岩斜区脑膜瘤患者首次手术后十年复发,虽经伽玛刀治疗维持八年稳定,肿瘤最终仍进展至海绵窦,累及多组颅神经,需再次手术。另一位中颅窝巨大脑膜瘤患者,因首次次全切除后残余肿瘤持续生长,即使补充放疗,肿瘤仍显著增大并包裹颈内动脉,导致永久性眼肌麻痹。这两例发表于学术期刊的案例,揭示了一个核心临床现实:颅底脑膜瘤的首次治疗决策,是走向治愈或陷入困境的关键分水岭。
脑膜瘤占成人颅内肿瘤的15%,通常为生长缓慢的良性肿瘤,可通过手术获得良好预后。全切术是脑膜瘤的首选根治性方案。位于大脑半球的脑膜瘤大多能完全切除,但邻近颅神经及重要静脉窦的颅底脑膜瘤手术挑战巨大。
因涉及重要神经血管结构,颅底脑膜瘤不完全切除较常见,常是为降低手术致残率的选择。尽管颅底手术技术进步已降低致残率对切除范围的限制,但激进切除肿瘤及硬膜附着点,牺牲区域血管和颅神经,仍是高致残率和死亡率的主要原因。

“手术风险大,我可以直接放疗吗?或者先切一部分,后续再补充放疗?”
这是很多颅底脑膜瘤患者的疑问。然而,临床现实往往比想象中更为复杂。当放射治疗失败后,部分脑膜瘤不仅会继续生长,甚至可能出现“报复性”快速增长,让治疗陷入被动。
真实案例警示:当第一次治疗未能满意
案例一:十年复发,步步被动
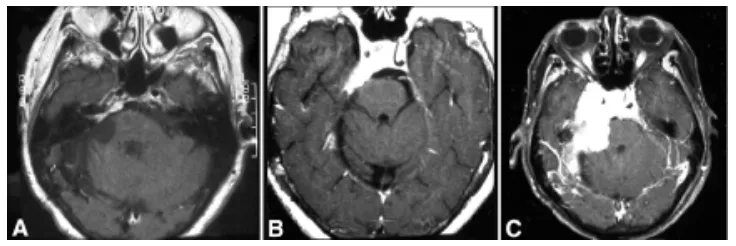
该56岁女性患者于1981年接受右侧蝶岩斜区脑膜瘤切除术。1991年(66岁时)随访MRI显示内听道内侧及上方出现小型肿瘤复发(图1A)。

图1.56岁女性患者,曾接受右侧蝶岩斜区脑膜瘤切除术,磁共振影像显示肿瘤进展。A:10年后随访影像显示内听道内侧及上方出现小型肿瘤复发,接受伽玛刀治疗。B:病灶稳定8年后,患者出现右侧面部感觉异常、面肌痉挛及进行性共济失调。C:2年后随访影像显示肿瘤进展。
患者接受伽玛刀治疗。影像学随访保持稳定直至1999年,出现右侧面部感觉异常、面肌痉挛及进行性共济失调(图1B)。2001年随访影像学检查显示脑膜瘤在过去两年显著进展(图1C)。肿瘤累及右侧岩斜缘,延伸至右侧海绵窦及视神经管,并填充蝶鞍,向左侧海绵窦延伸。临床再评估显示症状进展:右侧面肌无力加重,第Ⅲ、Ⅴ、Ⅵ对颅神经右侧不全麻痹,伴发声及轻度构音障碍。
患者接受经岩骨前入路显微镜下肿瘤切除。沿斜坡后方、垂体窝内及双侧海绵窦发现残留脑膜瘤。因部分肿瘤组织与脑干粘连紧密,切除范围受限。术后患者定期随访监测。
案例二:多次治疗,肿瘤仍“失控”
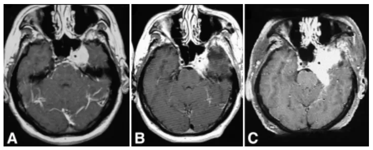
48岁男性,完全性眼肌麻痹(第Ⅲ、Ⅳ、Ⅵ对颅神经受累)伴三叉神经第一支分布区感觉减退。磁共振成像显示左侧中颅窝巨大强化占位(4.5×4.5×4.0厘米),累及海绵窦,压迫海绵窦段颈内动脉及蝶鞍,向前延伸至视神经管,向后进入左侧环池(图2A)。血管造影显示肿瘤压迫致左侧颈内动脉狭窄。

