inc国际神经外科医生集团
导航
(爱恩希)INC国际咨询电话

脑膜瘤

脑膜瘤
当前位置:INC > 脑膜瘤 >

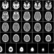
法国Froelich教授:醋酸环丙孕酮(CA)停用后,较大脑膜瘤减小且视力恢复

脑膜瘤 和女性性激素之间的关系已得到明确证明,但其潜在机制仍不清楚。孕激素受体在约三分之二的脑膜瘤中强烈表达,但对其在肿瘤发生中的确切作用知之甚少。以往的研究中曾报...

2020-04-09 21:51:52

脑室内脑膜瘤好治吗?富有挑战的外科手术如何化险为夷

脑室内脑膜瘤 相对少见,占全部脑膜瘤的1%~2%。脑室内脑膜瘤的一例记录可能是1854年由Shaw提出的。他在侧脑室三角区发现了一个囊状的纤维性肿瘤。1881年,麦克道尔进行了左三角肿...

2020-04-02 18:23:31

颅内占位病变能活多久?严重吗?

颅内占位性病变,很多神经外科病人一看到报告单上这样的术语往往很疑惑,到底什么是颅内占位性病变?跟脑肿瘤有什么关系?颅内占位性病变严重吗?能活多久?这里来一一解...

2020-03-04 19:47:35

得了胶质瘤意味着什么?别灰心,10年生存期将越来越高

INC接触过很多 胶质瘤 患者及家属,他们对此的印象就是:医学研究、治疗手段在不断发展,为什么大部分无法胶质瘤无法治愈?这不仅是广大胶质瘤患者的心声,也是很多神经外科同...

2020-03-04 19:42:42

多发脑膜瘤怎么控制生长?

什么是多发 脑膜瘤 ?多发脑膜瘤怎么控制生长?这些是脑膜瘤患者迫切想要知道的常见问题。一般来说,颅内出现两个以上相互不连的脑膜瘤时称为多发性脑膜瘤,多发脑膜瘤多见于...

2020-03-04 19:34:36

枕骨大孔区脑肿瘤的较大挑战:枕骨大孔区脑膜瘤的治疗

枕骨大孔区的 脑肿瘤 长期以来一直是外科医生的难题,他们不仅面临诊断困难,还面临危险肿瘤切除的技术障碍。历史上,手术往往以呼吸衰竭和死亡告终。例如,在1954年的一系列研...

2020-03-03 20:36:47

矢状窦旁脑膜瘤好治吗?顺利全切是脑膜瘤预后关键因素

矢状窦旁是 脑膜瘤 生长较常见的部位之一,占全部颅内脑膜瘤的18-23%。矢状窦旁脑膜瘤(PMs)与上矢状窦及引流静脉的紧密联系,使根治性切除难以实现,可能导致神经功能的持续损害,...

2020-02-28 20:15:21

如何处理和治疗脑膜瘤?手术切除程度是决定术后复发率的重要因素

脑膜瘤 是围绕大脑的组织的异常生长,称为脑膜。通常,脑膜瘤只需要医生定期检查和神经影像学检查,因为肿瘤生长缓慢。然而,有时肿瘤会压迫大脑或脊髓。在这种情况下,需...

2020-02-27 21:36:53

脑膜瘤好发部位有哪些?术前术后护理注意什么?

脑膜瘤 好发部位有哪些?分别都有什么样的症状?得了脑膜瘤怎么治疗比较好?术前术后护理需要注意什么?关于脑膜瘤诸如此类的问题无疑是很多患者及家属朋友们迫切需要了解和知...

2020-02-27 21:33:19

左侧桥小脑角区脑膜瘤复杂吗?81岁老人全切术后4天出院

桥小脑角区 脑膜瘤 ,通常压迫周围许多重要神经血管、小脑甚至脑干,大肿瘤,手术难度大,手术不慎易残留肢体瘫痪、面瘫、听力损伤等。完整切除桥小脑角区脑膜瘤且不伤及...

2020-02-26 20:54:25

相关