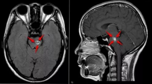
脑出血、脑溢血这两个词想必许多人都听过,苏联的缔造者列宁、美国前总统罗斯福、苏联领导人斯大林、英国前首相丘吉尔都是脑内出血而死。而脑干海绵状血管瘤就是造成脑出血的主要元凶之一。
如果说大脑是人体的重要,脑干则是大脑的重要,脑干是管理心跳、呼吸、消化、体温、睡眠等重要生理功能的生命中枢,脑干出血起病急,病情凶险,可能直接导致患者当场死亡。

脑干海绵状血管瘤出血几率高吗?每增大一分,脑出血几率就增加一分。国际颅底肿瘤手术教授巴特朗菲教授指出,脑干海绵状血管瘤可以一直长大,甚至可以从几毫米发展到几厘米,虽然脑干海绵状血管瘤出血的风险根据每个人的情况都有所不同,但每增大一分,脑出血几率就增加一分。另外脑干海绵状出血几率与之前是否经历过出血有较大关系,如果之前没有发生过出血,估计每年出现出血的几率不到1%。如果先前海绵状血管畸形已经出过血,那么每年再次出血的风险大约在4%到25%之间。但可以肯定的是,如果一直不治疗,随着海绵状血管瘤不断增大,出血几率是会越来越高的。
巴特朗菲教授还指出,就算脑干海绵状血管瘤没有出血,但随着增大也会压迫到其他神经组织,会引起癫痫发作、双视或其他视力问题、语言困难、记忆丧失和附带问题脑积水。
手术是脑干海绵状血管瘤的一线治疗方法。虽然脑干位于颅脑中心血管神经密集区域,被认为是手术的禁区及雷区,手术难度和死亡率也很高。但在脑干海绵状血管瘤具有多年经验,和上千例手术经验的国际颅底肿瘤手术教授巴特朗菲教授表示,手术仍然是脑干海绵状血管瘤治疗的首要选择,而手术的成功与否则主要取决于手术方法的选择、手术时机的选择、手术医生的选择。
对于脑干海绵状血管瘤手术的选择,巴特朗菲教授表示由于脑干上“动刀”难,风险大,手术方法的选择是重要,手术需要视野清晰、和视野广阔,目前国际上对于脑干海绵状血管瘤的切除,显微外科手术是标准疗法,显微外科手术三维可视化和准确化,更清晰的手术视野及更合适的放大倍数,较高的顺利性和较小的创伤面积,得到了医学界的认可。再额外使用神经导航,内窥镜辅助和监测,术中MRI等现代工具,都可有助于手术的顺利性。
对于手术时机的选择,巴特朗菲教授认为早期手术比延迟手术的效果要好。此时病灶周围水肿已基本消退,血肿也明显液化,病灶周边含铁血黄素胶质增生带已形成,而血肿尚未完全机化、周围组织的玻璃样变及纤维化,是实施手术的较好时期。而且早期手术不仅切除病变相对容易,而且可较大限度地解除病灶( 肿瘤和出血) 造成的占位效应;另外,随着出血时间的延长,组织瘢痕化和血肿机化,使手术分离的界面变得模糊不清,增加手术难度。
对于手术医生的选择,巴特朗菲教授表示,想要把包绕肿瘤的神经血管分离,不仅要求手术医生有丰富经验、娴熟的技术,还要有难能可贵的耐心。对于脑干海绵状血管瘤手术,目前巴特朗菲教授已经有20多年的临床经验,并且总结了多入路对脑干海绵状血管瘤进行较佳切除,手术方法包括翼点/眶颧、颞下、乙状窦后、枕下外侧髁、小脑幕前和眶内入路。术后,37%的患者表现出短暂的(轻微)神经功能缺损,其余超过90%的患者,神经功能与术前持平或好转。

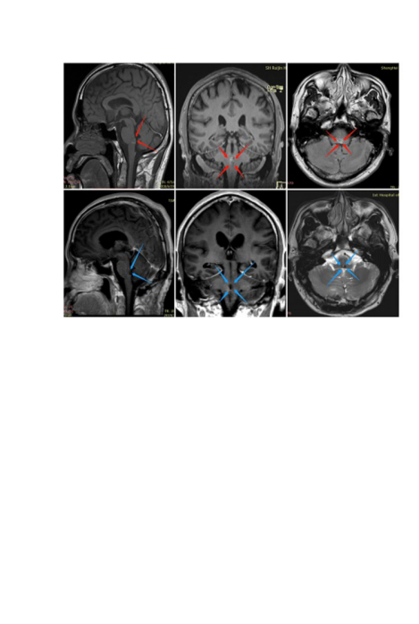
巴特朗菲教授脑干海绵状血管瘤经典案例
巴特朗菲教授作为INC国际神经外科医生集团旗下组织国际神经外科顾问团(WANG)中的一员,而INC国际神经外科医生集团作为一个立足于中国专注于神经外科领域的专家学术交流的医生集团。目前在国内,就可通过INC国际神经外科医生集团国际远程咨询,得到这些神经外科教授的咨询意见,并能申请到他们的手术治疗名额。


