听神经瘤是一种良性的,通常缓慢生长的肿瘤,从平衡神经和供应内耳的听力神经发育而来。随着听神经瘤的生长,它会影响听力和平衡神经,通常会导致单侧(单侧)或非对称性听力损失,耳鸣(耳鸣)以及头晕/失去平衡。随着肿瘤的生长,它会干扰面部感觉神经(三叉神经),引起面部麻木。
那什么是双侧听神经瘤呢?听神经瘤大多数病例被诊断出年龄在30至60岁之间,男性和女性似乎受到同等的影响。大多数听神经瘤在没有家族史的患者中自然发生。一个确定的危险因素是一种少见的遗传突变,称为NF2。

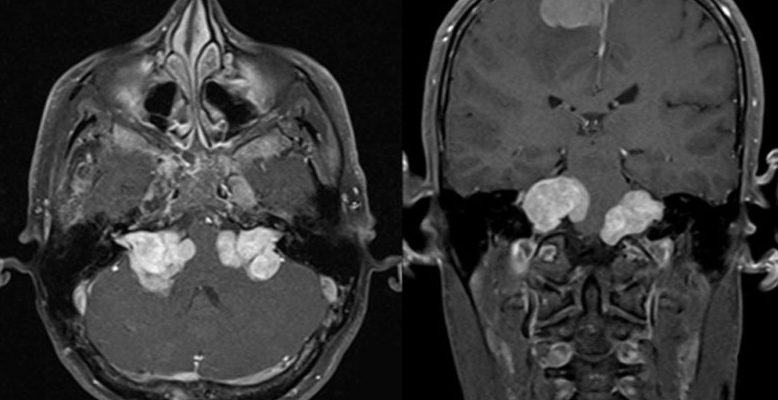
神经纤维瘤病2型,又称NF2,是一种染色体显性遗传疾病,临床表现多样,以双侧听神经瘤为其典型代表。据一项英国的研究报道,十年来英国西北部共发现NF2病人64例,年发病率为1/2355000。依照该比例测算,中国每年新发现的NF2病人大约为600例。基于人群的大样本统计,大约50%的NF2病人有家族史,说明NF2是一种遗传疾病。
听神经瘤通常生长缓慢,平均年增长率为2mm,但有时也会迅速生长,特别是年轻患者。当肿瘤在2cm以内时通常有耳科学症状,如耳鸣、听力下降、眩晕等,当肿瘤生长超过2cm时,肿瘤开始推压脑干、小脑及其它颅神经,患者逐渐出现耳神经学症状。肿瘤生长超过3cm后,脑干、小脑明显受压变形,患者出现明显的头痛、呕吐、走路不稳、面部麻木等神经学症状,脑疝可随时发生,导致病人死亡。
双侧听神经瘤怎么治?
双侧听神经瘤NF2表现为颅内和脊髓多发性肿瘤,目前尚无根治办法。制定较佳治疗方案较困难,原因在于肿瘤分布广泛,个体差异大,在不增加面神经及有关神经并发症的前提下如何保留有用的听力是手术的难点和外科医生的追求。听神经瘤手术往往引起听力丧失、面瘫、暴露性角膜炎等严重的并发症。因此双侧听神经瘤NF2治疗方案的选择应依据肿瘤发生的部位、肿瘤大小、生长速度、每侧耳的听力水平、听力保留的可能性、肿瘤对脑干压迫的严重程度以及并发脑积水等情况综合考虑。由于NF2多种多样的表现形式,制定治疗方案应考虑到患者的的个体差异,有针对地采取灵活的个体化治疗方案。保守治疗只适用于病灶小、高龄以及手术治疗意愿不强的患者。
肿瘤直径<2.5cm时听力保留的机会很大,应手术,肿瘤小保留听力的可能性大,切忌错失较佳的听力保护机会。若两侧听力均较好,SDS>50%则应先切除较小一侧的肿瘤,如此可增加听力保留的机会,确保术后获得合适的听力。在双侧听力均明显下降,但存在有用的非对称性听力时应考虑手术切除听力受损明显一侧的肿瘤,根据术后听力保留情况,决定对侧肿瘤治疗方案。若一次术后术侧耳保留合适听力可于术后6个月内采用听力保存的方法再次手术切除对侧。假如一开始手术未保留术侧听力,对侧是患者的听力来源,则可以根据对侧听力衰减情况选择合适时机进行手术。
双侧听神经瘤均>3cm时肿瘤切除术中不损伤耳蜗神经,保存合适听力的可能性小。临床经验也得出同样结论,两侧听力好坏不一,其中肿瘤较大侧的听力更差甚至已丧失合适听力则先切除。争取显微手术全切除肿瘤。若较大肿瘤一侧为主要听力而相对小的一侧肿瘤听力丧失,建议对有听力一侧的肿瘤采取部分切除,而听力丧失一侧的肿瘤全切除。若两侧听力均严重下降,为保留合适听力优先全切较大一侧的肿瘤,不强调肿瘤的全切。根据一侧肿瘤术后面神经功能、听力是否保留等情况择期决定对侧肿瘤手术时机和切除范围。若双侧均有较好的听力且无脑干受压、脑积水可密切观察肿瘤的生长变化。
INC国际神经外科提醒,NF2的治疗需注意与单侧听神经瘤有不同点。单侧听神经瘤的治疗原则以全切除肿瘤和保留面神经为主要目的,在此基础上尽可能保留听力;单侧听力丧失并不明显影响病人的生活质量。而对于双侧听神经瘤来说,需强调听力因素,如果双侧听力丧失,会严重影响正常工作生活。


