本例患者的肿瘤在CT和磁共振上都能看到“石头”样的信号。
而且,如果出现钙化的话,一般说明脑膜瘤已经存在很长时间了,一般情况下,存在的时间越长,钙化的几率也就越高。同时,钙化严重的脑膜瘤坚硬,手术难度也会增加。
为了全切保功能,如何定制化手术入路?
手术与否,是治疗理念的抉择;
手术时机与术前准备,是治疗策略的艺术;
而手术入路的选择与操作技巧,则是外科功力的终极考验。
在神经外科的世界里,没有完全相同的两个脑瘤——即便病理类型一致,肿瘤的位置、大小、与周围组织的黏连程度等微妙差异,都可能让手术方案千差万别。
想要实现真正的"定制化手术",医生不仅需要掌握显微镜与神经内镜的"十八般武艺",更要在关键时刻灵活组合、精准出击。
这一次,面对这个特殊的病例,这位擅长"双镜联合"的手术专家将如何见招拆招?

翼点入路(经典“主力”入路),在眶内解剖及视野方面存在局限;眶上入路骨窗较小,且对于大型肿瘤,操作及显露均困难。
标准FTOZ入路适合中-小型、以硬膜外起源为主、与前床突骨质关系密切、未致密包裹关键神经血管结构;mini FTOZ入路可在保证显露的前提下,减少骨质缺损及骨窗范围。
本例选用个体化定制的额颞眶颧入路(Fronto-Temporal-Orbito-Zygomaticapproach,FTOZ),在保证获得足够宽阔视野的同时,兼顾灵活处理颅底病变。

手术具体操作:

定位三叉神经V1段,以助显露眶上裂;游离并进一步解剖眶上裂,识别、电凝并切断眶脑膜韧带。

识别并磨除前床突;磨除时仔细分辨气化部分,电凝蝶窦黏膜,避免穿破。

进一步向内磨除视神经管及视柱,完成前床突切除术,此后进入硬膜内操作:弧形剪开硬膜,立即可见位于额颞叶之间的肿瘤。
沿蛛网膜平面分离并保护脑皮质,行肿瘤内减压,减轻占位效应。显露颞叶-肿瘤边界;继续内减压后,进一步游离肿瘤眶内部分,并自视神经管端松解视神经。
深入肿瘤后可见被包绕的颈内动脉;再向外下可见Liliequist膜及动眼神经。

显露后交通动脉;肿瘤额部可见钙化。进一步剥离并切除视神经周围肿瘤。将肿瘤自颈内动脉A1段剥离,可见颈内动脉分叉,以及内侧豆纹动脉受压。
肿瘤全切后,可见良好的视神经-颈内动脉三角及动眼神经三角,可见基底动脉、乳头体及垂体。

肿瘤切除后确切止血,修补硬脑膜并水密缝合,缺损处放置脂肪并应用纤维蛋白胶,骨瓣用钛板和螺钉固定,分层缝合肌皮瓣。
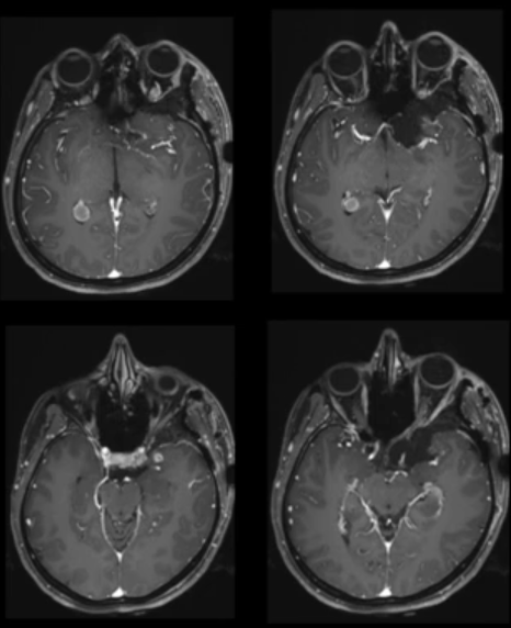
▼术后MRI显示肿瘤全切除

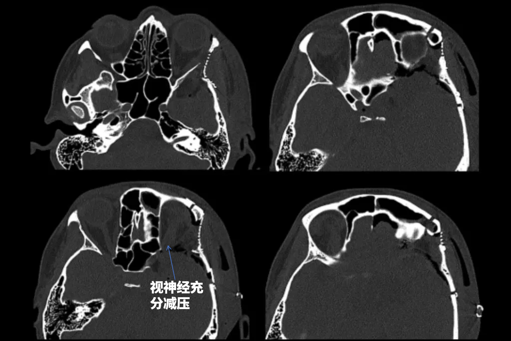
▼术后CT:这些骨窗图显示了骨质磨除范围和术后重建的程度

案例来源:Sébastien Froelich et al. Tailored frontotemporoorbitozygomatic (FTOZ) craniotomy for a large anterior clinoidal meningioma. Clin Neurol Neurosurg. 2023 May:228:107682.


