inc国际神经外科医生集团
导航
(爱恩希)INC国际咨询电话

脑海绵状血管瘤

脑海绵状血管瘤
当前位置:INC > 脑海绵状血管瘤 >

带“瘤”不是瘤的脑干海绵状血管瘤可致患者当场死亡

所以脑干部位一直被视为手术的禁区,而脑海绵状血管瘤就刚好处在这个禁区上,不仅威胁大,而且手术难度相当高,所以一个经验丰富的医生和一个好的手术方法重要。而国际颅...

2020-12-10 16:51:53

视交叉脑海绵状血管瘤的外科治疗

我们报告一例视交叉性黄斑变性,具有经典的临床和影像学表现。颅咽管瘤被认为是较有可能的,部分血栓形成的动脉瘤,海绵状血管瘤,出血性神经胶质瘤和皮样瘤也被考虑。视交叉...

2020-12-02 17:41:28

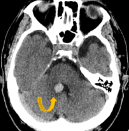
鞍内脑海绵状血管瘤案例报告一则

鞍内脑海绵状血管瘤案例,颅内出血在磁共振成像(MRI)上具有特征性表现,包括T1加权像上的等强度、T2加权像上的高强度和鞍区钆增强T1加权像上的弥散均匀强化。在这篇报告中,我们提...

2020-11-27 15:02:47

脑海绵状血管瘤会死吗?脑海绵状血管瘤多次出血可致命

脑海绵状血管瘤会死吗?脑海绵状血管瘤的放射学特征也多种多样。当出现新的或恶化的局灶性神经缺陷时,可能有近期出血的放射学证据(这可能较初掩盖了只有在延迟MRI上才能诊断的...

2020-11-26 16:23:40

桥脑海绵状血管瘤出血导致米勒德-古布勒综合征

桥脑海绵状血管瘤出血,一名27岁的右半身不遂伴有左周围性面瘫和复视的女性,诊断为米勒德-古伯勒综合征(MGS)。在眼科和神经系统检查后,通过磁共振成像检测到由海绵状血管瘤引起...

2020-11-26 15:56:36

脑干海绵状血管瘤的特征和症状

脑干海绵状血管瘤的特征和症状,和其他部位的海绵状血管瘤一样,无症状被发现的情况也很多。无症状的情况下可以观察。脑干部也有顺利区,一部分切开也不容易出症状的部分。使用两点法...

2020-11-25 11:38:35

34岁女性脑干海绵状血管瘤如何顺利全切:经胼胝体前入路手术切除

在一般人群中,中枢神经系统海绵状血管瘤(CMs)的患病率估计为1%。我们报告一位年轻健康女性的病例,其脑干CM被经胼胝体前入路(ATTA)切除,这是一种少见的方法,但有望成为中脑...

2020-11-24 13:10:18

超声检测胎儿小脑海绵状血管瘤子宫内出血导致小脑半发育不全

不同的诊断应包括产前病毒感染、致畸物暴露、染色体畸变、代谢障碍、孤立(遗传)迁移障碍、先天性肌肉营养不良或桥小脑发育不全。在先天性巨细胞病毒感染中曾报告过小脑发育不全...

2020-11-20 11:48:06

脑干海绵状血管瘤能活多久?

霍恩等人对我们了解海绵状血管瘤的自然历史做出了重要的贡献,为长期以来的怀疑提供了有力的证据,即脑干位置和出血性病变预示着更积较的临床进程。神经外科切除术或SRS后...

2020-11-11 13:48:20

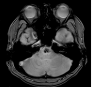
18个月大婴儿眼眶及颅内海绵状血管瘤案例报告

眼眶海绵状血管瘤患者通常出现在生命的四个和五个十年。我们描述了一个患有眼眶海绵状血管瘤并伴有颅内病变的女婴的病例,该病例与严重的血栓形成、视神经萎缩、严重的视...

2020-11-10 11:08:34

相关