大怪兽MB:嗨!我是大怪兽MB,这可不是什么随便取的名字,我还有一个更“酷”的大名叫髓母细胞瘤。如果你的孩子已经开始头痛、呕吐、走不了路、站不稳、看东西重影、没精神……没错!那可能就是我的“功劳”哦~
家长:我的孩子还这么小,难道真的没有希望了吗?我们究竟要怎么帮TA打跑这个大怪兽呢……
外科医生:千万别轻易放弃!只要有一个全面的综合治疗方案,即使得了髓母细胞瘤也是可以长期生存的!而且主要的手段就是手术+术后辅助放疗,能显著提升孩子的生存率。
得了髓母细胞瘤,究竟如何为孩子选一个合适的治疗方案?让TA们的未来也如其他健康小孩一样充满光明,想必这是每一个患儿父母日思夜想的问题。13岁患儿Anita的小脑袋里长了一个比鸡蛋大的脑瘤,从说不了话、走不了路甚至连站都站不稳到她的父母及时做出正确的选择,为孩子成功求得长达8年的生存期!无复发、无并发症,Anita父母的经历或许能带来一些启发……

“以前那么活泼的孩子,现在连声妈妈都说不出来”
13岁的小女孩喜欢什么?跟朋友一起逛公园、陪妈妈饭后散步、带小狗出门玩……Anita原本的生活就围绕着这些展开,她活泼好动,对世界充满好奇,每天都会告诉妈妈自己在学校发生的事情,直至那一天的到来,彻底打破了她们一家人的温馨生活。
那天早上,睡醒的Anita突然觉得头痛,可当天学校有重要活动,加上头痛很快缓解,Anita也就没当回事,照常上学去了。然而,连续两周时间Anita的头痛始终没有得到缓解,而且还越来越严重,这让Anita母亲感到不安。
从一开始的头痛,到频繁呕吐、摔跤、重影,原本活泼外向的孩子逐渐变得萎靡沉默,“现在连声妈妈都说不出来”,Anita母亲一想到这里就不由得哽咽起来,这对父母而言无疑是一个沉重的打击。
查出鸡蛋大的髓母细胞瘤,孩子“必须即刻接受手术”!
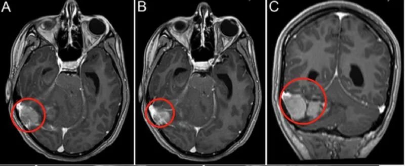
孩子病情耽误不得!父母立刻带着Anita来到加拿大多伦多大学Sickkids医院。核磁扫描结果显示,Anita右侧小脑半球存在 5.6×5.0×3.4 cm的高信号巨大占位,且肿瘤已经压迫第四脑室,伴发梗阻性脑积水。

