表皮样囊肿是罕见的先天性病变,起源于胚胎期神经管闭合过程中异位的表皮细胞。这些肿瘤生长缓慢,沿脑底蛛网膜下腔广泛播散。由于这种缓慢的进展过程,表皮样囊肿往往在出现症状前已达到相当大的体积。它们常围绕重要的神经血管结构生长,并可能与之紧密粘连。尽管如此,完全显微外科切除仍被认为是首选治疗方法。INC国际神经外科医生集团旗下组织世界神经外科顾问团(WANG)成员Henry W.S.Schroeder教授(施罗德教授)等2004年发表的研究《Endoscope-assisted microsurgical resection of epidermoid tumors of the cerebellopontine angle》,旨在展示内镜辅助下完全显微外科切除桥小脑角(CPA)表皮样囊肿的优势。

案例分享:桥小脑角(CPA)区表皮样囊肿
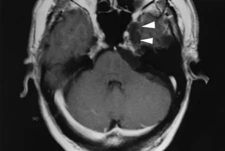
这是一个位于左侧桥小脑角(CPA)区和Meckel腔的表皮样囊肿。

轴位T1加权图像显示稍高信号病灶伴占位效应;箭头指示Meckel腔内的肿瘤。

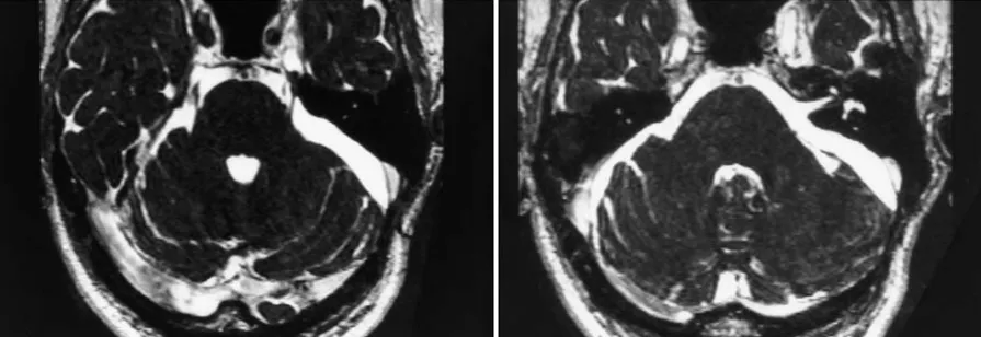
轴位CISS图像显示稍低信号病灶延伸至Meckel腔。

轴位CISS图像显示内听道前方和Meckel腔内的稍低信号病灶(箭头指示)。

手术显微镜下观察CPA内"珍珠样"肿瘤位于前庭蜗神经上方,覆盖三叉神经。

内镜辅助下双手操作(内镜由自固定装置固定)。

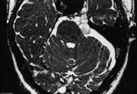
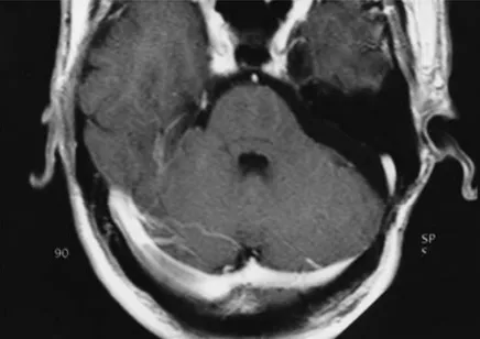
术后21个月轴位T1加权图像显示病灶完全切除,占位效应消失。

