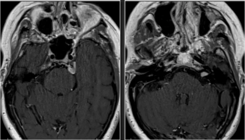
69岁女性,因顽固性左侧面部疼痛伴轻微左耳听力下降就诊。影像学检查提示左侧岩尖/梅克尔腔脑膜瘤(13.0×8.1毫米)及左侧内听道听神经瘤(8.8×5.6毫米)。两种肿瘤,一处是疼痛的元凶,一处是听力的威胁,都藏匿在颅底最复杂的区域。
基于两处病变的解剖位置特点,选择一期手术,一个切口,解决两个问题。
通过扩大中颅窝入路,这个巧妙的设计如同在“螺丝壳里做道场”,既能清晰暴露岩尖,又能直达内听道,为两处肿瘤的精准切除铺平了道路。
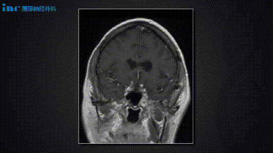
术后恢复过程平稳。患者于术后第5天出院,期间仅出现一过性外展神经麻痹,该症状在术后6周内完全恢复。术后听力检测证实听力功能得以保留。术后4个月随访MRI显示两处肿瘤完全切除,无残留复发征象。
本病例证实,扩大中颅窝入路可为岩尖及内听道区域提供优异的显露视野。


(术前MRI)

(术后MRI)

(术前听力图)

(术后听力图)
术者:INC国际神经外科医生集团旗下组织世界神经外科顾问团(WANG)成员William T.Couldwell教授

案例来源:

手术纪实
手术方案与体位
鉴于两处病变均引发症状,决定采用单一手术入路同期切除。通过中颅窝入路实施听力保留手术,并行岩骨前部切除以切除脑膜瘤。患者取侧卧位。
中颅窝开颅、内听道磨除及岩骨前部切除
沿颧弓根中心掀起4×4厘米骨瓣,识别棘孔并结扎脑膜中动脉。继续硬膜外解剖,定位弓状隆起及岩浅大神经(GSPN)。经中颅窝入路磨开内听道,保留硬脑膜完整性。为切除前庭神经鞘瘤,对內听道实施270°骨性开放。随后行岩骨前部切除,磨除岩尖骨质。
岩尖脑膜瘤切除
切开梅克尔腔表面硬脑膜,识别三叉神经根。在岩尖区域切开硬脑膜,可见脑膜瘤向梅克尔腔延伸。完整切除脑膜瘤附着处硬脑膜,经硬膜开口分离肿瘤,三叉神经根全程显露。
前庭神经鞘瘤切除
脑膜瘤切除后,转向内听道切除前庭神经鞘瘤。术中持续监测听觉脑干诱发电位(ABR)。可见面神经位于肿瘤表面区域,充分磨除骨质以完整分离肿瘤。在面神经表面缓慢分离肿瘤并行瘤内减容,清晰显示鞘瘤与神经界面。使用显微剥离器将肿瘤从其后方耳蜗神经区域抬起。切除鞘瘤后测试面神经功能,ABR反应保存完好。
关颅
使用骨蜡封闭开放气房,以纤维蛋白胶复合脂肪组织填塞术腔。采用Medpor人工材料行颅骨成形术修复骨瓣,分层缝合头皮
术后影像与临床病程
术后影像证实两处病变均获全切。患者术后出现一过性左侧外展神经麻痹,6周后完全恢复,听力保存完好。


