癫痫手术入路(Surgical approaches to epilepsy)
英文摘要:
Surgical treatment for epilepsy is the only currently available treatment that provides the patient with the possibility of becoming seizure free and off anticonvulsants. This article describes many of the recent advances in the field of epilepsy surgery that are used by the epilepsy team to render patients seizure free without neurological or cognitive deficit. In particular, this article discusses the role of magnetoencephalography, recent advances in MRI techniques for preoperative brain mapping, invasive electrode recording and neuronavigation for the work-up of patients prior to definitive surgical treatment. We then discuss the outcome following different epilepsy surgical procedures, including vagal-nerve stimulation, multiple subpial resections and corpus callosotomy. Finally, we describe techniques that do not currently have an established role but hold promise in the treatment of epilepsy. These techniques include deep-brain stimulation and additional forms of neural stimulation for the patient with epilepsy.
中文摘要:
手术治疗癫痫是目前可行的治疗方法,使患者有可能成为无癫痫发作和停用抗惊厥药物。这篇文章描述了癫痫手术领域的许多前沿进展,这些进展被癫痫团队用于使患者无神经或认知障碍的癫痫发作。特别地,这篇文章讨论了脑磁图的作用,MRI技术的前沿进展,术前脑成像,有创电较记录和神经导航的病人在明确的手术治疗前的检查。然后我们讨论了不同的癫痫手术的结果,包括迷走神经刺激,多次皮下切除和胼胝体切开术。较后,我们描述的技术,目前没有建立的作用,但有希望的治疗癫痫。这些技术包括对癫痫患者进行深脑刺激和其他形式的神经刺激。

癫痫是一种具损害性的疾病,终生发病率为3.2%,发病率为每1000人中5至10人。抗癫痫药物治疗控制了大约60-70%的患者的癫痫发作。剩下的患者经常出现癫痫,伴有智力下降、神经系统缺陷和不明原因猝死的风险。据估计,不明原因猝死的发生率比一般人口高24倍。切除手术在保留认知功能和神经功能的同时,有可能使病人免于癫痫发作。辅助手术策略,如迷走神经刺激(VNS),旨在减少癫痫发作的频率和严重程度,但不太可能治愈。本文就癫痫手术的研究进展作一综述。
什么样的癫痫患者需要手术?
约60%的癫痫患者为局灶性癫痫。在这些患者中,15-20%的患者没有得到抗惊厥药物的充分治疗。这些患者应考虑进行癫痫手术。当抗惊厥药物不能避免癫痫发作,以致个体的生活质量受到损害时,就会做出难治性癫痫的诊断。历史上,在考虑手术切除之前,患者被要求尝试过许多抗癫痫药物,但都没有成功控制癫痫发作。随着神经外科干预的顺利性的提高和对许多抗癫痫药物的长期副作用的认识的提高,特别是在经常进行癫痫手术的中心,在早期阶段进行这些手术已经发生了转变。
儿童服用抗癫痫药物的长期不良反应值得关注。因此,许多单位评估儿童发作癫痫综合征。在患有特定癫痫综合征的儿童中,如Sturge-Weber综合征,其自然史特征明显,即使癫痫尚未达到难以控制的程度,也常常主张在早期进行癫痫手术。标准考虑癫痫手术包括医疗难驾驭,日常生活的活动被损害,神经生理学和解剖学的偏侧性和本地化是可能有好转控制癫痫的可能性,而该手术不太可能让病人的情况变得更糟,认知和神经。

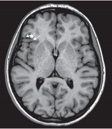
图示:脑磁图显示在右额下回有一簇病灶。本例患者在脑磁图簇区进行了切除,已使癫痫发作消失。白色的三角形和线条表示脑磁图上的尖峰位置。
改进的电生理调查和神经成像技术已经改变了对癫痫患者的管理,并确定了更多可以切除的、可能治愈的手术病例。术中图像引导、神经监测和改进的功能定位降低了术后切口缺损的风险。
手术后的结果分析,包括癫痫和功能结果,变得越来越重要的量化,特别是在术前咨询患者时。反应性神经刺激有潜力提供一种优雅的方法直接阻止癫痫发作,但需要进一步的研究。
本文主要研究者之一为INC国际神经外科医生集团旗下国际神经外科顾问团(WANG)成员James T. Rutka教授。


