一对年轻夫妻、一位心系女儿的母亲,跨越1400多公里,一家人从香港到苏州,只为切除一个良性的脑部血管畸形。
一个“良性”病变,至于如此大费周章吗?
“我是出过一次血,就不想二次出血,很害怕二次出血。我那两个月都不敢推门,我老公帮我推门,觉得这样下去人生都没意思了。叫我不能大声说话、打喷嚏可能都会出血,感觉这样人生都没用了,我就一直在那里大声哭。就这样坚持了两个月。我从香港过来,香港没一个医生有把握能不偏瘫、面瘫,所以我们才来这里找巴教授。
“术后醒来一件事就是动动手脚、眼睛,摸一下脸有没有面瘫。都很好,真的太神奇了巴教授。巴教授是我们女儿的救命恩人,我们现在很放心的。我感到很开心,我真的是太幸运了。真的感谢巴教授,很厉害的,真的救了我们,救了大家。”
——脑干海绵状血管瘤患者及家人佩珊亲诉
“巴教授您太帅了,I love you!"
顺利全切脑干海绵状血管瘤手术回顾
2023年巴教授9月中国行期间,一场疑难脑瘤示范手术成功拯救了年轻的佩珊于病魔的阴影之中。经INC巴教授成功手术后,不仅得到了全切,且较害怕的偏瘫、面瘫等也没有发生,也不需要后续放疗辅助,在ICU待了一天就出来了。这个结果对37岁的脑干海绵状血管瘤患者佩珊来说也是幸运之神降临。术后3天,巴教授查房时,佩珊看到前来问候查房的巴教授时,手舞足蹈、开心比心。兴奋的她激动得对巴教授“表白”感谢:“巴教授您太帅了,I Love you!巴教授也跟佩珊开心得比心。她的治疗路上充满挣扎和痛苦,但更多的却是驱散黑暗的明媚阳光。

巴教授的手术技术及来华示范教学手术的时机、一家人的当机立断……“天时地利人和”,多方原因促成这台的“生命禁区”手术。
他们在多方查询下了解到INC巴教授,在联系了INC之后,和很多患者一样,不知道巴教授是否真的可以成功手术。但当9月23日远程咨询完得到了巴教授能够顺利为自己全切手术的自信回复。”如果我进行手术,不会发生偏瘫""我对这种脑干病变有丰富和长期的经验,我很清楚如何避免这种缺陷,包括面瘫"。
巴教授的回答让佩珊终于在黑暗中找到了希望,这是和她之前得到的回复完全不同的。尽管尽快手术的评估又让她感到紧张,但是教授对于手术的信心让她充满期待。9月28日,一家人从香港远赴而来苏州,在9月30日成功手术。
遇见巴教授是很多患者的幸运,然而能够在短短8天里做了手术决定,并且做好了手术准备,完全摆脱病魔,是佩珊和家人一直以来清晰的治疗思路的结果,虽然从患病以来一直笼罩在脑干出血的阴影之中,但是佩珊并没有被这种恐惧打倒选择贸然手术。而是一直寻求能为自己顺利手术的医生,希望术后能够正常生活。

