26岁的约翰(化名)刚结束一天的工作,却突然感到头痛,紧接着胃部翻江倒海直冲洗手间,当他再次起身时依然头痛的要命,疼痛感让他无法思考自己到底怎么了,遂紧急就医。
经检查后,约翰被诊断为丘脑肿瘤,给予40Gy分次外束放射治疗,放疗后脑室增大,做了脑室-腹膜分流术。
放疗一年后,因丘脑出血再次住院,并进行了MR检查,诊断修改为丘脑海绵状血管瘤,最终,他选择外科手术切除。

丘脑海绵状血管瘤极其罕见,出血后往往引起偏瘫等神经功能障碍,首次出血后再次出血的风险增加。一旦反复出血或脑干出血量大,轻则对运动、语言等功能造成不可逆损伤,重则昏迷、瘫痪……,这种出血有时可以重复第二、三次,且可能每次情况比之前更糟。
确诊后直接做手术,还是选择放疗?可放疗后可能又得做手术全切,作为丘脑海绵状血管瘤患者该怎么选呢?
丘脑海绵状血管瘤选择放疗
立体定向放射手术是治疗脑海绵状血管瘤的一种有争议的治疗方式,尤其对于丘脑海绵状血管瘤等深部位置。
1. 放疗的直接损伤
血管内皮损伤:放射线可导致血管内皮细胞凋亡或功能障碍,破坏血窦壁的完整性,增加脆性。
促炎反应:放疗后局部炎症因子(如VEGF、TNF-α)释放,促进血管通透性增加和微出血。
2. 放射性血管病变
迟发性血管狭窄或闭塞:放疗后数月到数年可能出现血管纤维化、玻璃样变,导致局部缺血,进而代偿性新生血管形成(脆弱易出血)。
放射性坏死:周围脑组织坏死可能间接影响海绵状血管瘤的稳定性。
3. 血流动力学改变
放疗后周围正常血管闭塞或狭窄,可能导致海绵状血管瘤内血流压力升高,诱发破裂。
4. 病灶本身的生物学特性
海绵状血管瘤本身具有自发出血倾向(年出血率约0.5%~6%),放疗可能加速这一过程。
若病灶既往有出血史,放疗后出血风险可能更高。
临床证据与争议
部分研究提示立体定向放射外科(SRS)可能增加短期(1~2年内)出血风险,但长期(>2年)可能降低风险(通过病灶纤维化)。
争议点:放疗对海绵状血管瘤的疗效尚未完全明确,尤其是无症状或深部病灶,需权衡利弊。
处理建议
若放疗后出血,需评估出血量及神经功能,必要时手术切除(尤其反复出血或占位效应明显者)。
长期随访MRI(含SWI序列)监测病灶变化。
丘脑海绵状血管瘤可以安全全切吗?
长期以来,脑干、丘脑、基底节等颅底位置被称为手术“禁区”,而丘脑是很多关键神经功能的神经核团所在,术中失之毫厘,都可能伤及关键功能,给患者造成毁灭性打击(偏瘫,视野缺损,失语,昏迷等)。
回到今天,经过30多年的钻研和手术成功经验成就了INC国际神经外科医生集团德国巴特朗菲教授。他擅长复杂位置的脑肿瘤、脑血管病等各种病变,如脑干、丘脑、胼胝体、高位颈髓、颅底等位置,能在保证神经功能不受损伤的情况下全切肿瘤。

INC巴特朗菲教授早在1991年,就已发布过相关研究,《Microsurgery of Deep-Seated Cavernous Angiomas: Report of 26 Cases》,巴教授回顾了26例经显微手术切除的深部海绵状血管瘤。10个海绵状血管瘤位于岛叶和基底节,2个位于丘脑,5个位于中脑,8个位于桥脑,1个位于桥臂。
这些患者是1983年8月至1989年12月间手术的患者。11例完全切除,没有产生额外的神经功能缺损。巴教授表示:为了获得满意的手术结果,必须特别注意手术入路、解剖仔细和完全切除血管畸形、穿支动脉和异常静脉引流。

《Microsurgery of Deep-Seated Cavernous Angiomas: Report of 26 Cases》
巴教授证明,脑海绵状血管瘤无论位于皮层或皮层下功能区,以及其他功能重要的区域,如基底节区和丘脑,或位于第三脑室、胼胝体和扣带回、脑室旁以及深部颞区等,在这些位置的病灶都可以安全地尽全切除,效果良好,发病率低。
INC国际大咖巴教授丘脑海绵状血管瘤·实例分享
文文全切丘脑海绵状血管瘤
从2022年3月检查出丘脑海绵状血管瘤到巴教授成功为文文手术切除病变,一年期间,文文经历了两次出血,症状甚至不断加重,眩晕呕吐、右眼视力下降明显,右下肢无力,步态不稳,肢体麻木……
“手术风险很大,先保守观察吧”。
多方寻求治疗机会得到的答案也屡次让他们失望,所幸她们最后抓住了巴教授示范手术机会,将自己的命运挽救于危险的丘脑海绵状血管瘤中。


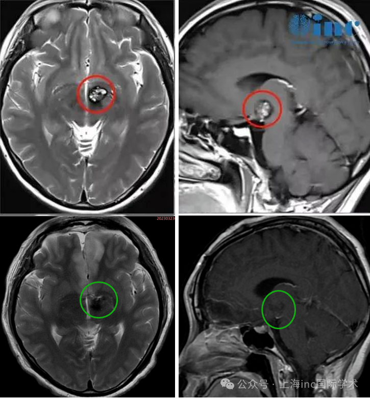
术前术后影像对比
而回想4月初术后第14天顺利出院前,巴教授前来查房问候,“Very good”文文开心回答道。
“前几天她一口气数到了40.今天一口气数到了100”,提到文文术后暂时的记忆力下降的问题,文文妈妈也跟教授说道目前文文和教授评估的一样,相比术后最初已经恢复了很多。
巴教授细心检查文文的手术切口恢复情况,运动行走情况,表示她现在可以出院了。
— “Do you want to go home?”
— “Yes!”
大家都被文文快乐的情绪所感染,病房里充斥着的笑声也是一家人终于战胜了肿瘤后的庆祝。

术后4个月文文恢复良好,肢体活动自如
丘脑海绵状血管瘤尽管手术难度很大,如选择适合的手术入路并结合娴熟的显微神经外科手术技巧是可以全切肿瘤并获得良好疗效的。而且早期手术可提供良好的临床效果,并消除未来出血的风险。
手术切除程度还跟神经外科医生的经验相关,灵活的手术策略、熟练的手术技巧、耐心细致的手术操作,以及对于多种手术入路方式的熟练掌握,都是手术全切的关键。

巴教授当之无愧的国际知名颅底、脑干手术大师。他极为擅长各种复杂位置的脑肿瘤、脑血管病等各种病变,如脑干、丘脑、胼胝体、高位颈髓、颅底等位置,能在保证神经功能不受损伤的情况下全切肿瘤,一次次的成功切除高难度脑干海绵状血管畸形和胶质瘤、颅底肿瘤等脑深部瘤,让无数失去信心的患者得到了“重生”。


