什么时候做手术较好?对于胶质瘤患者来说,这是一个他们较为关心的问题,巴特朗菲教授曾在接受INC专访时这样回答这个问题,”越早越好。实际上胶质瘤从不停止生长,等待会让肿瘤变得越来越大,早期手术基本上是重要的。“
对于胶质瘤患者来说,“等待”所带来的大多只有恶果,只有及时调整治疗思路,寻求手术机会,尽快明确病理结果,才能为自己争取到更好的预后结果。2022年巴教授示范手术期间,一名年轻的21岁脑干-中脑顶盖胶质瘤患者张远就给我们做出了一个典范。
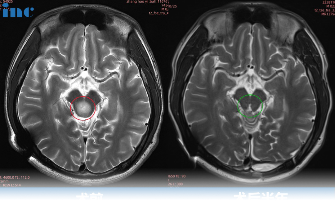
2021年2月张远不幸MRI检查出中脑顶盖占位性病变,疑似胶质瘤,较大直径约8mm,2022年8月张远病情再次加重,复查磁共振提示肿瘤增大,此时肿瘤较大直径12mm,2022年10月复查核磁提示肿瘤增大,自行测量肿瘤大小约18mm,两月内竟激增6mm!肿瘤越来越大,然而四处寻医的结果却是脑干位置风险太大,无法手术。但是家人并没有放弃,然后在2022年巴教授示范手术期间,巴教授顺利为张远近全切肿瘤。在巴教授顺利为张远进行近全切手术后,术后半年随访中,张远恢复良好,行动自如。巴教授查看了他的复查影像后回复道:


“附件随访检查的相关MRI切片。它们记录了中脑好的方面,没有肿瘤残留或复发。所以手术和术后放化疗似乎合适!
我很惊讶这个肿瘤是一个多形性黄色星形细胞瘤,因为这些肿瘤很少在那个部位出现,但这个诊断比高度胶质瘤好得多。我认为目前病人不需要任何不同的额外治疗,只需要观察。
目前看来,6个月后患者可能不需要长期化疗,我们将观察未来反复MRI对照的情况。”

张远术后病理报告为2级多形性黄色星形细胞瘤,多形性黄色星形细胞瘤是预后相对较好的星形细胞瘤,手术是延长预后和生存期的优选治疗方式,而张远的多形性黄色星形细胞瘤位置长在生命中枢-脑干,动刀手术已经实属一大难题,能得到巴教授近全切的效果已是万幸的结果。而回顾张远的治疗之路,我们也能看到,这份幸运也是他们不放弃、调整治疗策略的结果。
21岁有志青年中脑顶盖胶质瘤治疗回顾
21岁的张远(化名)是一名高校研究生,早在6年前就检查出无症状脑积水,当时由于没有症状,一直进行保守治疗。2018年底,正在读大学的张远突然出现剧烈头痛伴呕吐症状。反复头痛已经严重影响到正常的学习和生活,在19年进行了脑脊液分流术,术前磁共振检查提示中脑导水管狭窄,但并未发现占位性病变。分流术后症状消失,张远重新回到校园。然而,直到2021年2月,张远再次出现剧烈头痛伴呕吐,并有眼球向上运动困难,分流管调压后症状消失。
更可怕的是,于当地医院行颅脑磁共振检查,检查结果令医生大吃一惊。提示中脑顶盖占位性病变,较大直径约8mm。但是对于这个位置,当地医生也表示无法手术……

一直等、等,肿瘤不断增大,两月内激增6mm!
2022年8月张远病情再次加重,眼球活动受限,眼球向下运动困难,后脑勺偶然还会感到麻木或疼痛。复查磁共振提示肿瘤增大,此时肿瘤较大直径12mm,一年半内生长4mm。
然而,这个肿瘤不曾停止生长,2022年10月复查核磁提示肿瘤增大,自行测量肿瘤大小约18mm,两月内竟激增6mm!