我们遇到很多像这样的患者,巴教授用“术”对抗病魔和痛苦,为病患打开一扇“生的大门”。佩珊术前由于害怕出血,不敢推门、不敢大声说话、不敢打喷嚏;又害怕出现偏瘫、面瘫等术后并发症;抑郁、焦虑、恐惧如乌云笼罩,让这个年轻女性原本幸福的生活如履薄冰。手术后的佩珊,扎起了俏皮的马尾,脸上露出了久违的笑容,如同小姑娘一样青春活力、神采奕奕,一扫术前的疲惫不堪与心力交瘁。
希望能为他们多做一些,用微小的值得,换取充盈的希望。愿全部患者都能如佩珊一般幸运
术后3天时,让我们一起从佩珊的亲身讲述中走进她的治疗之路,也听听她内心较真实的感受……
“巴教授真的太神奇了!”
佩珊采访亲诉治疗心路历程
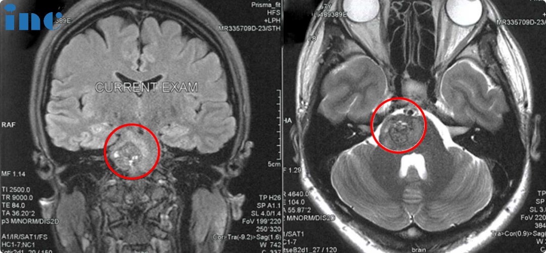
人们常说病来如山倒,脑干海绵状血管瘤就是这样一种良性,但是却能消磨人的意志,夺去你生活的希望,将你拉进痛苦深渊的疾病。脑干,无论手术还是不手术,都存在致残风险,应该如何选择治疗方案呢?还能回归健康生活吗?
“我为什么会患上这样的病?难道以后真的要等到偏瘫、面瘫以后才能手术?往后余生都要在疾病的煎熬中度过?无法像正常人一样生活……”虽然爱人一直陪伴在旁,但是此时的佩珊内心就像胡乱捆绑的麻绳杂乱无章,焦虑的一刻都无法放下,想到脑干海绵状血管瘤可能随时出血,她惊慌失措、恐惧害怕,流下了无助的眼泪……
佩珊术前是什么情况?有出过血吗?
佩珊:出过一次,大概7月31号。出血后就没力气了,在香港当地医院做核磁,发现脑干那里出血了。出血后左边身没力,左边脚没力。后面就慢慢恢复了。我是出过一次血,恢复了全部正常,就不想出二次血,就很怕出二次血。
香港那边的医生是怎么跟你们评估的呢?
佩珊:不敢做,那边的医生都说做了会偏瘫、还会面瘫。他们说一开始出过血,二次有60%的机会再出血,他都会判断。我就想我说我不想一辈子都是要保守,我说我想做,他们也叫我不建议做。他说我这个地方风险很大,如果你准备好心态,如果做了有偏瘫、面瘫,你能接受就可以做,我肯定不敢。
就是很害怕,就觉得香港那边的医生就说的你等等。他说可能你打个喷嚏很大声,它可能也会爆(脑干海绵状血管瘤出血)。我连那两个月都不敢推门,我老公都是帮我推门,觉得我人生都没意思了。叫我不能大声,我就一直在那里大声哭了,心想爆死了算了。叫我吃止血药,我看了几个医生,有那一个医生一直要我坚持吃止血药。我每个月去看一次,光一次看病都几千块,他又要开药给我吃。我也不经意听清几个医生说,有些都说吃了也没有啥用,我后面也没吃了,所以都是说没办法等着他爆了再做,等它严重了可能瘫痪了你才去医院,他才敢帮你做。所以我现在这样子,已经很幸运的。
您是如何找到INC?找到巴教授的?
佩珊:在网上看了巴教授,只有他让我有信心。我是先联系你们INC,因为刚开始在网上看也不知道信不信得过。跟巴教授视频过以后,就觉得是他了。还有网上我也问了,在小红书上问了也有很多人,找了有3个人也在巴教授这里做的,有一个女孩子也说本身她已经有点瘫痪了,也找巴教授做完之后可以走路了。我现在做完我也说了,巴教授太神奇了。
您还记得当时教授对您评估是什么样的?
佩珊:就在网上看了巴教授才有了信心。刚来苏州还没做还是很紧张。现在做完一件事就是手脚那些眼睛摸一下那个脸,没事,就觉得好,真的太神奇了巴教授。真的是问过很多医生,在香港全部都不敢做,找了那些医生多厉害的那些做过手术也不敢帮我做。
他之前也说过可能有一点点面部无力,还有耳朵,因为我那个离耳膜还有三叉神经很近,有可能会听力有一点点影响。但是现在就出来完全没有,我就觉得好幸运,完全没有。巴教授回答我是不会面瘫跟偏瘫,我觉得是不是真的那么的厉害,真的没想到能够这样子。
巴教授术前是如何为佩珊评估的呢?
巴教授远程邮件评估:“我可以为患者完全顺利切除病灶。风险是已经由出血引起的感觉运动缺陷的暂时性的,轻微的听力缺陷和轻微的面部无力,然而,这些副作用无论如何都只是暂时的。手术后出现这种症状的风险可能是5-6%,如果确定是术后出现的,那这种缺陷在手术后1-3个月内得到解决”

