
引言
2024年1月巴特朗菲教授来华学术交流持续进行中,近日巴教授为多位疑难脑肿瘤患者成功手术。面对面咨询及远程线上咨询同期进行中,无数疑难脑瘤患者找到这位国际神外教授,希望能为自己的治疗之路指明方向。
这些咨询患者中,也有不少脑海绵状血管瘤患者国内就医碰壁,或评估手术风险大、或建议保守或伽马刀治疗,然后多方查询后找到巴教授。手术时机、手术指征、伽马刀治疗效果、术后复发率等等,INC特别精选了巴特朗菲教授对于脑海绵状血管瘤若干患者的咨询问题回复内容,以供相同病情的患者参考。关注INC国际神经外科,后续将交流脑胶质瘤等其他患者常见问答答疑,听听巴教授对于他们关心的高频问题如何回答。
温馨提示
每位患者具体病情不同,治疗方案也各不相同,以下巴特朗菲教授咨询的意见仅供参考,并不作为临床治疗方案。具体治疗方案请咨询主治医生。
脑干海绵状血管瘤什么时候该做手术?手术时机选择相关问题
询问了多名神经外科医生,大多专家建议先保守观察,等待下次出血时再对症治疗,手术时机到底该如何选择?巴教授在详细了解患者病情后,会综合评估。有的患者需要立即手术,有的患者可以暂时保守治疗,甚至有一些无需手术……早发现、早诊断、早治疗是提高脑肿瘤生存期和预后的关键。
巴教授建议手术咨询实例
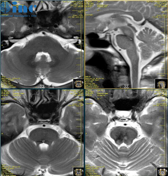
比如近期远程咨询中,31岁的脑干海绵状血管瘤患者陈先生,因出现身体、脸部麻木,还有听力下降、头晕等症状,就诊后怀疑是脑干海绵状血管瘤引起的出血,10多天病情恶化、无法独自行走。
关于目前是否需要尽快手术,巴教授这样评估:
巴教授评估回复
“在核磁共振成像上看到的是新出血。如果我们看T2序列的图像,我们还可以看到周围水肿,这表明出血是新鲜的,对于手术来说,这实际上是较佳时机。如果再等一两个月,血液会被部分吸收,但疤痕的形成会增加手术的难度。因此,现在是手术的好时机”
巴教授不建议手术咨询实例
但是,不是全部的患者确诊后都需要立即手术。34岁的嘉懿于出现右侧面部轻微麻木感和头部轻微发胀感。由于本身就是医务工作者,对于身体的变化尤为敏感,随即进行MRI检查,影像发现桥脑右侧见结节状长T1短及长T2信号,范围约10*8mm,诊断为脑干海绵状血管瘤。
巴教授评估回复
“在我看来,我不建议在这个阶段进行手术”,巴教授在为她进行远程咨询时明确表示,“我也不能完全排除患者将来可能需要手术,但在这个时候进行手术切除是不明智的。她应该在大约3-4个月后进行新的核磁共振检查,然后把图像发给我,我们将重新评估是否。”


巴教授咨询报告截图
巴教授无需手术咨询实例
对于很多脑干海绵状血管瘤患者而言,巴教授甚至评估无需手术。39岁的佟先生,2019因脑干出血导致手麻,嘴麻,头麻,复视,站不稳,诊断为桥脑海绵状血管瘤。2021年,脑干再次出血,需要手术吗?
巴教授评估回复
“没有发现任何手术指征,一年一次的MRI复查是足够的!因为没有可以通过手术切除的活动性海绵状血管畸形。再次出血的风险或MRI出现一些变化的概率较低。”