肿瘤正以惊人的态势恶化,再拖下去,纵使是巴教授这样的颅底肿瘤教授,也无法为其手术。
这样一个情况是张远一家未曾想到的,下一步怎么办?
远程咨询巴教授:“病人不能等太久”
远程咨询巴教授报告回复:这个中脑肿瘤是有明确的手术切除指征,在近期一段时间内肿瘤尺寸不断增大。长时间等待只会给肿瘤更多的生长机会,并对脑干产生危险,从而(加重)影响患者的临床状态。我附上了2022年08月05日(前四片)和2022年10月11日(然后三片)磁共振截图。就在这两个月内,肿瘤的进展明显。

关于治疗方案,巴教授回复“较好的治疗方案是手术,目的是完全(全切)或几乎完全(98-99%)切除肿瘤,就像我以前对许多其他有类似病变的病人所做的那样。较好的手术时间大约在2周后,我可以在苏州提供手术。”
考虑到肿瘤进展迅速,张远及其家人决定争取巴教授2022年中国疑难脑瘤示范手术机会。
脑干-中脑顶盖胶质瘤巴教授苏州手术回顾
2022年12月3日,张远于苏州市独墅湖医院接受巴教授主刀的手术

任何一台手术,医生们都希望完全切除病变,同时在这一过程中尽可能地不损伤正常组织,综合考虑张远的病情后,巴教授联合独墅湖的神经外科团队,为他设计了手术方案。

来自神经外科、麻醉科的多名医生参与了此次手术,中德专家同台合作为张远的顺利保驾护航。

术前计划好,术中按计划,术后才能达成较好的效果!巴教授凭着四样东西判断肿瘤大小:打开之后通过肉眼去看;凭手中感觉,到底是硬还是软,质地如何,区分肿瘤边界;术中电生理监测区分边界;看心跳变化。几十年探究于脑干领域,巴教授早已对脑干这一“手术禁区”中如何较大水平顺利切除肿瘤有自己的“秘诀”,这台国际高难度的脑干手术终于顺利结束,实现近全切。
术后查房
术后一天教授查房时,张远意识清醒,能进行交流,术前担心的昏迷、瘫痪真的没有在这个大男孩身上发生。张远:”我想去普通病房。”术后二天张远也顺利转出ICU来到普通病房,进行进一步的恢复。术后两周多,张远顺利出院。

张远术后病理报告
术后一个多月,张远病理结果为2级多形性黄色星形细胞瘤,多形性黄色星形细胞瘤是预后相对较好的星形细胞瘤,巴教授对于后续的治疗也给出了相应建议,可进行后续的放化疗。术后半年再完成了相关后续治疗后,巴教授随访中也对后续治疗效果表示了肯定“手术和术后放化疗似乎合适!”“后续不再需要任何不同治疗”。20出头的他终于能够安心于学业,继续书写未来的人生画卷。
给脑干中脑顶盖胶质瘤患者们的建议
“我想先等等看”是治疗的一大误区!是否及时放化疗、是否手术解除占位损伤、手术是否造成严重神经损伤等,很多患者出现症状时不重视,只有颅高压症状如头痛头晕等不典型症状时,往往未及时就诊耽误了病情。也有很多患者四处求医,加上医院的各种等待时间及对患者的治疗的不清晰及犹豫,也会造成病情未得治而恶化。
目前多数脑瘤的治疗原则是,手术切除为主,放化疗为辅助,手术是放化疗疗效和预后效果的基础关键因素。手术切除程度对生存预后的有着重要影响。
脑干一度被认为是外科手术的禁区,到如今也有少数几个医生能较常规的成功开展脑干切除性手术,能很好的开展简单的脑干活检手术的中心都很少,同病在不同术者手里往往是不同的效果和结局。脑干手术对主刀医生的技术手法提出了很高的要求,手术专家的选择要看专家在该领域的擅长情况、切除率、手术入路、手术体位、相关成功案例、术中是否保留正常神经功能、患者术后生活质量、病友圈的口碑等。神经外科起源欧美,发展早于国内多年,国际上也有很多神经外科教授较为擅长复杂位置脑瘤手术切除,对于有条件的患者及家属必要时可把国内外的专家都纳入考虑范围,多多对比抉择。


