一场突如其来的车祸,让8岁的小明陷入中度昏迷,经过紧急抢救,稳住了小明的生命体征,所有人都以为他闯过了鬼门关。
可谁也没想到,复查CT揭开了更可怕的真相:创伤性动脉瘤合并动静脉瘘,更危急的是短短7天病灶就明显增大,留给医生的救治时间,已经所剩无几.....
车祸撞击背后竟是隐匿的颅内危机
那天下午,小明像往常一样走在放学回家的路上,谁也没有料到,一场车祸会让这个普通的日子变得不同寻常。
被紧急送往当地医院时,小明的格拉斯哥昏迷评分仅有7分(E1V1M5),处于危重状态。
格拉斯哥昏迷评分法可作为医务人员评价患者中枢神经受损程度的重要指标,也是预测患者功能恢复的良好指标。通过睁眼反应、语言反应、运动反应三个维度评分,总分3-15分,分数越低提示意识障碍越严重。
| 睁眼反应(E) |
4分:自主睁眼 3分:呼唤后睁眼 2分:疼痛刺激后睁眼 1分:无睁眼反应 |
| 语言反应(V) |
5分:对答清晰,定向准确 4分:对答混乱 3分:仅能说出单词(如无意义喊叫) 2分:仅能发出声音(如呻吟) 1分:无语言反应 |
| 运动反应(M) |
6分:遵嘱动作(如抬手、伸舌) 5分:刺痛定位(能准确移除疼痛源) 4分:刺痛躲避(肢体回缩但无定位) 3分:刺痛屈曲(去皮质强直) 2分:刺痛伸展(去大脑强直) 1分:无运动反应 |
正常人的昏迷指数是满分15分
轻度昏迷:13分到14分
中度昏迷:9分到12分
重度昏迷:3分到8分
低于3分:因插管或气切无法发声的重度昏迷者会有2E或2T的评分。
头部CT结果令人揪心:蛛网膜下腔出血、左后颅窝闭合性颅骨骨折,同时伴有肝损伤和骨盆骨折。医生立即为他进行了脑室引流术以控制颅内压力,并实施了为期7天的低温治疗以保护脑组织。


图a:头部CT显示弥漫性蛛网膜下腔出血和心室扩张。
图b:3D骨CT显示多发性颅骨骨折
最初的抢救稳住了小明的生命体征,就在大家都觉得可以松一口气的时候,真正的危机开始初见端倪。
入院治疗第5天的复查CT发现左侧桥小脑角区出现高密度肿块。进一步的3DCTA血管造影揭示了一个令人担忧的事实:小脑前下动脉远端出现了动脉瘤。
更棘手的是,入院第7天的血管造影证实,这个动脉瘤不仅是创伤后形成的,还合并了动静脉瘘——一条异常静脉直接从动脉瘤瘤顶引流至颈内静脉,相当于血管系统出现了“短路”。

图a,b,c为第7天的右椎动脉造影。动脉瘤位于左AICA的近端。
更危险的是,14天后复查造影,动脉瘤已经明显增大,随时可能破裂大出血。

图d,e为第14天右椎动脉造影。动脉瘤扩大,房室瘘更加明显。
治疗挑战:儿童创伤性动脉瘤的特殊性
儿童创伤性颅内动脉瘤本身就少见,而同时合并动静脉瘘的情况,更是寥寥无几。更关键的是,动脉瘤位于后循环的小脑前下动脉,这个区域血管纤细、位置深在,周围紧邻脑干等重要结构,手术空间异常狭小。
而且,这种创伤性动脉瘤多为“假性动脉瘤”——它没有正常的血管壁结构,瘤壁仅由脆弱的外膜和周围纤维组织构成,就像破了的水管外面随便缠了层布,根本经不起牵拉和压力,手术中极易破裂出血。
最重要的是创伤性颅内动脉瘤的自然病程很凶险,通常在伤后2-6周会逐渐扩大并破裂,平均破裂时间仅14-21天。一旦破裂,死亡率高达32%-54%,而小明的动脉瘤已经出现增大迹象,必须尽快手术。
与时间赛跑,精准手术,拆解“颅内炸弹”
任何等待都可能导致致命性的再出血。在小明入院第16天,经多学科评估后,团队决定立即进行外科手术干预,拆除这颗隐患。
手术团队采用了右侧侧斜卧位,经经典的枕下乙状窦后入路,小心翼翼地抵达深部的桥小脑角区。就在医生试图将动脉瘤从周围粘连的纤维组织中游离时,最担心的情况发生了——动脉瘤提前破裂。在紧急情况下,主刀医生果断决策,迅速实施了AICA近端阻断术,随后将动脉瘤整体切除,并将异常的引流静脉电凝切断。

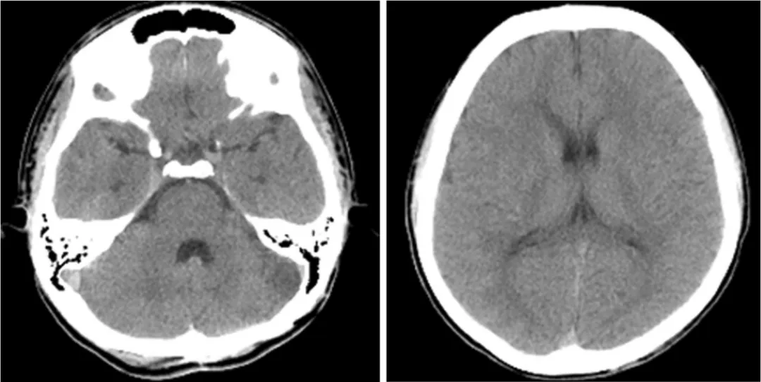
术后CT,无明显缺血性病变或脑积水
术后六年,重归正常生活
术后影像结果让人欣慰:头颅CT没有发现新发缺血性病灶,血管造影显示左侧小脑前下动脉完全闭塞,动脉瘤和动静脉瘘被彻底清除,没有残留。

术后血管造影显示无残余动脉瘤或房室瘘
小明恢复得很顺利,除了左侧周围性面神经麻痹(面部肌肉活动稍受影响),其余神经功能均恢复正常。
在术后6年的长期随访中,他的面神经麻痹症状虽未完全消失,但不影响日常活动,学习和生活都和普通孩子一样,复查造影也未发现动脉瘤复发。
文献来源:Akitsugu Kawashima et al.A case report of a pediatric traumatic aneurysm with arteriovenous(A-V)fistula CASE-BASED UPDATE
INC国际神经外科专家团-川岛明次教授

INC国际神经外科医生集团旗下世界神经外科专家团(WNEG)成员、世界脑血管搭桥手术大咖、圣路加国际医院神经外科主任川岛明次(Akitsugu Kawashima)教授,擅长脑卒中、烟雾病、颅底肿瘤、面部痉挛/三叉神经痛、颅内血肿、巨大脑动脉瘤、脑动静脉畸形等疾病的治疗,尤其擅长脑血管搭桥、颈内动脉内膜切除术。
神经外科经验:
烟雾病脑血管搭桥手术:1300例
脑动脉瘤夹闭手术:1000例
脑血管畸形切除术:500例
颈内动脉内膜切除术:450例
开颅脑瘤切除术:280例
颅后窝搭桥术、High-flow Bypass技术等