巴教授咨询报告截图
脑干海绵状血管瘤需不需要手术?手术指征及手术获益
对于手术,巴教授有着自己坚定的理念:“我为来自很多国家的脑干海绵状血管瘤患者,我的基本理念是,当你可以进行手术的时候才能治疗,确保患者将从手术中获益;如果风险太高,或者存在不利于手术的其他方面,那么我们应该推迟手术,甚至不进行手术。”
手术风险太大,面临神经功能缺失、肢体瘫痪、视力下降、听觉丧失、面瘫等风险,这个手术到底还要不要做?手术是否能够获益是巴教授选择是否手术的重要指征。有些病人的手术指征明确,不做病情会继续恶化,产生严重后果,甚至危及生命,非做不可,而做了之后可以好转患者的症状;有些病人手术后如果无法好转患者的情况,甚至比术前更差,巴教授是不会建议手术的。
巴教授建议手术咨询实例
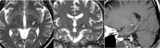
2024年1月12日,在苏州独墅湖医院,巴教授为一名26岁基底节海绵状血管瘤女孩珺珺成功手术,术后良好。4年前珺珺查出——左侧颞叶、基底节区海绵状血管瘤!一直保守治疗的珺珺没想到会面临再次出血,手指僵硬,无法握笔写字,还出现嗜睡、头痛、头晕,肢体功能变差……远程咨询时,当患者询问道较佳治疗方案是什么?目前症状术后能不能好转时,巴教授当时如何回复?
巴教授评估回复
“这是一个有明确手术指征的病例,因为海绵状血管畸形体大,自2019年以来曾有过出血,存在神经功能缺损。此外,新的出血合并神经功能缺损的风险是准备手术的另一个充分理由。术前症状是有可能得到好转,尽管可能不会完全恢复到全切。”
巴教授不建议手术咨询实例
一名被严重耳鸣、偏头痛困扰的丘脑海绵状血管瘤患者,同时,右侧肢体反复麻木,严重影响到生活与工作。可以手术切除吗?
巴教授评估回复
血管畸形位于丘脑深处,手术可能会对患者造成严重不利影响。如果选择手术,患者可能会出现术后感觉甚至运动缺陷,在较坏的情况下可能会持续存在。这种情况下,巴教授是不建议手术的!


脑干海绵状血管瘤伽马刀治疗合适吗?
脑干海绵状血管瘤能否做伽玛刀治疗?当求医过程中得到“手术风险大”的回复时,一些患者想要选择放疗消除病变,但这真的是较佳选择吗?
巴教授咨询实例
一位30多岁脑干延髓海绵状血管瘤,因为延髓位置过于疑难,大部分医生都建议保守观察或是伽马刀治疗。“伽玛刀治疗对患者是一个较糟糕的选择!他应该选择手术治疗,因为手术将消除脑干的血管畸形,并且可以防止未来的问题。”,冯先生也在2022年巴教授示范手术中成功手术。


脑海绵状血管瘤全切后还会复发吗?
尽管初期被认为是先天性病变,但现已知海绵状血管瘤是获得性的,许多报告证实了MRI检查结果正常的患者后来发展成了海绵状血管瘤。大约80%的患者是散发病例。通常情况下,患者会有一个单一的病变,往往同时伴有发育性静脉异常(DVA)。多达20%的病人是家族性病例,存在多个病变的患者或单一病变合并家族史的患者应考虑进行遗传咨询和检测。
因此,一说到手术,有的患者会担心“做完手术复发了怎么办?”,其实这个病多数是可以通过手术治愈的。只有少数患者的问题在于他的海绵状血管瘤是多发的,也就是说不止一处病变,很可能是其他的病变出现了症状,而不是说切除后又复发。
在巴教授手术的300多例脑干海绵状血管瘤患者中,90%以上患者术后获得更好疗效(顺利全切且无任何神经损伤),术后后遗症发生几率和再次出血的几率较低(下图)。术后3天、一周等短期出血的,再次清血肿,预后较好。术后一年等远期出血的需要再次进行手术。

巴教授咨询实例1
在一次12岁脑干海绵状血管瘤男孩的远程咨询中,患者家长询问道术后孩子预后如何,术后是否会复发?复发概率有多大?
巴教授评估回复
“复发率约为1%。当然,这1%的风险我们需在心里有数,也就是说,在100个海绵状血管瘤的患者之中,99个不会有复发。只有一个患者会复发的,可能在10年以内。所以,我给海绵状血管瘤的病人建议做磁共振复查。先一年一次,后来每两三年一次,只是为了确保万无一失。”
这名患儿选择了巴教授国内示范手术,全切肿瘤恢复正常生活,术后1年没有复发。

