inc国际神经外科医生集团
导航
(爱恩希)INC国际咨询电话

脑肿瘤

脑肿瘤
当前位置:INC > 脑肿瘤 >

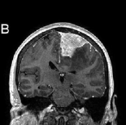
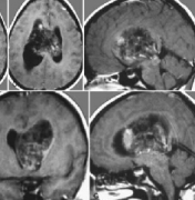
中脑肿瘤的手术入路解读

磁共振成像对顶盖肿瘤的显示比CT更可靠,应该在每个患有脑积水的儿童和青少年中进行排序。磁共振成像能够可靠地检测到顶盖肿块,是一种可靠的随访成像方式。对于肿瘤区域对比...

2021-09-16 14:30:47

中脑肿瘤的手术入路解读

磁共振成像对顶盖肿瘤的显示比CT更可靠,应该在每个患有脑积水的儿童和青少年中进行排序。磁共振成像能够可靠地检测到顶盖肿块,是一种可靠的随访成像方式。对于肿瘤区域对比...

2021-09-16 14:30:44

CAR-T细胞疗法针对脑瘤较新研究有哪些?

一、新型EGFRvIII特异性CAR-T细胞可合适清除人类胶质母细胞瘤 2021年,在刊登在《Clin Transl Immunol》的一项较新研究上,来自澳大利亚的研究人员通过使用专门设计的受体,能够在临床前的...

2021-09-15 10:47:12

库欣病未来治疗的方向

由于明显的理论上的原因,没有一种治疗方法能比专门控制/消除分泌ACTH的垂体腺瘤的治疗方法更好。 我们能提高垂体手术/放疗的合适性吗? 更好的和更精确(以及术中)的垂体MRI成像?更...

2021-09-09 11:10:03

“治愈”库欣病的方法是……手术

垂体手术是包治百病(cure-all)的 没有什么能与手术相比:在成功的垂体手术后数小时内,皮质醇血浆值就会下降到检测临界值以下,在几个月内,整个垂体肾上腺轴突就会恢复到正常,...

2021-09-09 10:56:02

什么是库欣病“治愈”的标准?

什么是库欣病治愈的标准? 应同时满足四个标准: 库欣病治愈的标准 ●慢性皮质醇增多症应该被控制: ○任何治疗,至少,带来24小时尿皮质醇 (UC)低于正常的上限(ULN)。这段时间,几乎全部的...

2021-09-09 10:52:25

库欣病是不是很严重的病?能治愈吗?

库欣病的治疗仍然是一个挑战。虽然垂体手术可以治愈病人,恢复完全正常的垂体肾上腺轴,但也有立即的失败和晚期复发,较终需要替代性的治疗方法。这些选项很多,但它们的缺点...

2021-09-09 10:44:56

加拿大多伦多SickKids儿童医院脑肿瘤研究中心主任 James T. Rutka教授

脑肿瘤是一个令人望名生畏的疾病,患者往往伴有剧烈的头痛和精神、运动症状,其中的神经胶质母细胞瘤更是恶性程度较高,在经过放化疗治疗后,其生存的时间仅为15个月左右,五年...

2021-09-02 09:58:20

横纹肌肉瘤患儿故事

来自加拿大的朱莉和保罗德维尼在 2020 年 11 月得知他们四个月大的儿子费利克斯Flix 患有癌症时,他们的生活发生了天翻地覆的变化。不到三个月后,费利克斯在多伦多大学儿童医院...

2021-08-27 11:45:22

脑干肿瘤能活多久?临床经验总结预后分析

脑干肿瘤能活多久?脑干肿瘤,即人生命中枢所在,这是维持呼吸、心跳、意识等人体基本生命活动的中枢。如果说大脑是全身的“司令部”,那脑干即是司令部的总司令。...

2021-08-26 10:15:40

相关