非常感谢您!您让我解决了我最担心的一个问题,又让我能够重新回到我的职场上,让我的生活又恢复到正常。

这位神采奕奕的女性,是48岁的邓女士。精致的妆容、时尚的短发,自信的笑容——若不是她亲口讲述,谁都不会想到,一年多前,她的大脑深处还藏着一个被称为“不定时炸弹”的海绵状血管瘤,并做了开颅手术。虽然它的名字里带了个瘤字,但其实海绵状血管瘤是一种血管畸形病变,并不是肿瘤。其实这个病绝大多数是可以通过手术达到良好预后的。
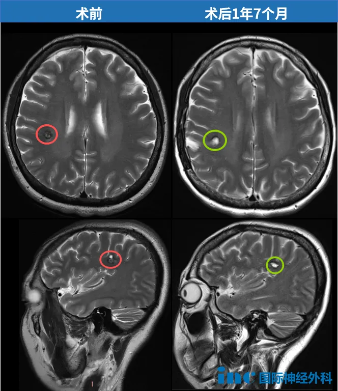
“影像结果非常好,病灶已被完全切除,没有任何副作用。”巴教授在随访中再次让她确定自己已经好了。“下次MRI复查可以至少两年后再做,也就是2027年底。届时我也非常乐意再次为您评估影像。她可以认为自己已经完全从先前的问题中痊愈了!”

(巴教授随访截取)

1年前,被疾病裹挟的我,只想彻底解决问题
时间倒回2024年3月1日。一次体检,却在邓女士的右脑额叶深部,发现了一个约8毫米的海绵状血管瘤。位置较深、紧邻功能区——多位专家给出了一致的建议:“暂不手术,定期观察”。
但疾病不等人。作为掌管多家企业的女强人,她每天要处理无数事务,还要频繁跨国出差。无预兆的眼前漂浮物时不时出现;工作一忙,下午就会头痛。更让她焦虑的是,医生的一句话:“这个位置的血管瘤,极易引发癫痫。”
“如果出血怎么办?如果我在三万英尺的高空突发癫痫,该怎么办?”这个念头,让一向冷静果断的她夜不能寐。
她需要的不是等待,而是一个能彻底解决问题的方案。
辗转多地咨询后,她遇到了巴教授。面对这个被多位专家判定为“风险过高”的病例,巴教授基于丰富的经验和精准的评估,给出了不一样的答案。更难得的是,巴教授即将来华进行示范手术。
“看过巴教授的手术病例,然后收到他的咨询报告后,我很完整的大概看了15分钟,我就决定手术了!”

从发现到手术,不到一个月。“天时、地利、人和”——2024年3月28日,在巴教授中国行期间,这台手术顺利完成。
术后,恢复惊人的她
开颅术后2小时,麻醉刚清醒,47岁的邓女士(化名)激动地用英语说出自己的术后感受,重新露出了大大的笑脸——“I believe you,it’s a very(我很信任您,这是一个非常)就是正确的选择。”
手术第1天,顺利出ICU,转入普通病房,交流顺畅、肢体活动正常,恢复良好。“我的手有力量,Thank you very much!”此时的邓女士回归了往日的健谈、声音洪亮、神采奕奕。术后第2天,邓女士表示已经可以自主下床活动,“已经可以走来走去”,巴教授查房用中文为邓女士点赞。
术后第4天,邓女士已经下床,正常吃饭,“刚刚喝了家里带来的鸡汤”,病房的小饭桌上摆满了邓女士术后的营养餐。手术切口也恢复的非常好。“巴教授的水平非常高了!”笑意盈盈的邓女士向巴教授表达感谢。

5天后,邓女士分享了自己的人生哲学……
我48岁,如果我现在是68,我有可能就不做这个决定,因为我希望我的下半辈子,是能够过得有生活质量的,我不管是事业还是生活,我是希望能够多姿多彩,我不希望永远提心吊胆,我也不希望我就躺在(病床上),就是过一些很平庸的日子,这不是我想要的,既然我不想要这样生活,那我就可以很坦荡的去接受,手术可能带来的一个风险。
为什么我会这么快速的决定,我觉得我的生命还是由我自己做主,所以这是我的决定。应该说我不会像别人等到事情严重了或者是逼不得已了再去做一个选择,其实那个时候是没有选择的选择,所以我希望大家能够在有选择的时候,不要太犹豫跟纠结。
因为每件事情你没有经历过,你真的不知道未来会发生怎样。当然我在这个过程当中,会碰到非常大的阻力,来自家人,也包括自己的害怕。我最后是成功战胜了,也战胜了自己的恐惧。
术后近4个月时,邓女士已经基本恢复了术前的生活和运动。“在3个月的时候,我已经到日本出过差,包括工作、运动都已经恢复。我如果不手术我将来的生活我是能够看得到的。那这个生活是不我不想要的……”
后记,继续做那个闪闪发光的自己
如今,邓女士不仅完全回归了事业,更找回了那个从容、自信的自己。“是巴教授精湛的技术,给了我第二次生命。”她说。
有些选择,改变的不只是健康,更是整个人生的轨迹。对邓女士而言,那个春天的决定,让她在将近两年后的今天,能继续在自己热爱的领域闪闪发光。


