如果将人体看作一个模型,那么支撑起整个形体的除了骨头,无疑还有那根竖立的脊髓。脊髓作为神经系统的重要组成部分,它的一切活动都受到大脑的控制,负责传递各种感觉,并调整肌张力、协调肌肉活动、维持姿势和习惯性动作,使动作协调、准确。

一旦脊髓出现病变,会发生什么?一开始,它也许会悄无声息地生长,接着逐渐侵蚀周围的正常组织,慢慢地,身体会开始出现疼痛、麻木、无力,直至肿瘤增大,进而导致瘫痪、意识障碍、大小便失禁……
就是这样一个凶险的位置,出现的肿瘤类型却十分多样。有像神经鞘瘤、脊膜瘤、血管母细胞瘤这样的良性肿瘤,通常和周围组织划清界限,要是能早点发现并“连根拔起”,预后也还算不错。然而,怕就怕在这里长着一些“恶霸”,切也不好切,不切更是后患无穷……
10岁的小凡就曾不幸遭遇过脊髓“恶霸”的侵袭,他的父母带着他四处求医无果,眼看只能无奈放弃,而转机恰恰就源于一次候诊时的偶遇。
曾经,医生告诉小凡父母,孩子脊髓髓内的脊索瘤即使全切,5年无进展生存率也仅为20.5%;如今,小凡在接受综合治疗后,已长达10年未复发!他的故事也激励着更多人……
1
头晕颈痛=颈椎病?
原来“恶魔”早已出现
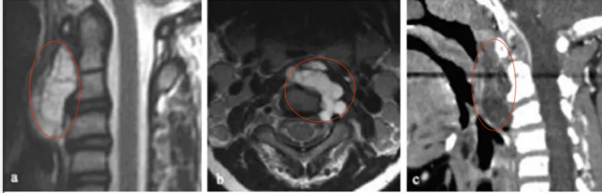
10岁的小凡总是感到头晕,后颈也时常疼痛,父母起初以为是孩子坐姿不正确导致的颈椎病,但紧随其后的,是复发性咽喉感染和吞咽困难。意识到事情不对的父母赶紧带小凡去医院检查,这才终于揪出这个早已藏身多时的“恶魔”——C1-C3脊索瘤,同时还导致上呼吸道压迫,病情十分严重。

为了给孩子寻求更好的治疗,小凡父母始终积极寻求各大医院专家的建议,但得到的回复却令他们绝望:肿瘤与正常组织粘连得太严重了,贸然手术切除只怕会导致孩子的后半生都在轮椅上度过,而且手术中可能会遇到难以控制的出血,对生命威胁极大,你们还是另请高明吧。
在连续委婉的拒绝下,小凡父母深感无力。他们不知道下一步该怎么走才能挽救孩子脆弱的生命,更何况,他们早已了解到,脊索瘤是一种复发率极高的肿瘤,即使完全切除,肿瘤的5年无进展生存率也仅为20.5%,而高复发的背后,是周而复始的手术、放疗、手术……
生长在脊髓,又是极难切除、复发率极高的脊索瘤,在双重的难度叠加下,他们真的不知道该怎么办……而就在此时,一次常规的候诊却为这个不幸的家庭带来了转机。
2
国际教授带来转机
某天,父母带着小凡候诊,在闲聊时他们遇见了另一位患儿的母亲带孩子随访。那位孩子曾经同样患上脊髓肿瘤,但如今在Rutka(鲁特卡)教授的治疗下,至今都未复发,只需定期随访。
这一番话让小凡父母看到了希望,他们来到鲁特卡教授所在的SickKids医院,更令他们惊喜的是,教授在详细查阅了过往病史后,决定为小凡制定详细的治疗计划,这意味着,小凡不仅能够手术,就连后续的辅助治疗也能在教授的规划下全程有序进行。

3
综合治疗后,
脊索瘤竟10年不复发
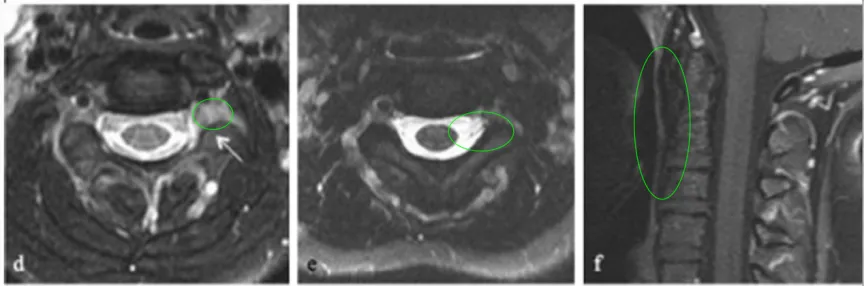
无论是脊髓肿瘤还是脊索瘤,治疗的第一步,都是手术切除。鲁特卡教授为小凡进行了经口、经腭、经下颌入路的次全切除术。术后MR显示肿瘤切除达95%以上,C2-C3神经孔内有少量残留肿瘤。

此时,治疗来到了第二步——个体化放疗。结果显示小凡对70gy光子放疗反应良好,幸运的是,孩子的耐受性也很好,治疗十分顺利,放疗后的残留病变明显变小,也无明显放疗副作用。
时间过去了10年,一个令所有人意想不到的奇迹已然发生:小凡的脊索瘤仍未复发,也没有出现神经功能缺陷,这个曾被认为5年不复发率仅为20%左右的脊索瘤,竟然就这样成为“破例”!
*案例来源:James T.Rutka.Management and outcome of chordomas in the pediatric population:The Hospital for Sick Children experience and review of the literature.2016


