较近,由于增强的成像技术以及人们意识到即使很小的出血事件也会引起明显的神经功能缺损,脑干海绵状血管瘤受到了广泛的关注。虽然大部分(约75%)的海绵状血管瘤发生在大脑的上部(“幕上”),但大约五分之一位于脑干,幕下的大脑区域。脑干病变较常见的症状是局灶性神经功能缺损,与位于腓肠上区域的病变发作或头痛相反。脑干海绵状血管瘤能治好吗?巴特朗菲教授突破“禁区”案例交流。

脑干海绵状血管瘤给受影响的个体以及神经外科医生都带来了不同的问题。紧密堆积的核居住在脑干的狭窄管道中。任何额外的质量或液体的引入,例如出血产生的血液,都可能压缩或压碎重要的神经纤维。换句话说,较小的入侵会导致严重的并可能威胁生命的症状。横穿脑干的神经控制基本的非自愿功能,例如呼吸,心跳调节,体温,疼痛和热感,打颤以及其他自发功能,包括眼球运动,吞咽,面部肌肉控制,行走和言语。颅神经和全身神经都可能受到影响。对于个人脑干海绵状血管瘤可表现出各种各样的症状,因此难以诊断。神经外科医生需担心如何处理病例以及脑干手术的内在风险是否值得潜在的有益预后。脑干海绵状血管瘤的治疗并没有那么简单,因为脑干是脊髓向上延伸的部分,其下端与脊髓相连的,功能主要是维持个体生命,包括心跳、呼吸、消化等重要生理功能,手术稍有不慎将会导致脑干损伤,所以手术存在着很大的风险和挑战度。
危险的脑干海绵状血管瘤出血
当在脑干中发现海绵状瘤时,海绵状瘤可能对病人的生命构成威胁。脑干是大脑中较致密、较重要的部分,脑干海绵状血管瘤出现的血液渗漏虽然出血量不多,但是时常反复发生。因此,通常的小出血量,能够造成暂时性的缺损,随着时间的推移,脑干海绵体血管瘤缓慢地生长,每次反复的出血造成神经功能逐步恶化,较终导致患者长期性失去一部分重要的功能。
正如我们所预料的那样,即使是脑干区域的只有5cc的出血量,根据每一位患者的神经系统中海绵状血管瘤的位置,也可能导致脑干海绵状血管瘤患者癫痫发作、吞咽困难、复视、面部功能丧失,甚至失去意识。
高难度+脑干手术,巴特朗菲教授如何应对自如,合适治愈
脑干海绵状血管瘤在出血之前可能会处于无症状状态,综上所述,出血过后又因其位置手术难度大风险高,所以一再被医学界认为是手术“禁区”。多数患者在不出现严重并发症的时候通常选择保守治疗。然而当脑干海绵状血管瘤开始出血的同时就是一个警示,这是一枚定时炸弹。对于这个棘手的问题,INC国际神经外科医生集团旗下组织国际神经外科顾问团(WANG)成员巴特朗菲教授做了详细的回答。
脑干海绵状血管瘤能手术吗?手术的风险是什么?这种疾病的手术切除率是多少?
巴特朗菲教授答:脑干的海绵状血管瘤一旦反复出血,手术是优选。尽管脑干位于一个关键的区域,但它是我们大脑中关键的部分,对许多功能都很重要,例如视力、运动、吞咽和其他功能,神经组织在脑干中是如此紧密,即使是很小的范围内。即使只有3、4、5毫米损伤,也已经可以带来一些临床症状,比如造成神经功能缺损。所以我们也应该说,海绵状血管瘤并伴随出血已经具有很高的风险,因为出血可以重复,有时可以重复二、三次,并且也有可能每次情况都会较前更糟。在过去的20多年里,我专门治疗了各种不同情况的脑干海绵状血管瘤。我可以说我对这些病变了解很多,但是我仍然可以从我的病人身上学到新的知识,甚至现在,因为每个病例都是不同的。在许多方面,手术上我们希望在我们谈论外科治疗时,知道怎么样的手术入路到达病变、有几种可能性可以到达,这都是需要长期的经验来做出正确的决定。此外,手术时机也很重要,技术也很重要。
你问我手术的风险,术后再次出血或严重的神经问题是很可能发生的。不同于胶质瘤,脑干海绵状血管瘤我们几乎可以实现全切去除,我说几乎是因为在少数情况下无法达到全切,因为这面临着的情况。没有人想有这么高的风险,所以外科医生需在手术中进行评估,这也是我正在做的。在大多数情况下,95%可以达到全切的肿瘤或海绵状血管瘤切除。
如果不久前遇到出血,能手术么?或需要等待一段时间再手术么?
巴特朗菲教授答:我注意到许多医生都遵循一个30年前相当流行的概念,更多的是等待。但我的理念是不同的,我的经验告诉我,早期手术对病人更好。手术越早对出血后的病人越好,当然,这取决于具体情况、出血的大小和病人的神经系统状况。但是等待,正如有时会被许多医生的那样,并不好,因为经过长期的等待,在较初的一次出血之后,会形成一个局部疤痕,而这个疤痕的形成实际上阻碍了一个好的手术,这使得手术更困难,更危险,甚至有时阻碍完全切除病变。另一个重要的因素是,在出血的早期阶段,出血或多或少仍是一种液体。所以当我们通过手术打开出血区的脑干时,血液可以被冲出去,这在手术中有用。如果我们等几周,血液就会凝结,变得更僵硬,更难以清楚。
在什么情况下,脑干区的海绵状血管瘤需要手术切除?任何时候、任何病情下?
巴特朗菲教授答:不,在很多情况下,病人因为一个小事故接受了核磁共振检查,他们可能,骑自行车或做一些运动时摔倒,然后医生建议做核磁共振检查,然后在核磁共振检查期间,有时我们可以在大脑的任何部位,甚至脑干,发现海绵状血管瘤的病人。这些患者可能从未经历过海绵状瘤的任何症状,在这种情况下,我们通常不手术,因为这些海绵状血管瘤可超过10年或20年保持不出血。我认识一个海绵状血管瘤的病人,现在已经快30年了。大约30年前他有过一次出血,从那以后,再也没有二次出血,针对这个情况,我们不会选择手术。但是我会建议手术的情况是,全部出血和存在神经系统问题或严重症状的病人,可能是二次出血,也可能是三次出血。全部这些病人都应该接受手术。
巴特朗菲教授6月份苏州脑干海绵状血管瘤手术一例

