inc国际神经外科医生集团
导航
(爱恩希)INC国际咨询电话

脑胶质瘤

脑胶质瘤
当前位置:INC > 脑胶质瘤 >

胶质瘤症状在整个疾病发展过程中的症状发病率是多少?

神经胶质瘤 是成人中较常见的原发性恶性脑肿瘤。在美国,恶性神经胶质瘤的年发病率约为5 / 100,000,其中男性略占优势。尽管采用多模式治疗,但预后仍然很差,特别是对于胶质母细...

2019-11-27 17:07:46

科学家研究神经胶质瘤分子变化的动力学

直到最近,癌症仍被认为是一种单一的疾病,其亚型取决于其在体内的位置。详细分子分析的出现表明,情况要复杂得多,而且即使在单个肿瘤内也可能有许多亚克隆细胞群。合适治疗...

2019-11-25 18:59:07

质子治疗垂体瘤可行吗?质子治疗的可行性得到验证

垂体瘤 起源于腺垂体,约占全部原发性脑肿瘤的10%至15%。肿瘤分类除以大小和功能特征。由于肿瘤的大小而引起的疾病包括由于靠近视神经和海绵窦导致的视觉和神经缺陷。垂体瘤...

2019-11-22 17:08:16

研究人员发现了一种有希望治疗儿童致命脑胶质瘤的药物

研究人员制定了一项新的计划,针对一组致命的儿童期致命性脑癌,这些癌症统称为弥漫性中线 神经胶质瘤 (DMG),包括弥漫性桥脑神经胶质瘤(DIPG),丘脑神经胶质瘤和脊髓神经胶...

2019-11-22 16:51:28

神经电生理监测在小儿脑瘤手术中的作用

国内一个年仅5岁的儿童因视力不断变差,在医院被查出视 神经胶质瘤 ,并且病情已经很严重。随后访遍国内神经外科医院后,各家医院均表示这个位置无法手术,或者手术风险较...

2019-11-13 18:10:01

血液检测与AI程序人工智能程序相结合可以加速脑肿瘤的诊断

在2019年NCRI癌症大会上公布的研究显示,血液样本的化学分析,结合人工智能程序,可以加快 脑瘤 的诊断。 脑肿瘤 往往有不明确的症状,如头痛或记忆问题,而脑部扫描是目前诊断它...

2019-11-12 17:36:32

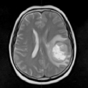
质子治疗胶质瘤是无创的吗?

胶质瘤 是一种原发性脑肿瘤,被认为起源于神经胶质干细胞或祖细胞。根据其组织学外观,传统上将其分为星形细胞瘤、少突胶质细胞瘤或室管膜瘤,并将其划分为WHO I-IV级,以此表示...

2019-11-11 21:29:51

出国看病:质子治疗星形细胞脑胶质瘤效果卓著

星形胶质细胞瘤 (astrocytome)是属于胶质瘤的一种,约占胶质细胞瘤的65%,是常见的。由于星形胶质细胞瘤长在颅内,其治疗方法一般都是以手术为主,但是许多患者都会恐惧开颅手...

2019-11-08 21:53:50

胶质瘤医生说不能手术,可以质子治疗吗?

胶质瘤医生 说不能手术,可以质子治疗吗?胶质瘤是较常见的原发性脑恶性肿瘤,可以发生在脑内的多种位置。特别是位于手术禁区的脑干、丘脑、脊髓髓内和其它复杂位置的胶质瘤,...

2019-11-08 21:47:09

研究人员发现了与1型神经纤维瘤病相关的胶质瘤侵袭性的新分子线索

研究人员报告说,他们对患有少见遗传综合征1型 神经纤维瘤病 (NF1)的人的肿瘤样本的研究发现了新颖的分子线索,这些线索提示那些患有NF1的较可能具有侵袭性,比如胶质瘤。研究...

2019-11-04 16:36:23

相关