“当孩子确诊脑干海绵状血管瘤那天,我感觉天都塌了。
直到现在,我还能清晰想起2020年那个初秋的下午,医生把CT片递到我手里时的场景——窗外的阳光明明很暖,我却觉得浑身发冷,手里的片子重得像块石头,上面那个小小的阴影,医生说那是“脑干海绵状血管瘤”,还在活动性出血......”
01
从活蹦乱跳,到步履蹒跚
5岁的阳阳是个奔跑笑闹不知疲倦的「高精力男孩」。直到第一次突发性头痛和呕吐打破平静。短短半个月,阳阳的病情急速恶化:从走路摇晃到需要搀扶,从口齿清晰到言语模煳,甚至右脸逐渐失控……
“现在回想起来,那时候的我们真是太天真了。我们抱着他往医院跑,很紧张有疑惑,孩子到底怎么了?”阳阳父母回忆起仍心有余悸。
检查结果令人心惊——脑干海绵状血管瘤,已经出血了,孩子现在情况不稳定,医生立即安排阳阳进ICU观察。

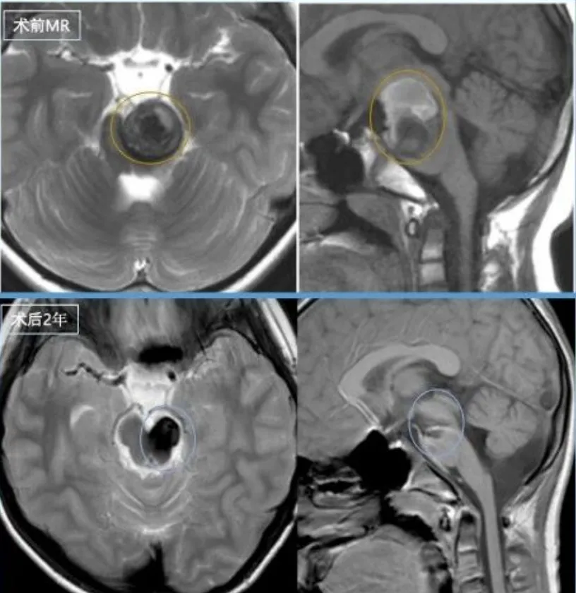
术前情况脑干脑桥偏左侧占位,锥体束受压迫,见含铁血黄素环。
那天下午,阳阳妈妈隔着小小的玻璃窗,看到他身上插着各种管子,蹲在地上哭了很久,孩子爸爸蹲声音沙哑地安慰道:“没事的,咱们再想办法,阳阳会好起来的。”
02
手术可能更糟
最坏结果是出不了手术室
孩子生病了,想办法治疗就是了,可脑干海绵状血管瘤可不是普通的疾病。“脑干手术的难度太大了”医生指着片子上的阴影说,“这个位置太特殊,周围全是控制肢体、语言、唿吸的神经,稍微碰错一点,可能就会让孩子瘫痪,甚至再也醒不过来。最坏的结果是,孩子出不了手术室。建议保守观察。”
那天晚上,这对年轻的夫妻看着手机里阳阳以前的视频,他在幼儿园里唱儿歌、追皮球,笑得那么开心,眼泪又一次流了下来。
“不能就这么等下去。”孩子爸爸突然开口,“咱们再找别的医生,国内不行就找国外的,总能找到能救阳阳的人。”
03
从ICU到游乐场的重生
一家人脸上的笑容又回来了
他们查阅文献、联系专家,最终找到了INC国际脑干手术大咖巴特朗菲教授。阳阳父母一边通过INC联系巴教授,一边去查巴教授的资料,看到他做过很多类似的病例,甚至有些患者的病变位置比阳阳的更危险,术后都恢复得很好。
当巴教授说可以手术,而且有把握全切病变时,阳阳父母激动的不行,立即决定选择巴教授主刀手术。
手术日很快来临,巴教授采用了半坐位手术,在术中电生理监测等设备的辅助下,为阳阳顺利全切了病变。

术后当晚,阳阳在麻醉复苏室睁开了眼睛。他眨了眨眼,轻轻喊了一声“妈妈”。
术后第2天,他迁出ICU,笑着用左手捏皱了爸爸的衬衫扣子。
术后第3天,他自己拿起筷子夹起一颗西兰花,咧嘴一笑:“我打败怪兽了!”
术后第5天,他在护士的搀扶下迈出第一步,像重新学步的婴孩,却坚定无比。
最令阳阳父母泪目的是,孩子的面瘫逐渐缓解,言语清晰如常,甚至能小跑着追球。曾经的“可能瘫痪”“可能失语”被一句句“妈妈看我!”击得粉碎。术后三年复查无复发,他依旧是能量满满的小勇士。
案例来源:文中所述为INC国际巴特朗菲教授2022年10月进行的手术案例。