术后21个月轴位CISS图像显示无肿瘤残留或复发。
表皮样囊肿是良性吗?如何治疗?
研究分享

根据Obrador和Lopez-Zafra的报道,由于表皮样囊肿具有不规则结节状表面和珍珠样光泽,Cruveilhier将其称为"珍珠样肿瘤"。表皮样囊肿由薄层包膜组成,内含柔软的白色物质,这是上皮衬里渐进性脱屑和角蛋白分解的结果。这种物质富含胆固醇,具有蜡样质地,形成同心层状结构。由于囊肿内容物的质地和无血管特性,其清除相对容易。然而,包膜可能与神经血管结构紧密粘连,使得完全切除的尝试具有风险。
因此,许多作者建议完全清除囊肿内容物以缓解占位效应,然后切除未粘连的包膜部分。对于紧密附着于重要神经血管结构的小部分包膜残留,应予以保留,而非冒险导致神经功能缺损。我们同意表皮样囊肿手术的理想目标是肿瘤完全切除,但不能以神经功能缺损为代价。
我们的策略是尝试完全切除包膜。当包膜与关键神经血管结构紧密粘连时,我们保留粘连部分以最小化神经后遗症的风险。通常,在初次手术中只有小部分包膜无法安全切除。虽然包膜残留可能导致复发,但这将在术后多年发生。
Berger和Wilson报道,复发可能需要30至40年才出现,这一发现支持避免根治性切除的理论基础。在我们的病例系列中,我们观察到两例复发肿瘤,分别在术后15年和19年出现。这些病变被切除而未引起新的并发症,从而证实了文献中关于即使进行第二次或第三次手术也能获得良好功能预后的观点。
表皮样囊肿以线性速率缓慢生长,类似于人类表皮的生长方式,在引起症状前可能达到巨大体积。表皮样囊肿沿阻力最小的路径(正常解剖间隙和骨性管道)播散。Meckel腔常被CPA的表皮样囊肿累及;然而,它们不会延伸至内听道。表皮样囊肿常沿基底池通过小脑幕切迹从后颅窝延伸至中颅窝,或反之。由于占位效应,它们可能显著推移脑干,为肿瘤切除创造空间。
手术中通过使用30°或70°视角的内镜,可以安全地观察和切除隐藏在精细神经血管结构后方的肿瘤部分。内镜在观察和切除延伸至Meckel腔的表皮样囊肿方面特别有用。通过乳突后枕下入路,可以在不扩大骨窗的情况下切除这些肿瘤部分。
Perneczky和Fries开创了内镜辅助显微外科的概念。在显微外科手术中使用内镜可以减少骨窗大小,改善照明和视野,使外科医生能够观察重要神经血管结构的周围,从而消除或至少减少牵拉的需要。与显微镜相比,内镜提供宽视角,在脑深部具有卓越的照明效果,即使在高倍放大下也能增加景深。
INC施罗德教授提到在内镜视野下切除肿瘤部分而未使用显微镜;这被称为内镜控制显微外科。在此过程中,外科医生在观看监视器屏幕的同时操作常规显微外科器械。这种技术需要一定的训练,因为手眼协调在初期相当困难。然而,内镜是固定的,外科医生双手自由,可以像习惯的那样进行双手操作。为避免内镜插入后镜头起雾,我们在使用前将内镜置于37°C的无菌温盐水中。通过冲洗或擦拭清洁镜头。定期冲洗手术区域至关重要,因为内镜尖端可能变得非常热。当内镜位于颅神经前方时,必须进行冲洗以避免引起神经功能缺损。
磁共振成像是检测表皮样囊肿的首选诊断方法。然而,蛛网膜囊肿和表皮样囊肿的鉴别有时仍然困难。在标准T1和T2加权自旋回波MR图像上,表皮样囊肿常难以与脑脊液区分;因此,已研究了其他成像序列。液体衰减反转恢复成像、弥散加权成像和CISS序列已被推荐用于表皮样囊肿的特征化。根据施罗德教授的经验,CISS是检测表皮样囊肿的最佳序列;CISS成像可以清晰区分脑脊液,并准确显示病变范围。在CISS图像上,表皮样囊肿通常表现为不均匀、低信号、边界不规则的结构。尽管大多数表皮样囊肿在T1加权图像上相对于脑脊液呈稍高信号,但CISS序列能更清晰地显示这些病变。
结论
内镜辅助显微外科技术即使在病变部分无法直视的情况下也能实现安全的肿瘤切除。通过同一入路可以切除延伸至邻近颅腔的肿瘤,无需牵拉神经血管结构或扩大骨窗。