巴教授术后影像对比

巴教授咨询实例2
18岁的多发脑海绵状血管瘤患者嘉佳,4岁时在国内进行了一开始手术,切除了两侧的海绵状血管瘤。多年来反复出血,再次手术还会复发吗?
巴教授回复
“如果我们决定手术,手术切除率将达到全切。完全切除后,复发的可能性较低,但在海绵状血管瘤中,答案不是全切,因为这是一种遗传性疾病。由于基因的驱动,在另一个地方,现在看不见的新病变可能会在后期发生(这不是必然的,但有可能)。”

巴教授回复截图

巴教授术后1年随访影像对比
疾病诊断,海绵状血管瘤?静脉畸形?毛细血管扩张?
巴教授建议手术咨询实例
近期远程视频中还有一名41岁脑干血管畸形伴出血患者宋女士,左侧丘脑后方血管畸形破裂出血、被送进ICU,先后进行MRI和DSA等检查为明确诊断。从MRI影像能否确诊为海绵状血管瘤?有可能是其他血管畸形吗?处理方式又有何不同?

巴教授评估回复
“这个在核磁共振成像中也能看到,从病灶的性质来说,我们把海绵状血管畸形与静脉畸形、动静脉畸形(AVM)和毛细血管扩张区分,这几种情况没有明确的界限。我们把它们分开来讨论,是因为它们的预后和表现不同。从性质上来说这种明确的划分并不是关键的,有时我们会遇到一种所谓的混合病变,甚至可能是一个小的动静脉畸形与海绵状血管瘤的结合,我们称之为混合病变。在本病例中也很有可能是这种情况。
重要的是这个病变造成了什么,它已经引起了出血,所以不管它是什么类型,我们的治疗目的是避免以后的出血,这是手术的指征。不管它是什么,都不要紧,我们所希望的是病人将来不会有(再)出血的风险。因此,切除血管畸形重要,否则以后可能会再次出血。”
巴教授不建议手术咨询实例
34岁韩先生因现耳鸣、半身无力感,后症状加重至无法站立、眩晕温度感丧失,查出脑干出血性病变。脑MRI提示“疑似海绵状血管瘤伴出血”。考虑手术风险大,建议持续保守治疗并持续康复训练至今。是否能确诊为海绵状血管瘤?
巴教授评估回复
在脑干我们可以遇到三种不同的血管畸形——海绵状血管瘤,静脉畸形和毛细血管扩张。后者并不危险,很少引起出血。的静脉畸形单独情况也通常不会引起出血,只有合并海绵状血管瘤才有可能;在目前的情况下,我们无法在MRI中检测到活动的海绵状血管瘤,这可能事实上这个地方并没有海绵状血管瘤,或者如果有的话,它会远远小于1毫米,因此无法被MRI检测到。但我们知道,即使是这种小的海绵状血管瘤仍然可能会导致临床上明显的出血,是在脑干内。此外,这种出血可能发生在严重的心理压力的开始阶段(压力不是出血的原因,只是在血管畸形的情况下引发出血)。这些机制是众所周知的,并且可以在许多患者中观察到。
咨询巴教授不只是手术,都有哪些意义?
对于神经外科病患,是病情复杂、肿瘤位置深(如脑干、丘脑、视神经……)的患者来说,时间更加宝贵,如果不能尽快找出合适的方案,那么很可能就会在犹豫中耽误病情,或者做出不适合患者的选择,可能将对患者造成难以挽回的伤害。一次关键的、明确的、的、可靠的咨询意见,可能会让患者豁然开朗,明确下一步的路究竟该怎么走。从思考决策到准备必要的影像检查、教授远程评估这些都需要等待的时间。而时间对于治疗关键,是因为无论是手术、还是其他治疗方式,都需要求患者具备的身体条件做基础,如果时间不再,患者由于病情进展,身体条件恶化失去了治疗的机会,那会是遗憾的事情。
获取国际教授神经外科专家的咨询意见,寻求国际上更佳更匹配自己的手术方案,或许能让自己获得长期生存和良好预后的可能性更大。


