核磁上的一个小白点,意味着什么?对于KK一家来说,是一段长达数月的胆战心惊,死神好几次差点将5岁的孩子从家人的手中夺走,化疗、手术、新疗法轮番上阵,可孩子脑中的怪瘤却丝毫不受影响,甚至越长越大……

01.
漏看一个小白点
孩子在几天后病危
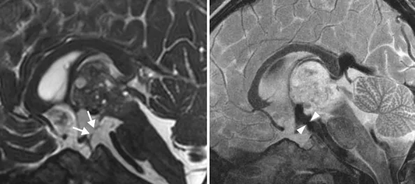
5岁的KK是家人手心的宝贝,却不幸生病了。起初是头痛和癫痫发作,家人带着他前往医院,头部核磁做了,但只发现了一个位于左侧额颞部的蛛网膜囊肿,而躲在三脑室的一个小白点,成功“躲过一劫”,没有被发现,而这也成为后续一系列不幸的开端……
10天后,KK情况并未好转,他再次因剧烈头痛和呕吐入院,但这次并未进行影像学检查,医生仅为孩子进行腰椎穿刺以排除脑膜炎,随后出院。没想到,短短8天后,KK的症状急剧恶化,这一次的核磁令全家人震惊不已,当初那个不起眼的小白点竟疯狂长大,变成了几乎要夺走孩子生命的“恶魔”——已造成导水管梗阻和脑积水。

02.
多种手段轮番上场
肿瘤只一味长大
随后,治疗即刻开始。“我们尝试在脑中放置外部脑室引流管,最终通过脑脊液检测揪出真凶,患儿确诊为恶性生殖细胞肿瘤。”
由于当地医疗资源有限,KK很快被转诊至上级医院,在这里,医生先移除了外部引流管,并进行了内镜下第三脑室造瘘术(ETV)和隔膜造口术,成功治疗脑积水。

由于内镜手术只是解决了脑积水问题,但那个可怕的肿瘤依然存在,始终威胁着KK的小生命。为此,医生立刻启动两个疗程的化疗,“但我们在化疗期间发现,患儿的肿瘤一直在生长,并逐渐阻塞双侧室间孔,我们讨论决定只能进行脑室腹腔分流术,这是当时挽救患儿生命的唯一方法。”
更令家属绝望的是,在随后的2个月里,即使KK经历了大剂量化疗和干细胞移植,但肿瘤仍在增大。

03.
INC施罗德教授手术全切
7年未复发
最终,KK再次被转诊至INC施罗德教授所在医院,教授为KK实行了开颅手术。毛骨悚然的是,等到看清怪瘤的真面目,众人都倒吸了一口凉气:“我们在他的肿瘤中发现了头发和牙齿样的物质,这提示我们这是畸胎瘤。”

术后,影像证实肿瘤被完全清除,KK恢复良好,无任何神经功能损伤。令人振奋的是,7年后的随访显示他健康如常,无复发迹象,脑积水也完全消失。这位5岁的小男孩再一次拥有了平安的人生。

INC国际小儿神外专家



