得了脑瘤就没救了吗?
那段时间简直像一场噩梦。年仅32岁的我,以前身体一直很好,可突然间就开始头痛——不是普通的疼,是那种像有人拿着锤子往太阳穴里砸的剧痛,疼得我整夜整夜睡不着,吃药也很难缓解。更可怕的是随之而来的呕吐,到最后我甚至条件反射地惧怕进食,胃里翻江倒海的记忆让看见食物就发抖。但真正让我意识到巨大问题的是,我发现自己的记性越来越差...
做核磁共振的时候,机器轰隆隆的声音在密闭的空间里特别刺耳。我躺在那里一动不敢动,心里害怕极了。心里想着千万别出什么问题,没想到最担心的事情还是发生了。后来医生拿着片子给我看,指着那些黑白影像说这里有问题的时候,我的手一直在发抖。那时候我才真正意识到,原来这些要命的症状,都是脑子里那个肿瘤在作怪……幸运的是,手术发现这是一个良性肿瘤——“室管膜下瘤,全切就有望治愈。”这一刻,劫后余生的庆幸,我激动地都快哭了。

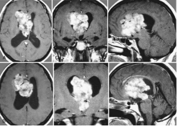
术前MRI
血管丰富的巨大肿瘤全切、无神经功能障碍
侧脑室内肿瘤并不常见,但因入路困难及毗邻重要的间脑结构,对手术技术是一个特别挑战。此处肿瘤一般是生长缓慢的良性肿瘤,直到体积很大时才被察觉。
侧脑室位于大脑深部,天然通路长、空间狭小,传统开颅需穿越大脑皮层或胼胝体方能抵达。为最大限度降低脑实质损伤,现代理念强调“沿自然裂隙/脑池”设计手术通道,这一哲学由 Yaşargil 与 Abdulrauf 率先提出并推广。核心目标在于避开所有功能区皮层及其深部投射纤维(运动、语言皮层,视放射,锥体束,弓状束及上纵束等),防止术后神经功能障碍。
侧脑室肿瘤大多良性、生长缓慢,有机会选择合适的手术入路。然而病人常以急性梗阻性脑积水或者肿瘤内出血起病,需要急诊外科干预。安全的肿瘤全切有益于改善患者的症状、防止肿瘤进展及复发。

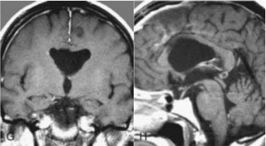
术中证实为一实质性、血供丰富的室管膜下瘤,经显微手术完全切除,术后MRI证实肿瘤全切,患者术后无神经功能障碍及其他并发症。

术后MRI
该案例来自于INC巴特朗菲教授的《Ventricular Tumors》
得了脑瘤都会头痛吗?这还真是不一定
据观察,约20%的脑肿瘤患者在就诊时有头痛,48%-60%患者在病程期间发生头痛。研究还发现,头痛更常见于较年轻的脑肿瘤女性患者。
脑肿瘤性头痛的特征通常是非特异性的,且因肿瘤部位、大小和生长速度而有很大的差异。头痛通常是双侧性的,但也可位于肿瘤同侧。幕上肿瘤侵犯到由三叉神经眼支支配的结构时,可能产生额颞部头痛,而压迫到舌咽神经和迷走神经的颅后窝肿瘤可引起枕项部疼痛。除了颅后窝肿瘤,头痛通常极少放射。40%-60%成人患者的头痛可伴有恶心和/或呕吐。相当一部分患者在体位改变时或劳力时头痛加剧。
虽然头痛是脑肿瘤的常见症状,但本身是相对较弱的预测指标,且脑肿瘤仅表现为头痛症状的情况很少见。在大多数病例中,脑肿瘤头痛伴有其他神经系统症状,如癫痫发作、乏力、认知功能障碍或局灶无力。
对不明原因的头痛,建议最好到医院做详细检查,如果是脑瘤或其他颅内病变,一般通过做颅部CT、磁共振等检查就能确诊。
室管膜下瘤究竟是什么?全切可治愈?
室管膜下瘤最早由Scheinker于1945年首次描述。这类肿瘤罕见,仅占全部颅内肿瘤的0.2%–0.7%。其为良性、生长缓慢的肿瘤,常附着于脑室壁,但不浸润周围结构,因此被世界卫生组织(WHO)分类为I级肿瘤。尽管最常见于第四脑室,但在高达40%的患者中可位于侧脑室。流行病学上,男性明显多于女性,男女比例约为2.3:1.
组织学上,肿瘤表现为形态均一的细胞核呈簇状排列,背景为胶质纤维丰富的基质,并可见小囊性变。CT表现为边界清楚的分叶状低密度或等密度肿块,常伴囊变,通常无明显强化。MRI显示为实性至囊性肿瘤,信号特征明确。
肿瘤临床表现取决于其位置及对脑脊液循环的影响,常因阻塞脑脊液通路而出现颅内压增高症状,典型表现为头痛、恶心呕吐、步态不稳或眩晕。随着现代影像学技术的普及,越来越多无症状病例被偶然检出。
对于影像学偶然发现的无症状患者,目前管理策略仍有争议。若随访中发现肿瘤动态增大或出现临床症状,则应首选显微神经外科手术切除。鉴于该肿瘤良性本质,大多数病例手术切除可治愈。
参考资料:脑肿瘤性头痛. UpToDate临床顾问.


