inc国际神经外科医生集团
导航
(爱恩希)INC国际咨询电话

脑膜瘤

脑膜瘤
当前位置:INC > 脑膜瘤 >

脑膜瘤怎样形成的?

脑膜瘤占美国2004年至2006年报告的全部原发性脑肿瘤和中枢神经系统肿瘤的33.8%,因此是成人中很常见的原发性脑肿瘤。尽管如此,很少有研究检查这种病变的危险因素,这种病变经常与...

2020-08-27 13:45:02

椎管内脑膜瘤伴恶性转化和远处转移案例报告一则

脑膜瘤通常被认为是良性肿瘤。事实上,恶性脑膜瘤仅占全部病例的6~10%。恶性转化和转移是少见的。虽然颅内脑膜瘤有转移的报道,但关于椎管内脑膜瘤转移的报道很少。 本报告旨在...

2020-08-26 14:36:13

质子治疗复发性脑膜瘤的临床效果分析

复发性脑膜瘤术后采用质子治疗效果如何?临床研究结果分析...

2020-08-24 18:07:10

5家医院病理Ki67结果不同,脑膜瘤术后放疗意见不同,何解?

一个年轻的脑膜瘤患者,做过一次全切手术,5家医院对她的脑膜瘤病理分析结果不一,后续治疗到底何去何从...

2020-08-20 16:25:43

严重失眠要警惕脑膜瘤,脑膜瘤的早期症状有哪些?

近日,53岁的李女士严重失眠,每晚只能睡两三个小时,无奈就医,医院检查后确认他患有脑膜瘤。本以为的失眠症竟是脑膜瘤! 失眠很常见,脑膜瘤引起的失眠和普通失眠有何区别...

2020-08-20 16:15:35

脑膜瘤严重吗?脑膜瘤科普知识解读

脑部疾病可以被认为是较严重的人类疾病之一。脑膜瘤通常需要很长时间才能到达致命点,是当它仍然没有被注意到的时候,但是立即治疗可以阻止它的生长...

2020-08-19 17:23:51

【脑膜瘤病因】脑膜瘤是良性肿瘤吗?

脑膜瘤的病因到现在来说仍旧不是很清晰,通常认为它的病因很有可能与相应的内环境的改变,与基因病有相应关系,而不单单是是某一种原因造成的。颅脑损伤、放射线的照射、颅内...

2020-08-05 17:32:35

老人突然不爱说话,竟是因为较大脑膜瘤

69岁的张师傅突然变得一言不发,而且连走路也变得困难。这些怪异的举动引起了家人的警惕,家人以为是得了阿尔兹海默症,随后,张师傅被家人带到当地医院就诊。通过核磁共振在...

2020-08-03 13:13:58

关于颅内肿瘤(脑肿瘤)的流行病学调查

什么是颅内肿瘤?颅内肿瘤是指颅内占位性新生物,分为原发性和继发性两类,起源于脑组织、脑血管、脑垂体、松果体、脑神经和脑膜等组织肿瘤称为原发性颅内肿瘤。 颅内肿瘤生于...

2020-07-24 13:16:40

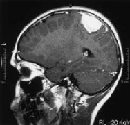
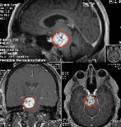
【手术报告】少见滑车神经鞘瘤误诊为中脑脑膜瘤,二次手术成功全切

摘要:被误诊并手术失败的少见滑车神经鞘瘤,德国INI手术详细治疗 L先生,30+岁,因为复视、左侧面部感觉麻木伴有吞咽困难,就诊当地医院,进行了MRI检查显示右侧中脑病变,怀疑...

2020-07-24 13:12:39

相关