inc国际神经外科医生集团
导航
(爱恩希)INC国际咨询电话

神外科普

[field:typename/]
当前位置:INC > 神外科普 >
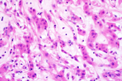
脑海绵状血管瘤的处理:手术还是保守?

脑海绵状血管瘤的处理:手术还是保守?

脑海绵状血管瘤 ,又称脑海绵状血管畸形,是一种大脑血管异常,由一簇异常的透明毛细血管组成,周围有含铁血黄素沉积和胶质边缘。血管内充满血液,并形成不同程度的血栓。 脑...

2019-10-28 17:32:29
美国巴罗神经学研究所(BNI)神经外科:脑瘤、脑血管病变前沿咨询中心

美国巴罗神经学研究所(BNI)神经外科:脑瘤、脑血管病变前沿咨询中心

巴罗神经学研究所 (Barrow Neurological Institute,简称BNI)是国际较大的神经科学诊断、治疗和研究中心之一。巴罗神经外科系的教职医生在11个神经外科专用、技术前沿的手术室中工作。...

2019-10-25 20:37:57
加拿大James Rutka教授在SickKids的脑瘤研究实验室

加拿大James Rutka教授在SickKids的脑瘤研究实验室

恶性脑癌 和其他中枢神经系统癌症是儿童中二大较常见的癌症。尽管进行了治疗,但总体五年生存率仍仅为60%,幸存者经常遭受与治疗有关的副作用。因此调查有助于脑肿瘤发病机...

2019-10-25 17:10:54
过去和现在:美国巴罗神经学研究所庆祝成立57周年

过去和现在:美国巴罗神经学研究所庆祝成立57周年

1962年9月23日星期日,巴罗神经学研究所正式开放,当时只有一个手术室,总共有52张病床。 首先是煤炭大亨查尔斯巴罗(Charles Barrow)的捐款,他的妻子因患有恶性脑瘤而接受了约翰格...

2019-10-25 16:20:52
美国UCSF发现:放射治疗脑瘤可能不再影响认知功能

美国UCSF发现:放射治疗脑瘤可能不再影响认知功能

治疗脑瘤 的费用昂贵,特别是对于儿童。接受放射疗法治疗这些肿瘤的患者中,超过一半的患者出现不可逆的认知能力下降,这种副作用对年轻患者具有损害性的后果。到目前为止...

2019-10-24 17:55:30
美国UCSF新研究发现:基因检测中的基因组测序发现少见脑瘤的治疗方法

美国UCSF新研究发现:基因检测中的基因组测序发现少见脑瘤的治疗方法

脑瘤 是较致命的癌症之一,在很大水平上归因于它们的敏感位置以及进行手术去除肿瘤的挑战。由加州大学旧金山分校病理学教授的新研究为无法通过手术切除肿瘤的患者提供了急需的...

2019-10-24 17:49:43
INC加拿大James Rutka教授:手术不再是儿童癫痫较后的方法

INC加拿大James Rutka教授:手术不再是儿童癫痫较后的方法

癫痫 发生在1%-2%的儿童中,并已被国际卫生组织确定为影响儿童的较常见的严重神经系统疾病。多达三分之一的癫痫患者对药物治疗无效,药物治疗是指两种适当选择的抗癫痫药未能...

2019-10-24 17:46:12
脑瘤超越白血病,成为儿童头号杀手

脑瘤超越白血病,成为儿童头号杀手

在过去的数十年里,统计数据显示:血癌白血病是儿童癌症的主要类型。然近年来,随着化疗、放疗、骨髓移植的进步,多数白血病可以治愈。白血病也不再是儿童癌症的江湖霸主,...

2019-10-18 20:37:05
良性脑瘤患者手术治疗后一般能活多久?

良性脑瘤患者手术治疗后一般能活多久?

良性脑瘤是指在大脑中生长相对缓慢的大量细胞。良性脑瘤往往停留在一个地方,不会扩散。如果全部的肿瘤都能在手术中顺利地切除,它通常不会复发。如果肿瘤不能完全切除,它就...

2019-10-18 18:37:47
你不知道的胶质瘤与血糖之间的联系

你不知道的胶质瘤与血糖之间的联系

你不知道的 胶质瘤 与血糖之间的联系,作为一种异质性原发性脑肿瘤,胶质瘤目前没有可以长期存活的治疗方法。诊断为 胶质瘤四级 胶质母细胞瘤 的患者平均生存期14个月。症状通常...

2019-10-16 21:44:10