除了远程视频,在手术开始的前一天术前谈话中,面对情绪紧张又兴奋的佩珊,巴教授也再一次用的评估给佩珊打下了一剂强心针,让她对手术充满了信心。
术前谈话评估:佩珊动情得回想起自己患病以来的至暗时刻,“我从香港过来,香港没一个医生能够保障不偏瘫、面瘫,所以我们才来这里找巴教授,我就是害怕会偏瘫。也很害怕本身的压力会带来不好的结果。我太紧张了,有点晕了,这两天老是哭”
感受到佩珊的恐惧,巴教授对佩珊再次说明”手术风险小,你不用害怕,会全切“巴教授也用中文告诉佩珊”在病房有两个女生我的病人,昨天以及前天的脑干部手术,你可以看一看。“一旁的INC随行医学顾问也告诉佩珊,这几天巴教授一直在做脑干海绵状血管瘤的手术,而且更复杂,效果都好。他们都只是在ICU待了一天就回到普通病房了。看到他们之后你会有更多的自信。

巴教授为佩珊演示佩珊手术的切口入路位置,届时只会剔除耳后的少量头发,佩珊可以保留自己的长发,不影响术后美观
随后在巴教授的带领下,佩珊见到了前几日巴教授顺利顺利全切手术的几位患者,这些术后的患者们也鼓励佩珊不用害怕,他们现在术后的状态都好。患病以来笼罩在佩珊心头的较大恐惧终于一点点消除,她准备好了和巴教授一起迎接这次挑战,并且有信心自己能战胜脑干海绵状血管瘤。这台手术究竟是何结果?佩珊真的会偏瘫、面瘫吗?
术后对比起来,您感觉怎么样?
佩珊:现在我觉得很好、很好,四肢完全正常。就感觉有点胀胀的,其他都没事,完全没问题。听力也很好,眼睛、复视什么都没有,走路那些也挺好的。我昨天都走路了,我就好想起来,待着反而难受,一天就起来,这个位置就紧,我现在动动多一点反而就没那么难受了。医生说要多走一走,锻炼一下。她昨天也起来坐,我喜欢坐着,不要躺着,越躺越觉得难受。感到很开心,幸运了,完全没问题,我真的是我刚睡醒我就摸一下脸有没有看面瘫,手脚都是用都没事,就觉得好幸运。
真的感谢巴教授,很厉害的,真的救了我们,救了大家。

术后佩珊和巴教授开心合影
“随时保持联系”
巴教授依然是手术后的坚强后盾
由于远在香港,佩珊和家人对于术后如何进行随访的问题也关心。INC工作人员也及时解答了佩珊相关的疑问。对于还在住院期间的患者,巴教授也关心,术后也会经常给中国手术团队提供一些意见,如何确定患者术后顺利康复出院。
术后INC也会保持和患者的密切联系,一旦患者有不同情况,可以通过INC联系到巴教授。通常情况下术后近期的一次随访会安排在术后3个月,患者可以发送复查的影像核磁,INC工作人员会发送影像和患者情况以邮件形式发送给巴教授进行术后评估随访。
得到了这样妥善的回复后,佩珊和家人更加放心了。现在他们已经摆脱了危险的脑干海绵状血管瘤,术后也有了巴教授作为他们的坚实后盾,他们相信以后会越来越好,目前佩珊术后状态很好,她的生活也会逐渐恢复到往常的幸福和欢乐之中。
采访后记
“幸运”,是佩珊访谈中较常提到的一个词。在对她的采访中,我们很难不被她的快乐所感染。
这是一场成功的冒险。之所以能成功,离不开丈夫和母亲的支持与鼓励、对巴教授的信任,较重要的是自己面对病魔时想要战胜的决心。
如今,巴教授一次次远赴中国进行示范教学手术,更多患者将有机会得到这位国际颅底脑干手术教授的亲自手术。我们相信这样“绝处逢生”的故事,会越来越多。


