海绵状血管瘤是一种少见的血管畸形,意味着血管的异常。海绵状血管瘤可以发生在身体的任何部位,但通常只会对大脑或脊髓造成威胁。当它在大脑中发生时,它被称为大脑海绵状畸形,简称CCM。脑海绵状血管瘤可能会保持稳定数十年,根本不会引起任何症状。有些人只是因为其他原因,比如车祸或其他伤害(“偶然”的发现),在做核磁共振扫描时,才发现自己有海绵状的畸形。对于这些患者,可能根本不需要治疗。
海绵状血管瘤或血管瘤或海绵状瘤是中枢神经系统的良性血管畸形,属于隐匿性血管性脑损伤,通常在成年时出现。随着计算机断层扫描(CT)和磁共振成像(MRI)的出现,这些病变越来越多地在儿童身上发现。本文报告两例儿童较大海绵状血管瘤及其治疗情况。
案例报告:手术全切后均预后良好,随访无癫痫复发。
案例1
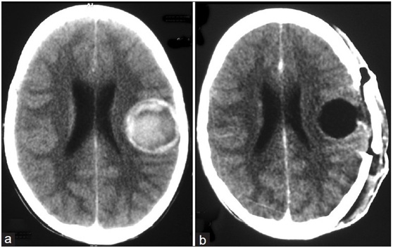
一名13岁男性儿童,有多次全身性强直阵挛性癫痫发作及头痛持续三个月之病史。没有局灶性虚弱的病史。他的全身检查很正常。从神经学上讲,他是有意识的,警觉的,对时间、地点和人有方向感。脑神经正常。运动和感觉检查正常,无局灶性神经功能缺损。血液检查正常。CT平扫大脑可见界限清楚的病灶(大小4.2×4.5 cm),位于左侧颞顶区内侧高密度区,呈团块效应[图1a]。根据这些发现,诊断海绵状血管瘤与癫痫发作。患者行左颞顶骨开颅术,包括周围胶质组织在内的病灶完全切除[图1b]。这名儿童在一年的随访中表现良好,没有任何癫痫复发。

图1 :(a) CT平扫显示左侧颞顶区病灶清晰,有出血迹象;(b) CT随访显示完全切除
案例2
一名9岁女童有多次全身性强直阵挛性癫痫发作及头痛持续6个月之病史。没有局灶性虚弱的病史。她的全身检查很平常。从神经学上讲,她是有意识的,警觉的,对时间、地点和人有方向感。脑神经正常。运动和感觉检查正常,无局灶性神经功能缺损。血液检查正常。CT平扫显示左侧额叶深部钙化灶。MRI脑T1、T2、FLAIR像显示左额叶深部异质性病变[图2a和b]。数字减影血管造影正常。根据这些发现,诊断海绵状血管瘤伴顽固性癫痫发作。患者行左额部开颅术,病变完全切除(5×4cm大小),包括周围的胶质组织[图2c]。组织病理学诊断为海绵体瘤[图3]。这名儿童在9个月的随访中表现良好,没有任何癫痫复发。

图2 :(a)和(b) MRI T1W、T2W轴位图像显示混合信号的网状重要,代表不同退化状态的血液,注意T2W图像(b)中含铁血黄素的低聚晕,(c)与周围胶质组织完全切除病变的照片

图3:显微照片显示较大的海绵状血管瘤,有大量的扩张内皮衬里的可变大小的血管通道,没有壁肌或弹性纤维嵌在胶原组织的基质中。同时注意周围神经实质内的相关神经胶质增生、钙化和含铁血黄素沉积。
脑海绵状血管瘤完全切除可恢复正常生活
海绵状血管瘤常见于30 ~ 50岁的成年人。虽然这些病变的大小通常在9至20毫米之间,但也有文献报道较大的病变。与成人一样,在儿童中,常见的病变是局灶性或全身性癫痫,继之以海绵状血管瘤引起的脑出血和局灶性缺损。然而,这些少见的病变在临床上可能是无症状的,这是由于它们位于“无症状”的皮层区域,是额叶。较大的海绵状瘤在临床、外科或组织病理学表现上与正常大小的海绵状瘤有相似的特征,尽管这些特征在放射学上可能有所不同。如果病灶位置较好,较好将病灶完全切除,包括切除较大的海绵体。据报道,病灶切除术后癫痫发作预后良好,大部分病例癫痫控制好转;然而,对于顽固性癫痫患者,可能需要术后辅助治疗。
凶险的脑干海绵状血管瘤能否手术?德国巴特朗菲教授给出详细解答
脑干位于一个关键的区域,对许多功能都很重要,例如视力、运动、吞咽和其他功能,神经组织在脑干中是如此紧密,即使是很小的范围内。即使只有3、4、5毫米损伤,也可以带来一些临床症状,比如造成神经功能缺损。在什么情况下,脑干区的海绵状血管瘤需要手术切除?关于这个棘手的问题,巴特朗菲教授在接受INC国际神经外科采访时表示:在很多情况下,病人因为一个小事故接受了核磁共振检查,他们可能,骑自行车或做一些运动时摔倒,然后医生建议做核磁共振检查,然后在核磁共振检查期间,有时我们可以在大脑的任何部位,甚至脑干,发现海绵状血管瘤的病人。这些患者可能从未经历过海绵状瘤的任何症状,在这种情况下,我们通常不手术,因为这些海绵状血管瘤可超过10年或20年保持不出血。我认识一个海绵状血管瘤的病人,现在已经快30年了。大约30年前他有过一次出血,从那以后,再也没有二次出血,针对这个情况,我们不会选择手术。但是我会建议手术的情况是,全部出血和存在神经系统问题或严重症状的病人,可能是二次出血,也可能是三次出血。全部这些病人都应该接受手术。
作为INC国际神经外科医生集团旗下国际神经外科顾问团(WANG)成员,巴特朗菲教授曾多次来华为国内脑肿瘤患者实施高切除手术,多名患者因此实现了较大水平切除乃至全切,从而达到了较大水平地恢复,部分脑干海绵状血管瘤病人获得痊愈。新华社、 解放日报、新安晚报等国内主流媒体也曾对部分病例进行过报道。手术的“高切除率”意味着术后良好的预后和更高的生活质量。巴特朗菲教授在其所在医院德国INI国际神经学研究所平均切除率在90%甚至以上,经其手术得以获得较大水平功能恢复和较好预后的国际各地患者数不胜数。
作为国内外神经外科学术交流的促进者,自成立以来,INC国际神经外科医生集团曾多次组织旗下的国际教授来华举行学术沙龙,并为部分有需求的国内脑胶质瘤、脑海绵状血管瘤、听神经瘤、脑膜瘤、垂体瘤、脊索瘤、脊髓肿瘤等脑肿瘤患者开展面对面咨询,为他们提供国际水平的咨询策略和手术方案,对于患者而言,这将是他们获得更长生存期和更高生活质量的新选择。
资料来源:Asian J Neurosurg. 2012 Oct-Dec; 7(4): 220-222. doi: 10.4103/1793-5482.106660