图2.48岁男性患者,表现为眼肌麻痹伴面部感觉减退,磁共振影像显示肿瘤进展。A:左侧中颅窝占位,主要累及海绵窦。B:行次全切除术。3年后MRI显示残余肿瘤进一步生长,遂行放射外科治疗。C:放射外科治疗4年后肿瘤显著生长,行再次切除术。
经眶颧入路切除左侧海绵窦脑膜瘤过程中,因球囊闭塞单光子发射计算机断层扫描显示皮层灌注缺损,未对颈内动脉壁的侵袭性肿瘤进行激进切除。术后即刻MRI显示左侧海绵窦残留肿瘤大小为1.8×1.5×1.0厘米,9个月后增大至2.2×2.3×3厘米(图2B)。3年后随访MRI显示残留肿瘤生长,遂行放射外科治疗。
放射外科治疗4年后,常规随访显示肿瘤显著增大至5.5×5.0×5.0厘米(图2C)。MR血管造影显示海绵窦内左侧颈内动脉因肿瘤包裹而狭窄。患者经左侧眶颧开颅再次手术,显微镜下切除复发性脑膜瘤的颞下及颅内部分。患者术后无新增神经功能缺损,但左侧完全性眼肌麻痹未改善。
研究揭示的严峻现实
除了这两个案例,INC国际神经外科医生集团旗下组织世界神经外科顾问团(WANG)成员、世界神经外科学院前院长William T.Couldwell教授在论文中《Patterns of skull base meningioma progression after failed radiosurgery》,共研究了13例良性颅底脑膜瘤(世界卫生组织I级)病例,这些病例在放射外科治疗作为主要或辅助治疗后出现进展。一些肿瘤在放射外科治疗后立即表现出快速生长,一部分延迟进展。无论发生的时间间隔如何,肿瘤一旦开始生长就可能非常具有侵袭性。研究发现一些患者在放射外科手术失败后,颅底脑膜瘤生长可能呈侵袭性,并且治疗失败可能会在治疗后很长时间内发生。鉴于接受良性肿瘤立体定向放射外科手术的患者数量不断增加,必须特别注意此类重大事件,并且必须对放射外科手术后的所有患者进行仔细的长期(>10年)随访。

图3.肿瘤生长随时间变化示意图。曲线显示初始次全切除术后肿瘤体积变化,经放射外科治疗(星号标记)后,最终行二次切除术。
为什么“第一刀”如此重要?
在神经外科领域,尤其是颅底脑膜瘤手术中,“第一刀”是决定患者长期预后甚至生命质量的关键所在。第一次手术做的好与不好直接决定了这个患者的预后。为什么“第一刀”如此重要?
1、解剖位置的特殊性决定了手术的极高难度。颅底是大脑与颅骨连接的“交通要道”,这里密布着控制视觉、听觉、面部表情、吞咽功能的关键神经,以及为大脑供血的主要血管。任何细微的损伤,都可能引发灾难性后果:伤及大血管可致致命性出血或脑卒中,触及颅神经或脑干则可能导致失明、面瘫、呼吸困难乃至昏迷。
首次治疗时,脑内的解剖结构比较清晰,手术中医生在手术时,对肿瘤和正常组织容易区分,肿瘤切除率高,神经血管保护较好。但如果因为肿瘤残留或复发要再次手术时,脑内存在大量的粘连与瘢痕,肿瘤的辦认与分离会比较困难。常常导致肿瘤切除不满意,或者这也就是为什么有时候反复手术的脑肿瘤患者,效果一次比一次差。
2、首次手术尽可能切除是预防复发的良好机会。若第一次手术切除率低,肿瘤难免复发,手术难度也进一步增高。如果能在首次手术尽可能切除,则后续的放化疗将有良好基础,复发周期将大大延长。而多次不彻底的手术以及盲目的放疗,并不能根本解决问题。
首刀失败,意味着什么?
1、肿瘤快速复发:如果残留过多,复发在所难免。
2、治疗难度增加:术后粘连与结构改变,使二次手术如履薄冰,切除率下降,神经损伤风险升高。
成功的手术只有一次,如果做坏了就是坏了;如果是只切除一部分,那第一次手术可能就是“白挨一刀”,痛苦和后遗症都是无法想象的,因为迟早还要再做一次。到底是要完美轻松愉快的一次解决,还是要走弯路下深渊然后再回头来,后悔莫及……


