INC国际儿童脑瘤大咖、世界小儿神经系统知名杂志《Child´s Nervous System》现任主编Concezio Di Rocco教授等2009年发表研究《5‐YEAR‐OLD BOY WITH A CLIVAL MASS》,该病例报告了首例发生于儿童斜坡区的上皮样肉瘤(以论文发布时间为基准),通过详实的临床、影像学与病理学资料完整呈现了该罕见病变的特征。此案例扩展了斜坡及儿童颅底肿瘤的鉴别诊断范围,并为该部位上皮样肉瘤的诊治提供了重要参考。


该5岁男童因颅内高压病史1个月,随后出现神经功能缺损症状,收入Di Rocco教授所在医院。症状初始表现为乏力、头痛、恶心和易激惹。随后出现右眼上睑下垂和眼球外展运动障碍。
神经影像学表现
神经影像学检查显示斜坡骨质破坏性病变,位于蝶鞍平面以下,伴巨大软组织成分向颅内扩展。病灶呈实性、分叶状,信号均匀,明显强化,T2信号相对较低提示细胞密度高。平扫CT(图1A)显示斜坡广泛骨质破坏,病灶位于斜坡中心(箭头),无骨性或软骨样基质。磁共振成像(MRI)显示病灶信号均匀,平扫T1加权像呈等信号(图1B),T2加权像呈低信号。病灶呈均匀强化(图1C)。MRI进一步显示该分叶状实性肿块取代了蝶枕软骨结合周围斜坡脂肪骨髓的正常高信号(图1B箭头),向背侧扩展至桥前池,压迫脑桥(图1B箭头),并侵犯右侧海绵窦,部分包绕颈内动脉。

图1
外科治疗与术后病程
采用内镜下经鼻蝶入路切除病灶。手术入路包括双侧内镜下经鼻后筛窦切开术和蝶窦切开术,以显露斜坡上1/3。切除右侧斜坡部分骨质后,显露肿瘤并分块切除,直至显露基底动脉干和腹侧脑干。病灶主要由柔软、有弹性且血供丰富的组织构成,部分区域质地坚硬、血供较差(类似软骨组织)。由于手术视野狭小且存在损伤基底动脉的风险,仅实现了部分切除。术后病程平稳,术前症状迅速消失,术前神经功能缺损逐渐改善。未出现脑嵴液漏。仔细的转移性检查未发现颅外原发肿瘤证据。
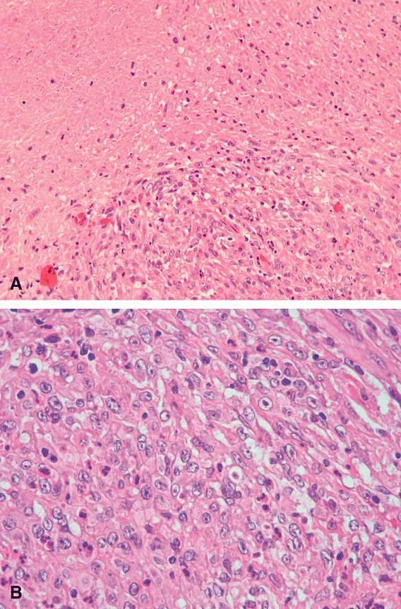
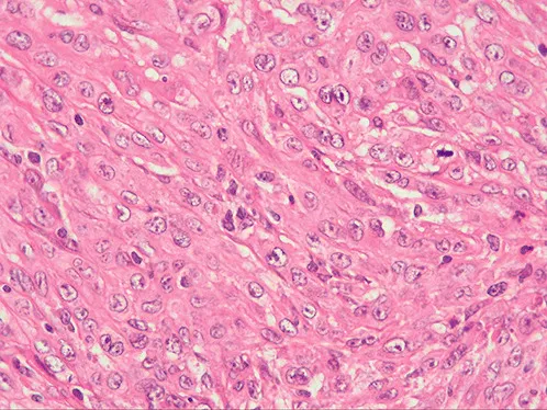
显微镜下病理学表现
组织病理学检查显示肿瘤由梭形细胞和横纹肌样细胞构成,细胞胞浆丰富、嗜酸性,核圆形,核仁明显,可见大量核分裂象(图2A、2B和图3)。肿瘤细胞形成结节状聚集,由纤维炎性间质分隔。可见多处地图样坏死区域(图2A)。

