毛细血管瘤是良性血管病变或血管肿瘤,通常发现于新生儿或婴儿的皮肤或软组织上。据报道,1.1-2.6%的足月新生儿出现这种情况,是面部、头皮、胸部或背部。另一方面,颅内毛细血管瘤很少见,因为以前只报告过34例。然而,其中大多数(30/34;88.2%起源于硬脑膜,发现为轴外肿块。在这份报告中,提出了一个相当少见的病例,颅内,实质内毛细血管瘤在右侧顶叶。
案例报告
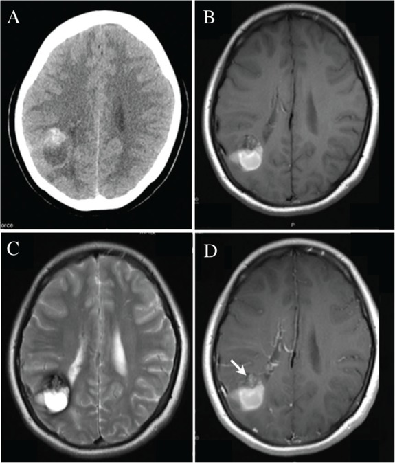
15岁女孩,既往有哮喘和过敏性鼻炎病史,主诉右侧颞区间歇性头痛,持续时间为身体运动后5 min。一个月后,她经历了严重的头痛,随后视力模糊,并被转介到以前的医院。她被诊断为右顶叶颅内出血,被转移到我们医院。入院时的神经系统检查没有发现明确的异常。入院后她的症状逐渐好转。平片电脑断层扫描显示在右顶叶有一个高密度肿块和一个低密度病灶(图1A)。T1加权和T2加权磁共振成像(MRI)均显示一个混合强度肿块,伴有亚急性期血肿,位于右侧壁白质,靠近侧脑室。质量部分增强。未观察到其他损伤(图1B-1D)。她被诊断为海绵状血管瘤伴有亚急性期血肿。
未观察到其他损伤(图1B-1D)。她被诊断为海绵状血管瘤伴有亚急性期血肿。

图1,术前CT和MRI表现。(一)平片扫描显示右侧顶叶深部有一高密度肿块和低密度囊肿。在T1- (B)和T2加权磁共振成像(C)上,肿块显示混合信号强度。邻近囊性病变在T1- (B)和T2加权磁共振成像(C)上均显示高信号强度,提示血肿处于亚急性期。钆增强T1加权磁共振成像显示混合信号强度肿块部分增强(箭头)。
她接受了肿块切除术。在全身麻醉诱导后,她被置于侧卧位,并做了右侧顶骨开颅手术。大脑皮层水肿和肿胀。血肿没有被包裹,而是通过1厘米的皮质切除术完全排出。然后,可以在白质中识别血管损伤。肿块呈红色,与许多小喂食器和引流器有关。肿块被完全切除(图2)。术后过程平安无事,她出院时没有任何神经障碍。手术后8个月,她完全没有任何神经系统事件。
组织学检查显示大量密集生长的毛细血管样结构,有内皮细胞、含铁血黄素沉积和出血。这一组织学发现与毛细血管瘤相一致。
在目前的情况下,病变被完全切除,导致症状完全解决。如前所述,手术切除将是表现为神经功能缺损的颅内毛细血管瘤的较好治疗选择。这是一个少见的青少年颅内实质内毛细血管瘤病例,表现为反复头痛,可能是因为出血后颅内压升高。据我们所知,只有4例报告的颅内实质内毛细血管瘤病例。鉴别诊断包括海绵状血管瘤等其他血管肿瘤,但毛细血管瘤与其他病变的鉴别并不那么容易。因此,如果可能的话,手术切除和组织学诊断对诊断重要。


