68岁王奶奶一开始诊断出脑海绵状血管瘤还是30年前,那是一开始出血。一开始出血并没有给王奶奶带来太大的伤害,加上血管瘤位置深入脑干,手术不易进入,便选择保守治疗。在与脑海绵状血管瘤和平共处了30年后,王奶奶身体开始出现不适。没精神总想睡觉,反应迟钝,逐渐出现头痛呕吐症状,去医院检查得知竟是血管瘤再次出血导致。在医院进行了一系列治疗后出血慢慢吸收。但是没想到二次出血不是结束,时隔两个月后三次出血,王奶奶陷入昏迷,紧急送医抢救,手术治疗。相关阅读:脑干海绵状血管瘤能治好吗?巴特朗菲教授突破“禁区”案例交流

导致王奶奶脑出血的元凶是“脑海绵状血管瘤”。脑海绵状血管瘤也称海绵状血管畸形,是一种脑部血管畸形,其发生率仅次于脑动静脉畸形,是老年人脑出血的主要病因之一。海绵状血管瘤是一种常染色体显性遗传疾病,也可以由放疗、外伤手术、病毒感染等原因引起。海绵状血管瘤可以发生在颅内的任何部位,根据部位和大小的不同,临床症状也有不同,可以表现为无症状、癫痫发作、头痛、脑出血、运动、感觉、视野、神经及语言功能障碍等局部神经功能缺失表现等。治疗方面,由于海绵状血管瘤是一种良性疾病,治疗决策的确定应考虑治疗措施的利弊和自然病程两者之间的平衡。根据患者的临床表现不同而可以选择保守治疗、显微外科手术治疗及立体定向放射外科治疗等方式。
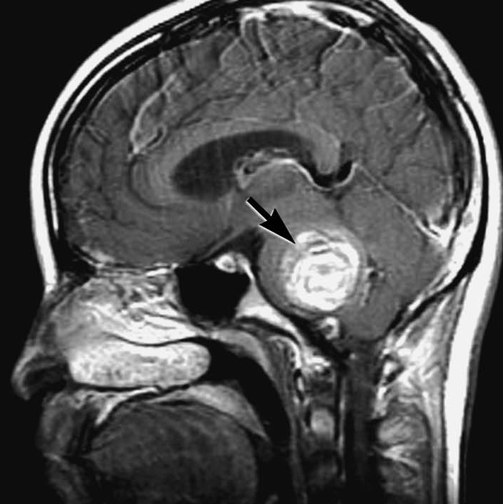
王奶奶为何出血三次才选择手术治疗?
虽然海绵状血管瘤是一种良性疾病,却王奶奶的血管瘤却位于大脑的重要位置--脑干深部。进入这一重要区域且不损害其结构和功能,手术难度大。脑干周围密布神经,常被称为手术的相对禁区。如果多次破裂出血,就可能引起剧烈头痛、视力下降乃至丧失,甚至晕厥昏迷,危及生命。
脑干是大脑的重要区域,是人体的神经中枢,控制着手、脚、眼、口等的活动,一旦受损就会导致其所支配的躯体相应部位“瘫痪”。如果治疗不及时或术中有所损伤,会对患者的表情、语言功能造成较大影响。如果不是多次出血或者神经功能已经受到损伤,脑干区域很多神经外科医生不选择手术,主要是难度太大。
立即手术还是保守治疗?
由于反复出血是造成脑干海绵状血管瘤患者伤残和死亡的重要原因.部分切除的病例再出血可能性较大,可引起灾难性的神经功能缺失,因此,完整切除病灶进行全切手术(BSCM)是防止再出血的根本方法,也是患者获得治愈的根本方法。近年来,随着神经影像学的进步,神经导航、神经电生理监测的应用以及显微神经外科技术的进步。全切手术效果也明显提高。
1928年,Dandy完成一例脑干海绵状血管瘤手术,随着神经学科的快速发展,手术治疗脑干海绵状血管瘤的研究报道也是层出不穷,国外全切技术相对成熟,而且取得了的治疗效果。
在一个国外137例脑干海绵状血管瘤患者手术后的数据报告中,97%的患者表示回到了正常生活和工作当中。另外,亦有报道表明,在全切手术治疗组和保守治疗组的对比中,保守治疗组的病死率明显高于全切手术治疗组。因此,通过下图2012-2014年国外全切手术效果统计中可以看出,对于符合手术的患者,全切手术治疗有以下优势:
1. 能够合适的好转患者远期预后,回到正常的生活。
2. 能够合适的切除瘤体,使神经功能和术前基本无差异。
3. 能够直观的改变术前神经障碍,无其他后遗症。术前神经功能问题也大多好转。
4. 能够将手术创伤面积达到较低,利用显微外科技术降低术后出血率。
5. 能够使手术死亡率降到较低,基本无手术风险
脑干海绵状血管瘤手术入路选择原则:正确的手术入路是手术成功的关键
手术入路选择应遵循易于显露、切除病变,对周围正常组织损伤较小的原则。首先能提供充分的视角,能显露整个肿瘤,这是手术成功的关键。其次,脑牵拉轻微,对肿瘤毗邻组织干扰较少,将手术创伤降到较低限度。较后,能提供手术操作所需要的自由度,以便达到肿瘤全切除。不管选择什么样的手术入路,术中需小心分辨和保护好发育异常的静脉。
遵循就近原则:
手术轨迹应以病灶突向脑干表面较薄处为基础,以距病灶较短距离为原则,选择较恰当的手术入路。手术入路的选择要能较利于病灶的显露和切除,从肿瘤距离脑干表面较薄处切开,既有利于病灶的暴露,又减轻肿瘤分离与切除操作过程中对脑干的干扰。
遵循微创原则:
从顺利区域显露、切开脑干,可避免进一步损伤脑干重要结构。Abla等一次描述了到达BSCM的微创手术入路,放弃了并发症发生率较高的经颅底手术入路,如经岩入路,并报道了BSCM较常采用的5种手术入路:(1)天幕下-小脑上入路,适用于中脑背侧或背外侧;(2)眶颧-经侧裂入路,适用于中脑腹侧或前外侧、脚间窝、桥脑-中脑交界处腹侧、桥脑腹侧上端;(3)枕下-中线入路,适用于桥脑背侧、四脑室底、颈延背侧;(4)乙状窦后入路,适用于桥脑外侧或后外侧、桥小脑解、小脑中脚外侧、延髓外侧上端;(5)远外侧入路,适用于桥脑下端外侧、延髓腹侧和腹外侧。
避开脑干重要结构:
脑干内有上、下行传导束及脑神经核团等,选择手术入路时应竭尽避免。术前神经导航有助于个体化没计手术入路,特别是有利于选择合适的脑干表面切开部位,从而避开脑干内的重要结构,并指引手术路径的探查方向。另外,Zimmerman等认为当肿瘤与手术路径之间存在有异常发育的静脉时,为了避免损伤该静脉,需要调整手术路径。
INC国际神经外科医生集团表示:技术高超的神经外科手术团队、正确选择手术适应证、个体化设计的手术入路,术中行神经电生理监测和神经导航辅助手术,有助于提高肿瘤全切除率,也可为获得更佳的疗效提供重要确定。


