“教授,早上好!很高兴有机会再次和你打招呼。祝您和您的家人2024年健康快乐,今年这么快就来中国做手术,真是个惊喜。我在2023年9月底做了手术,两个月后回到了工作岗位。所以都很好。谢谢你!”
2024年1月来华期间,脑干海绵状血管瘤患者金女士发来了她术后4个月的随访视频,视频中的她和教授亲切打着招呼,祝巴教授新年快乐。如今她都好,回归到正常的工作学习中。

巴教授查看金女士发来的随访视频
▼金女士术后3个月影像对比

1次成功手术解决
脑干“炸弹”+面肌痉挛2大问题
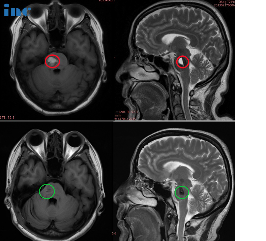
52岁的金女士脑干海绵状血管瘤多次出血,病灶大小两年内迅速增长,出血量一次也一次变大,出血时间间隔也越来越短,导致头晕、眼肌痉挛、耳朵不适等问题,而除了脑干海绵状血管瘤,面神经处的血管分叉形成“剪刀效应”,已经把面神经夹住。因为压迫时间很长,导致了严重的面肌痉挛。
2023年9月28日,巴教授于苏州大学附属独墅湖医院为金女士顺利手术,巴教授成功为金女士取出了这颗脑干位置的不定时炸弹,无任何新发神经功能损伤,同时巴教授也成功进行了面神经解压术,解决了金女士面肌痉挛的问题。
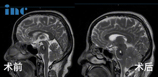
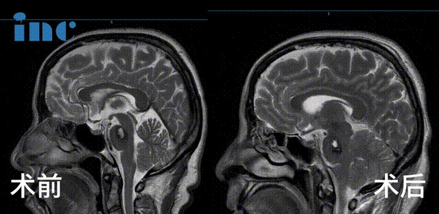
▼术前及术后1天影像对比

术后一个半月随访
”我现在恢复得挺好的,感谢教授!现在伤口也挺好的,我觉得也不痛“,近期INC老患者随访,我们见到了2023年9月中国行中成功接受INC巴特朗菲教授顺利全切脑干海绵状血管瘤手术的金女士。
术后一个半月的她恢复良好,金女士高兴向巴教授展示伤口恢复情况,巴教授也连声称赞”okay okay it's good!“,随后金女士询问巴教授自己何时能够正常乘坐飞机、火车、恢复运动。
巴教授听闻金女士的顾虑后,也再一次强调道”我总是跟我的病人说,这种时候你就正常生活,不管你是想要做什么,吃什么或者按时用药都是可以的,(因为)病灶已经被切除了”
回顾金女士的发病和治疗的整个经过,从初期的一次次保守治疗、到病变不断增大后的无助、寻求帮助、焦虑等待,直至信任巴教授成功手术,这也是一家人日夜陪护、四处奔波的辛劳付出的较好结果。"Thank you again!"他们也致以巴教授较诚挚感谢。
术后金女士也接受了INC专访,跟病友大方交流自己和家人一起抗击脑干海绵状血管瘤的经历,这一路走来他们有哪些值得病友们借鉴的经历呢?他们又是如何找到巴教授手术的?一起来看看。
“还是要趁早去解决”
金女士采访自述抗击脑干“炸弹”之路
INC:您是如何发现脑干海绵状血管瘤的?
金女士:其实不是因为症状,因为新冠疫苗一针注射之后心脏不舒服,做心脏和脑部检查,发现脑干海绵状血管瘤,把我吓了一跳,但是没有办法做。我们把它查出来,这还算是好的。


影像对比提示金女士的海绵状血管瘤增大,出血量逐渐增多

术前影像:面神经受压迫
INC:为什么会远程咨询INC巴教授?
金女士及家人:我在上海,所以我们找了一些专家看,但是他们就让我继续随访、继续等。等了你不知道会发生什么事情,总有点担心。而且我妹妹这个好像生长速度还是有点快的,它一开始发现才0.8,后来到了这次是2.0了。他们跟我说超过一次出血就不太好了。因为出血了,问医生是不是因为出血比较大,他说也不是,有可能下面长大了。
我们觉得巴教授的分析还是比较客观实在的,因为就包括之前咱们是先选择邮件问询,他其实在回的邮件里面,他说这不是一个紧急的手术。但是他是建议越早手术越好,因为你后面所发生的这个是不可预估的。所以我们也在对比,上海的专家到底怎么说,巴教授怎么分析的,咱们也要有两面听了之后都要分析一下、判断一下。