图2

图3
免疫组织化学染色显示,肿瘤细胞表达波形蛋白(图4A)、细胞角蛋白8/18、细胞角蛋白AE1/AE3(图4B)和上皮膜抗原(EMA)(图4C)。胶质纤维酸性蛋白(GFAP)、S-100、胎盘碱性磷酸酶、甲胎蛋白、CD-117、CD-34和CD-31均未表达。BAF-47抗体(INI1失活)免疫组化染色显示肿瘤细胞核不表达,而炎性细胞和成纤维细胞核正常表达(图4D)。Ki67抗体评估的增殖指数超过40%(图4E)。

图4
讨论
上皮样肉瘤于1970年首次被描述,占软组织肉瘤的不到1%。它起源于能够表达上皮和间叶免疫表型的多潜能间叶细胞,通常表现为缓慢生长模式。上皮样肉瘤更常见于上肢,通常累及青中年男性的四肢(手和腕部)。这种"经典型"上皮样肉瘤由梭形至圆形和上皮样细胞组成,伴坏死区域。最近报道的"近端型"变异型具有更高的侵袭性,好发于近端中轴和深部区域。在最近的一项研究中,通过实时定量PCR分析和免疫组织化学检测,在近端型变异型中发现了INI1基因的频繁缺失。在本病例中,由于病灶位于脑外和硬膜外,排除了非典型畸胎样/横纹肌样瘤(AT/RT)。此外,基于细胞形态学和广泛地图样坏死的存在,上皮样肉瘤的可能性大于肾外横纹肌样瘤。
尽管生长缓慢,上皮样肉瘤倾向于局部播散,浸润区域淋巴结,可表现为多结节性和/或转移性疾病。报道的复发率高达70%。治疗主要采用广泛局部切除,随后辅助放疗;然而,生存优势差。
据我们所知,这是首例累及斜坡的儿童上皮样肉瘤报道。该部位的肿瘤需要与多种疾病进行鉴别诊断,且与成人不同。在本病例中,神经影像学表现提示嵴索瘤、颅咽管瘤或横纹肌肉瘤是最可能的诊断。软骨肉瘤、淋巴瘤、侵袭性脑膜瘤、浆细胞瘤和转移瘤在该年龄组中可能性要小得多。
然而,病灶的神经影像学特征并未能提供明确的初步诊断。实际上,虽然部位和年龄与嵴索瘤的首选诊断相符,但神经影像学并未显示此类肿瘤常见的其他表现。虽然颅咽管瘤是儿童期的典型肿瘤,但基于斜坡受累、缺乏典型信号异质性和无囊性成分,在影像学上被排除。另一方面,横纹肌肉瘤难以排除,因为它通常表现为低T2信号和局部侵袭性,与本病例相似。
组织学评估显示肿瘤和免疫组织化学结果支持上皮样肉瘤的诊断。本报告将上皮样肉瘤纳入斜坡肿瘤和儿童颅底肿瘤的鉴别诊断中。
总结
上皮样肉瘤是一种罕见的起源于间叶细胞的肿瘤,通常累及青少年的四肢,在头颈部区域仅偶有发现。迄今为止,仅有一例累及中枢神经系统的病例被描述。我们报告一例5岁男童,斜坡巨大实性溶骨性病变,伴广泛软组织成分向颅内扩展,桥前池闭塞。组织病理学检查显示上皮样肿瘤细胞,胞浆丰富、嗜酸性,核圆形,核仁明显。可见地图样坏死区域和大量核分裂象。肿瘤细胞表达波形蛋白、细胞角蛋白和上皮膜抗原(EMA)。胶质纤维酸性蛋白(GFAP)、S-100、PLAP、甲胎蛋白、CD 117、CD 34、CD 31、BAF-47(INI1)均未表达。Ki67增殖指数超过40%。这些组织学发现支持上皮样肉瘤的诊断。本报告将上皮样肉瘤纳入斜坡肿瘤和儿童颅底肿瘤的鉴别诊断中。


