在神经外科领域,丘脑海绵状血管瘤是一种特殊且凶险的疾病——它位置深在、功能关键,一旦出血可能导致偏瘫、感觉障碍等灾难性后果,而“手术切除”还是“放射治疗”的选择,更是让医生和患者家属纠结不已。
26岁的扎克也面临这样问题,他因剧烈头痛被查出丘脑病变,医生为他安排了放疗,而一年后复查显示病灶依然存在而且近期有出血迹象......
为什么接受放疗后病灶竟还在出血?
26岁的扎克突发剧烈头痛、呕吐,意识也越来越模糊,被家人朋友紧急送往医院。
头颅CT检查发现,他的丘脑区域有一个出血性病灶,当地医生判断这很可能是一个“丘脑肿瘤”,并为他安排了放疗。

图1,左:头颅CT扫描显示最初的病变诊断为丘脑肿瘤。右:40 gy分割放疗一年后,根据磁共振成像,左丘脑病变被重新考虑为丘脑海绵状血管瘤。与未辐照的对照CH组织样本相比,治疗后病变间质存在内皮细胞破坏和明显纤维化。
本以为放疗能“消灭”病灶,没想到一年后,小伙子的症状再次反复。新的磁共振检查推翻了之前的诊断:这个病灶根本不是肿瘤,而是丘脑海绵状血管瘤!更棘手的是,放疗不仅没解决问题,病灶还出现了持续出血的情况。
最终,医生通过开颅手术为扎克切除了这个病灶,术后病理检查发现:放疗后的血管瘤组织里,血管内皮细胞被破坏,周围组织严重纤维化,还形成了瘢痕,同时有大量含铁血黄素沉着(提示反复微量出血)——这些都是放疗带来的损伤,反而让血管变得更脆弱,增加了出血风险。

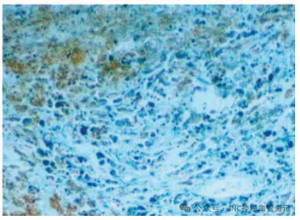
40 gy放射治疗后的丘脑海绵状血管瘤组织样本:可见明显的含铁血黄素色素沉着,提示放疗后组织新形成的毛细血管出现微出血。
对于丘脑海绵状血管瘤,放疗和手术哪个才是稳妥选择呢?
丘脑在哪里?此处的病变治疗难度有多大?
可以把丘脑想象成大脑的“信息中转站”。它深埋在大脑中央,左右各一,几乎所有通向大脑皮层的感觉信号(除嗅觉外)都要在此换乘、整合,再精准投送到相应脑区。
正因其功能关键、结构复杂,且周围布满重要的神经核团与血管,此区域的手术向来被视为“雷区”,稍有不慎就可能导致偏瘫、感觉障碍等严重后遗症。
丘脑海绵状血管瘤虽然罕见,但危害极大。其主要风险就是出血,年出血率约为2.8%–4.1%,高于一些浅表部位的血管瘤。一旦出血,灾难性的神经功能缺损(如偏瘫)往往随之而来,且首次出血后再次出血的风险显著增高。
临床上,丘脑海绵状血管瘤的治疗主要有两条路:手术切除和放射治疗。手术切除病灶,从根源上杜绝出血风险,但因为丘脑位置深、功能重要,手术致残风险不低;放疗不用开颅,看似“微创”,却存在病灶残留、再出血的隐患——这就是医生和患者家属的核心纠结点。
放疗是如何起作用的?有何风险?
很多患者和家属对“放疗”的印象是“不用开颅、安全”,但其实它的原理和潜在风险需要客观看待。
立体定向放射外科,其原理是通过聚焦高能量射线,精确照射病变组织,使血管内皮细胞损伤、缓慢增生闭合,最终达到“封闭”畸形血管团的目的。它确实广泛用于脑肿瘤、血管畸形等疾病,但这并不意味着适合所有情况——尤其是丘脑海绵状血管瘤。
然而,高剂量辐射是一把双刃剑。它可能引起脑水肿、放射性坏死、诱发胶质增生和毛细血管扩张等。对于海绵状血管瘤,放疗后病灶中心可能形成空洞并积血,影像学上有时会呈现为混合信号、囊实性变化的复杂表现。
更重要的是,放疗的起效是缓慢的,通常需要数月到数年。在此期间,病灶仍有出血风险。如本文开头案例所示,放疗可能造成了血管闭塞和纤维化,但也同时刺激了脆弱新生血管的形成,未能完全杜绝再出血的可能。
巴教授如何应对丘脑海绵状血管瘤?
早在1991年,INC国际脑血管大咖巴特朗菲教授就在论文《Microsurgery of Deep-Seated Cavernous Angiomas:Report of 26 Cases》中,回顾了包括2例丘脑部位在内的26例深部海绵状血管瘤手术。

所有病例均成功全切,且无新增永久性神经功能缺损。巴教授及其团队强调,成功的关键在于:
精妙的手术入路设计:根据病灶具体位置,选择最直接、对正常脑组织牵拉最小的路径。
极致的显微外科技术:在显微镜下,像雕刻艺术品一样,将畸形血管团与周围极其重要的正常脑组织、神经和血管一丝不苟地分离。
完全切除病灶及异常引流静脉:确保无残留,从根源上杜绝复发。
巴教授的研究证明,即使是丘脑、脑干这样的“手术禁区”,通过个体化入路、娴熟的显微技术和丰富的经验,也可以实现安全的全切,获得良好预后。
回到最初的问题:丘脑海绵状血管瘤,该手术还是该放疗?答案并非非此即彼,而应是个体化的精准决策。
对于有明显症状、反复出血、占位效应重的患者,尤其是年轻患者,显微外科手术全切应是优先考虑的根治性方案,前提是找到具有丰富深部手术经验的神经外科团队。
放疗可作为手术风险极高、无法耐受手术或病灶残留时的补充治疗选择,但需充分告知其起效慢、仍有出血风险、且可能带来放射性损伤的局限性。
治疗的希望,建立在对疾病的深刻理解与医疗技术的不断突破之上。无论是选择哪条路,都应在经验丰富的多学科团队指导下,为患者量身定制最安全、最有效的治疗方案。
参考文献:
Nyáry I,et al.Histopathological findings in a surgically resected thalamic cavernous hemangioma 1 year after 40-Gy irradiation.J Neurosurg.2005.
Bertalanffy H,et al.Microsurgery of deep-seated cavernous angiomas:report of 26 cases.Neurosurgery.1991.