SickKids Arthur & Sonia Labatt脑瘤研究中心主任James T. Rutka教授对Anita父母严肃地说:“孩子必须即刻接受切除手术,以解除占位效应!”
然而,这场手术对于Anita来说,是一次生死边缘的徘徊:孩子已经出现严重的症状,尽管父母发现的不算太晚,但是对于任何一种脑瘤来说,在无症状时尽早治疗可能才是抓住合适治疗时机,为孩子取得良好预后的保障,更何况是髓母细胞瘤这种生长极其迅速、肿瘤细胞可快速散播的脑瘤。
Anita父母明白,手术大概是目前唯一的治疗途径,否则孩子的症状会越来越严重,甚至导致无法挽回的后果……
治疗小贴士:
对于儿童脑瘤来说,大部分因肿瘤位置、生长特性、儿童表达能力有限等原因导致在初期不易被家长识别,因而错过合适的治疗时机。因此,作为家长,有必要在孩子表现出任何不适时及时就医检查,尤其是头痛、呕吐、头晕等症状,很有可能是孩子的神经功能受损。在无症状时尽早治疗,其效果远比等到出现症状后治疗要好得多。
一次成功的切除手术,孩子至今8年未复发!
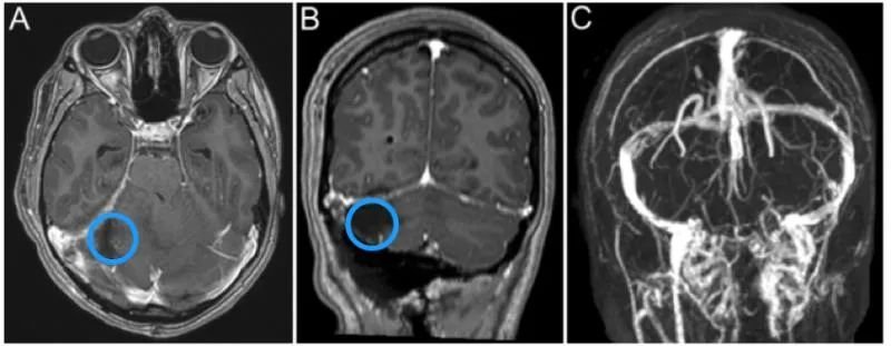
很快,Anita接受了Rutka教授主刀下的后颅窝开颅及右侧小脑肿瘤实质内次全切除手术。在手术中,由于残留的肿瘤侵犯了右侧横窦和乙状窦的交界处,一旦切除将会给孩子的未来带来严重影响,因此Rutka教授并未强行切除,取而代之的是用双极烧灼法凝固该成分。
Anita的手术很顺利,次全切的效果很好,通过对术中肿瘤标本的组织学检查发现,Anita的手术病理结果为典型的髓母细胞瘤伴间变。
术后MRI显示Anita的右侧横窦内小脑实质部分全部切除,有少量强化肿瘤(< 1.5c㎡)。术后临床检查显示脑神经正常,无明显运动或感觉功能障碍,轻度舒张功能障碍,轻度躯干共济失调,术后半年症状明显好转。随访 8 年,孩子无神经功能缺损,无肿瘤复发。一次手术,让Anita父母不再提心吊胆,而孩子的未来也缓慢展开……

INC 国际小儿神外专家团

国际儿童脑肿瘤大咖 James T. Rutka教授
教授是世界神经外科联合会(WFNS)执行委员会&顾问委员会成员之一,发表超过500多篇的文章,在临床上的研究方向以颅内肿瘤为主,对胶质瘤、纤维瘤、颅咽管瘤、室管膜瘤具有多年的临床经验,擅长清醒开颅术、显微手术和被广泛用于治疗恶性脑瘤和癫痫的国际前沿技术激光间质热疗(LITT)技术经验,对于儿童胶质瘤,尤其是高级别胶质瘤开展多项临床试验,其所在的医院加拿大SickKids是国际知名的儿童医院之一。

国际儿童神经外科专家 Concezio Di Rocco教授
自2014年5月起,Di Rocco教授就担任了德国汉诺威国际神经科学研究所(INI)的儿科神经外科主任。从事儿童神外事业50余年,Di Rocco教授尤为擅长小儿神经纤维瘤、癫痫、脑积水、蛛网膜囊肿、颅缝早闭、脑和脊髓肿瘤、脑和脊柱畸形(半椎体畸形,皮质发育不良,脊髓脊膜膨出,脊髓内脂肪瘤,Arnold-Chiari畸形等)难治病症方面的治疗,曾进行过12000多次神经外科手术。

国际脑干手术大咖 Helmut Bertalanffy教授
教授擅长颅底、脑干病变、功能区、大脑小脑、脊髓等复杂位置的肿瘤性、血管性疾病的手术治疗,尤其擅长颅底、脑干等复杂区域病变的肿瘤切除术、神经吻合术等,脑干病变成功手术病例近千台,以精湛高超的手术技术不损伤神经功能且全切病变。巴教授历经千万个小时用超精确的物理剥除诠释了医术为何为艺术。
如果您也有想要分享的经历或者无法解答的疑惑,欢迎留言。


