“罕见部位脑动静脉畸形”
“首次术后没切干净”
“术后3个月突发昏迷”
18岁的大卫在确诊颞角脑动静脉畸形后,这些轮番的打击,让他的世界一度陷入了灰暗。
但幸运之神总是会在关键时刻降临,多方查询后,大卫一家找到了国际脑动静脉畸形专家——INC美国Michael T. Lawton教授,了解到大卫的病史后,Lawton教授为大卫制定了手术方案,最终成功全切颞角AVM。

大卫 18岁 罕见位置脑动静脉畸形
病情阶段
18岁的大卫因为频繁头痛,去医院检查结果却确诊为脑动脉畸形。
这个病症除了让他会头痛以外,更令人担心的是随时可能发生的颅内出血。
治疗的棘手之处:大卫的脑动脉畸形位置特殊,位于颞角脉络丛,术中一旦出血,大卫很有可能会有生命危险。

颞角位于侧脑室,与丘脑、尾状核(尾部)、穹窿(伞)和海马相邻,其中,作为人体“感觉中转站”,身体的所有感觉信息都会在丘脑内转车,再投递到大脑皮质。丘脑不仅可以感知世界,还在运动、语言等方面发挥重要作用。
首次手术术后三月突发昏迷
考虑到需要尽快排除脑子里的“不定时炸弹”,于是,大卫的父母带他来到医院进行手术。
然而这次手术却未能将颞角脑动静脉畸形完全切除。
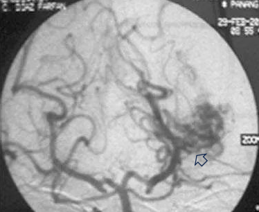
首次手术仅仅三个月后,大卫在学校突然昏迷,紧急送往医院后,检查为左侧颞角的脑动静脉畸形导致脑室内出血(图a、b)。
Spetzler-Martin分级4级:S1V1E1/A1B0C0.供血来自AChA(脉络膜前动脉)。

图(a)左侧 ICA 造影,侧位和 lPChA

图(b)左侧 VA 造影,前后位像
Spetzler-Martin分级:根据AVM大小、是否在功能区、有无深部静脉引流三项得分相加,评分范围为1~5.分别对应Ⅰ~Ⅴ级,分级越高,外科手术难度越大,预后越差。
第二次手术Lawton教授为大卫安全全切
大卫的分级为4级,手术难度非常大。所以必须找到经验丰富的医生来做这场手术,尽快解决问题。多方查询后,大卫一家找到了国际脑动静脉畸形专家——INC美国Michael T. Lawton教授。
了解到大卫的病史后,Lawton教授为大卫制定了手术方案,最终成功全切颞角动静脉畸形。
Lawton教授术中操作

左侧翼点开颅,再次手术,显露前颞叶。

沿颞下回经原皮层入路达颞角。

AChA经脉络裂进入颞角,在前方供应AVM,lPChA在后方供应AVM。

通过ITG经皮层显露可以充分显露颞角,达到全切AVM。
INC脑血管大咖Lawton教授颞角AVM的切除策略
颞角AVM切除与像颞底AVM类似,颞部开颅(第1步)后,通过颞下回(ITG)经皮质入路。病人取仰卧位,头向侧方偏转90°,降低顶点以获得一朝向颞角的向上的角度。
以耳上为基底的马蹄形切口、颞部开颅。入路在颞下回下部,角度对着脑室,保持在Meyer’s环内的视放射之下。Meyer’s环从上面越过颞角(第2步)。
导航有助于确定该入路。一旦进入颞角,沿其轴纵向打开,以完整看到AVM。直到切除结束才能够看到下ChorV和BVR (第3步)。
在脉络裂近端丛点之后辨认AChA,在脉络裂远端病变之后可见lPChA供血(第4步)。
先阻断AChA供血血管(第5步),但是另外的自脉络丛的供血血管在内侧缘,从近端向远端继续分开脉络裂阻断这些脉络丛供血血管。
需要向前用力,将一部分AVM移向外侧(第6步)。优先通过脉络丛和穹窿伞(伞带)之间的脉络膜,从下方打开脉络裂,避开上面的尾状核尾部和丘脑下部。
最后一步切除的是汇入BVR的引流静脉和残留的来自lPChA的供血血管(第7步)。
- 第1步:暴露AVM——头皮马蹄形切口,颞部开颅,通过颞下回经皮层入路,术中见AVM来自AChA和lPChA的动脉供血,静脉向内侧引流到BVR,以及邻近优势半球的海马。
- 第2步:通过ITG经皮质入路进入颞角。
- 第3步:辨认脉络丛和脑室的引流静(BVR直到后来才能看到)。
- 第4步:辨认前方脉络裂内的AChA。
- 第5步:从近端脉络裂阻断AChA的前内面。
- 第6步:沿脉络裂由近及远分离。
- 第7步:将AVM移出脉络裂,以切断lPChA供血,辨认环池内的BVR。
INC 国际脑血管专家 Michael T. Lawton教授
INC国际 Michael T. Lawton 教授作为巴罗神经学研究所主席兼首席执行官,深耕于脑动静脉畸形的形成、遗传学特征和破裂的治疗,以及脑部血管瘤的血液动力学、破裂、数字建模等领域。他的临床研究包括血管瘤、动静脉畸形、颅内搭桥的微创治疗方法,以及微创治疗临床数据。
他发表了450多篇神经外科专业文章,撰写3部个人著作(动脉瘤手术治疗著作《七种脑动静脉畸形:切除原理和技巧》、《七种动脉瘤:夹闭术的原理和技巧》、《七种搭桥术:血运重建的原则和技术》),是70多本医学专业书籍的部分章节作者,获得近20项国际医学奖项,是600多个专业讲座及世界40多个神经外科机构的特邀教授。

神经外科经验:
- 脑动静脉畸形:900例
- 脑动脉瘤:4400余例
- 海绵状血管畸形:1000余例



