曾经,海绵窦被视为神经外科的“手术禁区”——稍有不慎,就可能损伤颅神经、颈内动脉(ICA)或交感神经丛,导致灾难性后果。但如今,随着显微外科技术的发展和解剖认知的深化,手术切除此区域病变的并发症发生率已经明显减少。
然而,挑战依然严峻:海绵窦脑膜瘤(CS meningiomas)常像“藤蔓”一样缠绕颈内动脉,甚至完全包裹血管,导致20%的患者出现颈动脉狭窄。一旦血流受阻,患者可能突发意识丧失、记忆空白、偏瘫,甚至因脑缺血而危及生命!
面对这样的高风险病例,如何安全切除肿瘤?INC福教授团队不断探索——“先搭桥,再拆弹”!

在一例复发性非典型颅底脑膜瘤手术中,由于肿瘤已严重包绕颈内动脉,且患者曾接受放疗和开颅手术(颞浅动脉已闭塞),术中及术后极可能导致脑缺血灾难。为此,团队进行外科血运重建,采用“枕动脉-大脑中动脉(OA-MCA)搭桥术”,成功重建血流“生命线”,患者顺利接受肿瘤全切!

残留脑膜瘤放疗无效,又恶化
47岁女性,最初在外院接受左侧蝶骨嵴脑膜瘤切除,肿瘤向海绵窦(CS)广泛延伸。术后病理诊断为WHO Ⅰ级脑膜瘤,残留于海绵窦内的病灶接受分次放疗,总剂量50 Gy/25次。3年后,残留肿瘤明显增大,患者出现视力急剧下降、眼肌麻痹(动眼神经完全麻痹)及三叉神经第一支(V1)分布区感觉减退,遂转至福教授医院进一步治疗。

完全性动眼神经麻痹表现为:眼球向下和向外偏斜;完全性上睑下垂(即眼睑完全无法抬起);眼球无法内转(向鼻侧转动)、下转(向下转动)或上转(向上转动)。
鉴于放疗后短期内即出现复发,提示肿瘤生物学行为更具侵袭性,故拟行包括海绵窦在内的肿瘤整块根治性切除。由于肿瘤已包绕颈内动脉(ICA),且左眼功能因完全性动眼神经麻痹而丧失,目标是实现安全实施海绵窦内肿瘤及全海绵窦内容的根治性切除(图1)。

图1. 术前MRI示复发性海绵窦脑膜瘤,并侵及眼眶。
颈内动脉和与其表面粘附的交感神经丛穿过海绵窦,发出脑膜垂体干、海绵窦下外侧干,有时亦可发出McConnell包膜动脉或永久性三叉动脉。
根据影像学上颈内动脉海绵窦段受肿瘤侵袭程度来对海绵窦区脑膜瘤进行分级,即Hirsch分级。Hirsch分级1级:肿瘤粘连或部分包绕颈内动脉海绵窦段。2级和3级:病变完全包绕颈内动脉,其中,2级患者,在影像学上颈内动脉管腔无狭窄;3级: 在影像学上颈内动脉管腔有狭窄。Hirsch分级可作为肿瘤可切除性的一个重要指标。
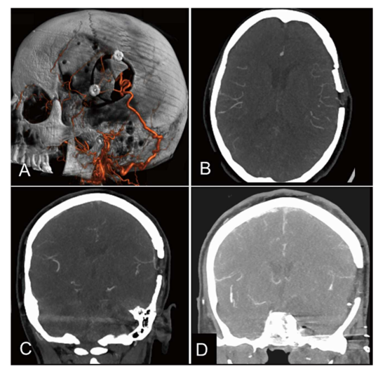
手术在全麻并持续监测运动诱发电位(MEP)的标准方案下开始。术后3天内行MRI及CT复查,未见新发缺血灶,肿瘤已获全切除。组织病理学结果提示:WHO Ⅱ级非典型脑膜瘤。
枕动脉-大脑中动脉(OA-MCA)搭桥示意图

A:外侧面观;B:左侧后外侧观。蓝色线:沿用原切口以显露既往骨窗,并补充开颅。绿色线:于上项线以上沿OA走向作略弯向乳突的线形切口以显露枕动脉。
搭桥术后1周行DSA复查,确认吻合口及移植血管通畅(图5)

图5.OA-MCA搭桥术后影像。D:肿瘤切除术后(搭桥术后1.5个月)即刻CTA示OA-MCA搭桥仍通畅。
搭桥术后患者神经功能障碍部分改善。于搭桥术后1.5个月(即血管内ICA闭塞后2.5个月)实施肿瘤全切除(图6)。

图6. 术后MRI示海绵窦脑膜瘤已获完整切除。
值得注意的是,肿瘤切除后1个月复查DSA显示搭桥流量较术前明显降低,但患者无任何临床症状(图7)。轻度肢体肌力减退逐步恢复,最终病情稳定出院,随访期间未见症状进展。

图7. 术后血管造影;A-C:搭桥术后1周造影示OA-MCA搭桥通畅。D-F:肿瘤切除术后1个月造影。整个术后过程中患者未出现新的神经功能障碍。