脑干海绵状血管瘤国际手术教授:德国巴特朗菲教授
有经验的神经外科医生不仅能通过手术提升患者的脑干海绵状血管瘤切除率,更能解决海绵状血管瘤压迫脑干组织的问题,患者受损的神经功能甚至可以慢慢的得到恢复。所以患者为提升对神经外科医生的选择上要尽可能的依据医生以往治疗案例进行考虑。巴特朗菲教授在脑干位置上的手术成就为他在脑干胶质瘤领域进行更持续深入的研究奠定了坚实的理论基础,也为国内外同道提供了高质量的脑干胶质瘤体内与体外研究模型。巴特朗菲教授在2018 INC国际神经外科教授年会上关于脑干外科手术的要点的主题演讲中提到:为了选择正确的手术入路,手术之前需要花费很多时间,除了研究全部的核磁共振平面,还要研究脑干模型。他会将脑干模型拿在手中研究,试图找出在特定病变中较好的手术入路。这的术前准备工作都是为了顺利的大水平切除脑干位置的病变。
德国汉诺威国际神经外科研究所(INI)神经外科教授,国际神经外科联合会(WFNS)教育委员会现任主席巴特朗菲(Helmut Bertalanffy)教授,在脑干海绵状血管瘤的治疗上有多年的临床治疗经验,是国际上神经外科显微手术教授,手术采用的方法包括翼点/眶颧、颞下、乙状窦后、枕下外侧髁、小脑幕前和眶内等多种入路,合适的抵达手术“禁区”。术后超过90%的患者,神经功能与术前持平或好转,很好的恢复了正常的生活。
巴特朗菲教授两则脑干海绵状血管瘤全切术交流
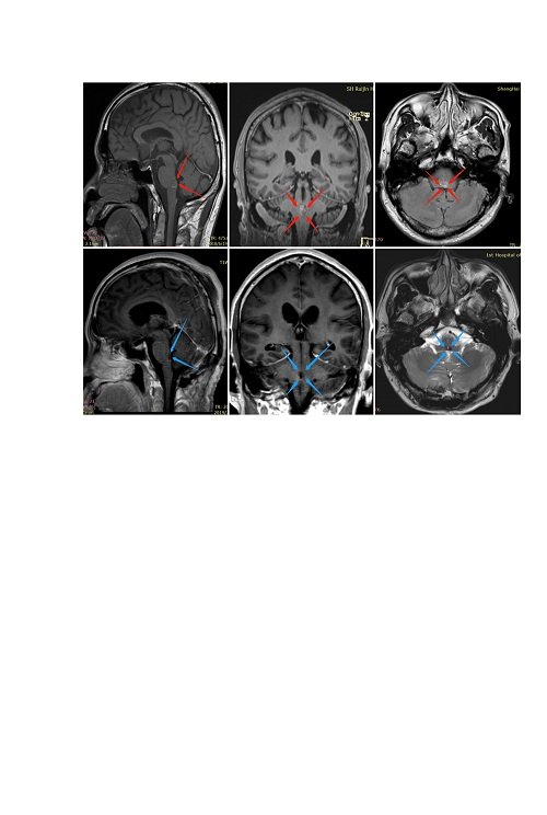
一名有高血压史的62岁女性由于意识突然紊乱而被送往另一家医院。CT扫描显示存在原发脑桥出血。她接受了2周的保守治疗。然而,她的症状没有好转,她被转到德国INI医院。入院时,她表现出意识障碍(GCS评分,13),左侧偏瘫(MMT评分,3),右侧神经III麻痹,左侧面神经(神经VII)麻痹(HB级2)。发病后21天,她通过半枕外侧入路进行手术。患者的意识水平,运动功能,眼球运动和面神经麻痹在术后早期开始好转。术后MRI显示完全切除脑桥血肿。她恢复后神志清,并且独自步行出院。