巴教授远程邮件回复截图
INC:为什么决定这一次选择巴教授手术?
金女士:因为如果这个问题是有把握来解决的,那还是应该趁早去解决,而不是等到产生了不良的影响。当然话又说回来,你要做这个建议,要有这个技术来确定,你有了这个技术你就有这个水平,就包括我们跟教授在交流时,我其实就问他,我说你的信心是怎么样?他说这就是一个常规手术,给我们听的就比较放心。对他来说很认真负责去处理,但这不是一桩好像很难的事情。而且他可以量化很多东西,我觉得如果风险是可以量化的,那么我们就可以判断如何选择。
巴教授预判、预知性比较准确。因为包括妹妹,她问别人她的风险到底怎么样,好像都不能说出来,你越没说出来,那病患就越没底。因为你只有根据这个结果预见的结果,她要去做这个决定。你要去做这个评估,如果这个结果我能接受,我在这个判断下我才能去动手术。
INC:巴教授当初为何会选择一个手术解决两个问题?
金女士及家人:另外,从我们在选择到后来在交流过程中,这个入路也能充分体现他这个技术是可以的,不然的话他也不会选择难的入路去做。他是比较坚定的,这也是给我们有信心的。他也是以人为本,就考虑这个问题,那他打分,0到100,他说你这个(面肌痉挛)到底是影响是多少?我们当时选择是50分,他觉得你50分对你以后的生活肯定也会带来影响的,所以他然后决定还是二合一。教授从手术一出来,我就跟教授交流。对于一个手术入路解决两个问题,他就觉得这个是对的。从目前来看还是挺满意的。
INC:对于巴教授的手术,你们一家人的感受是怎么样的?
金女士及家人:巴教授很有同理心,他从ICU出来,回病房那一天早上去看她了。查房之后拍了一个视频,他给我看了这个视频,当时她的状态不错,还交流了一下。我和巴教授说这个视频可以发给我吗,因为患者老爸80多岁了,也要知道一线情况到底怎么样。只有看到这个才能较清楚,我跟他描述有时候不是太清楚。所以巴教授就发了过来。


巴教授也有这个自信心在,跟我们之前所说的也没有盲目自信。现在从后面来看这个结果,今天是五天,对吧?这个状况就放在这里。他之前说的,比如说视频评估的风险,听力可能会有点轻微影响。但是这个都是他也很乐观,他说这个都是暂时的,我当初就说我说4到6个星期,他说会少于这个时间,所以我们应该是挺好的。
至于脑干海绵状血管瘤,手术后我见过教授两三次,他也很确定的说完全切除了,这个对我们来说也是较重要的。因为我们说这对我们来说是较重要的事情,他也很明确告诉我们是完全切除的的。他对位置的定位准确,才不能够把别的东西给切坏了。
术后查房
术后1天ICU查房,金女士感觉状态良好,四肢活动正常。术后2天查房,金女士已经可以坐起,面部没有麻木。
术后3天查房,已经下地走路,金女士家人对巴教授说“今天早上她在走廊上已经走了一个来回了”,教授检查了金女士双眼运动等,金女士状态良好。
术后5天查房,金女士恢复良好,和前来查房的巴教授合影留念。

案例总结
很多海绵状血管瘤患者,常常因为术前无症状或者症状不严重选择保守观察,认为良性的脑干海绵状血管瘤并不会威胁到自己的生命顺利。然而对于海绵状血管瘤来说,手术是首要目的,保守只是在毫无选择的情况下的无奈之选。不寻求顺利手术的机会,只会放任脑干海绵状血管瘤长大、多次出血,而脑干海绵状血管瘤一旦出血,更像是打开了潘多拉的魔盒,出血量、出血时间、导致的症状都难以评估和判断。“他可以量化很多东西,我觉得风险是可以量化的,就可以判断。“,就如金女士所言,巴教授的厉害之处就在于对风险的量化评估,让患者对于即将进行的手术有充分的认知。而巴教授之所以能够有如此底气,则是他30多年专研脑干手术,拥有着数千台成功脑干手术案例的积累与沉淀。而基于患者的生活质量考虑的手术方案,也让这个高难度的手术有了一层格外的人文关怀。让患者术后能够有质量的正常生活,这是巴教授作为医者的仁心,用的术中操作给患者带来更好的预后。


