一个月前,还和其他孩子一样奔跑嬉戏的阿莉莎毫无征兆地出现剧烈头痛、呕吐,病情迅速发展到右侧身体逐渐失灵,面部歪斜。
辗转就医后,MRI结果显示:脑桥巨大海绵状血管瘤出血,伴多发颅内病灶。面对进行性加重的神经功能障碍,手术是唯一希望。然而,当患者是一名年仅3岁的女童,手术的难度与风险便呈几何级数攀升......
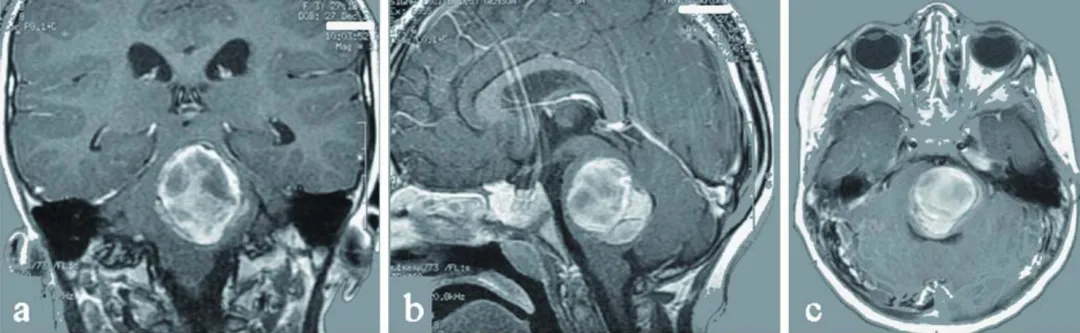
阿莉莎3岁-巨大桥脑海绵状血管瘤
病情阶段:
女孩的病情进展迅速。从最初的嗜睡、头痛,发展到右侧偏瘫伴面瘫、言语障碍,最后出现严重的躯干性共济失调——她几乎无法坐稳,更别说站立行走。
磁共振成像(MRI)给出了明确答案:脑桥位置有一个4×3.5×3cm的巨大海绵状血管瘤,同时大脑内还有多个额外病灶,其中左侧额叶的病灶已诱发癫痫,需药物控制。而这场危机的根源,正是脑桥病灶的增大与出血,持续压迫着关键神经中枢。
在控制脑水肿、稳定生命体征后,医生面临关键抉择:是否对如此年幼的孩子进行高风险脑干手术?

图a-c为术前影像
治疗挑战
这个病例的治疗难度堪称“极限挑战”。首先,病灶扎根在脑桥——这里布满控制呼吸、心跳、运动的神经传导束,是名副其实的“生命中枢”,手术中哪怕0.1cm的偏差,都可能导致终身残疾甚至死亡。
其次,患儿仅3岁,大脑仍在发育中,对手术创伤的耐受度远低于成人,且病灶体积巨大,已严重压迫脑干,合并出血和脑积水,必须尽快手术解除压迫,否则神经损伤可能不可逆。
为了给孩子争取生机,INC国际巴特朗菲教授所在的神经外科团队制定了周密的手术方案,医生选择左侧颞下经天幕入路——这个入路能精准抵达脑桥前外侧的病灶,同时最大程度避开正常脑组织。
手术当天,在显微镜的辅助下,医生小心翼翼地分离病灶与周围神经组织,最终将脑桥处的巨大海绵状血管瘤完整切除,整个过程未出现任何并发症。

图d为术后轴位影像显示海绵状血管畸形完全切除,第四脑室大小恢复,脑干减压。
术后恢复
术后,孩子的恢复速度令人振奋。神经症状持续好转,术后10天复查MRI显示:病灶已完全切除,被压迫的脑干成功减压,第四脑室大小恢复正常。
住院2周内,残留的斜视和轻度面部麻痹逐渐减轻,孩子已能初步配合康复训练。最终,她顺利出院接受后续神经康复治疗。
文献资料:
Helmut Bertalanffy,et.al.Clinical impact of CCM mutation detection in familial cavernous angioma
Childs Nerv Syst.2006 Nov;22(11):1461-4.DOI:10.1007/s00381-006-0202-8
INC国际脑血管专家-巴特朗菲教授
INC国际神经外科医生集团旗下世界神经外科顾问团(WANG)成员、世界神经外科联合会(WFNS)教育与技术委员会前主席巴特朗菲教授,作为德国汉诺威国际神经外科研究院血管神经外科主任,擅长大脑半球病变、脑干病变、脑血管疾病、脑内深层区胶质瘤、颅颈交界处的病变等的肿瘤切除术、神经吻合术以及各种椎管内肿瘤等。

同时,巴特朗菲教授收到过来自欧洲、中东、北非以及日本、中国、韩国、新西兰、南非和智利的40个国家的学术邀请,应邀出席了400多场世界各地的学术会议或在神经外科大会作为特邀发言人,对世界神经外科学科做出重大贡献,特别是颅底外科和显微外科血管病变的脑和脊髓治疗。


