inc国际神经外科医生集团
导航
(爱恩希)INC国际咨询电话

脑海绵状血管瘤

脑海绵状血管瘤
当前位置:INC > 脑海绵状血管瘤 >

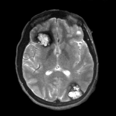
脑海绵状血管瘤出血的评估因素有哪些?

脑海绵状血管瘤是一种少见的血管病变,在一般人群中发病率约为0.4% - 0.8%。虽然它们的病程通常是良性的,但脑海绵状血管瘤可能会出现头痛、癫痫或出血等症状。由于少见,全部脑...

2020-02-28 20:09:56

脑海绵状血管瘤30年接连脑出血,紧急送医抢救

68岁王奶奶一开始诊断出脑海绵状血管瘤还是30年前,那是一开始出血。一开始出血并没有给王奶奶带来太大的伤害,加上血管瘤位置深入脑干,手术不易进入,便选择保守治疗。在与脑...

2020-02-27 21:28:52

脑海绵状血管瘤活多久?切除干净可恢复正常人寿命

海绵状血管瘤 是一种脑部疾病,畸形的血管损害了正常的血液流动。根据受影响血管的数量和每种缺陷的严重程度,情况可能从轻微到严重不等。未经治疗的海绵状血管瘤可能导致癫痫...

2020-02-26 20:48:18

脑海绵状血管瘤是先天性的吗?

脑海绵状血管瘤 是一种个体发育异常形状的血管,导致脊髓和大脑问题的情况。血管畸形的直径从2毫米到几厘米不等,形状类似于小桑果。脑海绵状血管瘤的症状包括严重头痛、呕吐...

2020-02-25 19:46:07

脑干海绵状血管瘤手术成功率:外科手术的挑战

脑海绵状血管瘤( 海绵状血管瘤 )一直被认为是神经系统血管畸形的主要病理类型之一。由于在血管造影上未见异常的血管分布,海绵状血管瘤已被列入神秘或隐匿性血管畸形的描述。所...

2020-02-24 22:00:23

脑干海绵状血管瘤内镜微创手术可行吗?

脑海绵状血管瘤 是一种血管造影隐匿性病变,以单层内皮覆盖,取代邻近的脑组织。海绵状血管瘤在一般人群中的患病率估计为0.4-0.5%,临床表现为各种体征和症状,包括出血、头痛、...

2020-02-21 20:12:18

【病因】脑海绵状血管瘤患者初次出血的评估因素

脑海绵状血管瘤 是发生在整个中枢神经系统的血管造影隐匿性低流量血管畸形。病理上,脑海绵状血管瘤由内皮细胞浸润的空洞组成,缺乏适当形成的紧密连接。这些病变的形成、生长...

2020-02-20 20:55:24

脑海绵状血管瘤磁共振诊断:附真实影像资料分析

脑海绵状血管瘤 是一组颅内血管畸形,是血管床发育畸形。这些先天性的、异常的血管连接往往随着时间的推移而扩大。病变可发生在家族基础上。患者可无症状,但常伴有头痛、癫痫...

2020-02-19 18:16:29

小儿脑干海绵状血管瘤的管理:在加拿大多伦多儿童医院工作20多年经验总结

脑海绵状血管瘤 是比较常见的脑部病变,约占总人口的0.5%,占全部脑血管畸形的5-10%,呈桑果状。尽管海绵状血管瘤在组织学上是良性的,但由于出血和扩张引起的肿块效应,它能导致...

2020-02-05 16:49:40

枕骨大孔区脑膜瘤好治吗?

枕骨大孔区脑膜瘤(FMMs)由于其位置、与神经轴和下颅神经以及与椎动脉(VA)和分支的密切关系,无疑是一种具挑战性的病变。此外,当发现这些肿瘤时,由于其生长速度慢、进展缓慢、...

2020-01-17 17:23:53

相关