由于突然意识丧失和构音障碍,一名71岁男子被送往德国INI治疗。入院时,他表现出意识障碍(GCS评分,13),右侧偏瘫(MMT评分,3),左侧神经III和神经VI麻痹,左侧VII麻痹(HB级2)。CT扫描显示存在原发脑桥出血(下图,左起二个)。在发病后6天,在家人提供书面知情同意书后,他通过跨半长位置的半长方位进行手术。血管通过菱形窝从面部三角区撤离.尽管他的眼球运动仍然受损,但他的意识水平,运动功能和面部麻痹在术后早期开始好转。术后MRI显示完全切除脑桥血肿。

除了显微外科血管病变的治疗外,巴特朗菲教授还擅长颅底外科治疗,其所在的德国汉诺威国际神经外科研究所(INI)更是的神经外科研究及治疗机构,具有国际前沿的脑和脊髓肿瘤治疗技术和设备。同时,巴特朗菲教授作为INC国际神经外科医生集团旗下组织国际神经外科顾问团(WANG)的一员,一直深受中国病患的信赖,在INI与国内医院均为病友进行肿瘤切除手术治疗,得到了很好的预后效果,此外,巴特朗菲教授还经常受到INC的邀请参加神经外科学术交流,不断促进神经外科领域新的临床技术进步与改革,同时也为国内复杂脑瘤患者提供了新选择。不仅如此,国内主流媒体:新华社,人民日报等也曾报道过巴特朗菲教授国内手术成功案例以及INC国际神经外科医生集团落户上海相关新闻。以前国内患者想要咨询咨询国际教授往往束手无策,现在INC国际神经外科医生集团落户上海,旗下各学术团队所的教授均为国际神经外科联合会(WFNS)及各种国际神经外科学术组织的成员,国际神经外科各大杂志主编,以及神经外科教科书中以其本人名字命名手术方式和解剖结构的教科书级神经外科巨擘。他们在各自领域对国际神经外科做出过较大贡献,其手术经验和技术能力享有很高的学术地位。INC一直致力于中外神经外科技术的交流、合作、促进和提高,同时针对高要求人群及特别疑难手术病例,提供咨询服务。

新华社报道链接:http://xhpfmapi.zhongguowangshi.com/vh512/share/6096646?channel=weixin&from=timeline&isappinstalled=0

人民日报报道链接:https://wap.peopleapp.com/article/rmh8310800/rmh8310800?from=singlemessage&isappinstalled=0


