脑积水,是一种大脑和脊髓周围有额外的脑脊液的情况。脑脊液起着大脑和脊髓的缓冲作用,提供营养,并带走废物。脑积水可以在出生时出现(先天性),也可以在以后出现(后天性)。
先天性脑积水是存在于出生,虽然它可能不被发现,直到以后的生活。当大脑和周围的结构发展不正常时,它就形成了。确切的原因通常是未知的,但促成因素可能包括遗传和怀孕期间的某些感染有关。获得性脑积水是由出生时或以后发生的损伤或疾病引起的,包括大脑和脊柱的感染(脑膜炎)、大脑血管的出血(出血)、严重的头部损伤、脑肿瘤或囊肿等。【INC神外科普】脑积水常见问题解答

1、什么是脑脊液?脑脊液有什么作用?
(1)脑脊液(Cerebro-Spinal Fluid,CSF)是环绕于中枢神经系统(脑和脊髓)周围的无色透明的液体,主要存在于颅内和脊柱内的空隙间,比如脑室、蛛网膜下腔和脊髓中央管内,生成,循环,然后再被吸收,其总量稳定保持在水平,时刻处在一种动态的平衡之中。它提供脑的一部分代谢功能,也在运动时像水床一样保护脑。
(2)脑脊液能供应神经细胞的营养,运走中枢神经系统内的代谢产物,调节着中枢神经系统的酸碱平衡。可以形象地理解为“脑和脊髓悬浮在脑脊液中”。脑脊液缓冲脑和脊髓的压力,对脑和脊髓具有保护和支持作用。
2、为什么会产生脑积水?
(1)先天性因素:中脑导水管畸形,小脑扁桃体下疝畸形,室间孔闭锁畸形(四脑室正中孔或侧孔闭锁),脑血管畸形,脊柱裂等。
(2)感染因素:感染性脑膜炎、脑炎时增生的纤维组织阻塞了脑脊液的循环通路;炎症反应同时也可以使脑池、蛛网膜下腔和蛛网膜粒粘连闭塞,造成脑脊液循环和吸收障碍。
(3)各种原因所致的颅内出血、颅内肿瘤等:外伤、脑出血、某些遗传性代谢病、围产期及新生儿窒息、严重的维生素A缺乏等疾病,使血液有机会进入脑脊液,引起纤维增生,可阻塞脑脊液循环通道;肿瘤生长过程中,压迫、阻塞脑脊液循环通道。
3、脑积水有哪些类型?
(1)依据病因可分为先天性脑积水和继发性脑积水(其他疾病造成的影响)。
(2)依据液体是否能够自由流动的病理分类:梗阻性脑积水、交通性脑积水、外部性脑积水三大类。
(3)依据疾病发展速度,临床上一般分为急性脑积水、慢性脑积水、正常颅内压脑积水、静止性脑积水。
4、脑积水还分急性、慢性吗?
(1)急性脑积水主要有头痛、恶心、呕吐(可以是喷射性呕吐)、视力下降、视物不清等急性颅内压增高症状。
由于脑脊液通道突然堵塞、脑室在数小时内急性扩大,短时间内出现颅内压增高症状,可表现短暂或持久视力改变,易出现昏迷,若不及时抢救可发生脑疝而死亡。
(2)慢性脑积水临床表现以慢性颅内压增高为其主要特征,可出现双侧颞部(太阳穴附近)或整个头的疼痛,伴有恶心、呕吐、视神经乳头水肿或视神经萎缩(视神经乳头水肿及萎缩的问题需要的仪器才能检查),智力发育受影响,肢体活动不协调或瘫痪等。
慢性脑积水因发生的速度较缓慢,因而颅内可有的代偿表现,通过骨缝分离、脑组织的退缩和脑室系统的扩大,使颅内容纳更多的脑脊液。脑室扩张后,使脑室周围的皮层脊髓束的传导纤维牵拉受损,出现步态和运动功能障碍:走路变慢,不稳,给人感觉犹犹豫豫、摇摇晃晃的。
5、什么是正常颅内压脑积水?有什么症状?
实际上是一种间歇性高颅压性脑积水,属于慢性脑积水。颅内压在病程中时有波动,或加重,或缓解,虽然脑脊液压力在正常的范围,但脑室和脑实质之间继续存在着轻度的压力梯度(压力差),使脑室不断扩大并导致神经元及神经纤维的损害。儿童也可发生正常压力性脑积水,导致脑室进行性扩大,脑白质逐渐受损,但一般无颅高压征象,本病后期则呈代偿性脑积水,脑室停止扩大。
临床的主要表现有:
(1)步态不稳(走起路来不稳,总像要摔倒的样子),运动障碍程度,严重时可出现卧床不起;
(2)反应迟钝,记忆力减退,重者出现痴呆;
(3)大小便失禁;
(4)儿童可见头围在正常值的上限或略超过正常值,精神运动发育迟缓,智力下降,学习能力差,运动障碍等。
6、什么是静止性脑积水?有哪些症状?
是指脑积水发展到程度之后不再恶化,达到动态平衡的一种状态。主要特点是脑脊液的分泌与吸收趋于平衡,脑室和脑实质之间的压力差消失,脑实质不再受压,脑室的容积保持稳定或缩小,不再出现新的神经功能损害。
7、脑积水会遗传吗?
目前研究无证据显示脑积水有遗传倾向。
8、婴幼儿脑积水的症状主要有哪些?
(1)主要表现为婴儿出生后数周或数月后头颅快速、进行性增大。头大面小,额部前突,前囟扩大隆起,颅缝分离,颅骨变薄,甚至透明,叩诊可出现'破罐声'(Maceen)征。额头和耳前的颞部呈现怒张的静脉,眼球向下看,上面白色的巩膜时常暴露(形似日落,称为日落征)。
(2)精神萎靡,头部不能抬起,严重者可伴有大脑功能障碍,表现为癫痫、视力及嗅觉障碍、眼球震颤、斜视、肢体瘫痪及智力障碍等。
(3)由于婴儿头颅呈代偿性增大,为多余的脑脊液提供了空间,因此,颅内压增高的情况可以不明显,所以,头痛、呕吐及视神经乳头水肿也均不明显。
9、孩子头大就是脑积水吗?
不,脑积水所致的头颅增大有以下特点:
(1)进展性增大,正常婴儿在较早6个月头围增加每月1.2~1.3 cm,脑积水时头围的增长速度则为其2~3倍;
(2)发育迟缓,患儿发育明显落后于同龄孩子。
10、怀疑脑积水时该做哪些检查?
(1)头颅CT:可显示脑室扩大水平和脑实质厚度,可用于推测梗阻部位和追踪脑积水病情发展。
(2)头颅MR:可准确显示脑室和蛛网膜下腔的具体形态,用于判断脑积水的病因。
11、脑积水可以预防吗?
(1)加强产前早期诊断及早终止妊娠,预防脑积水儿的出生。在孕12~18周即可通过B超查出,及早终止妊娠,预防脑积水儿的出生,降低先天性脑积水的出生率。
(2)针对继发性脑积水,如脑出血、蛛网膜下腔出血、感染等导致的脑积水,应治疗原发病,现有资料证实,早期、充分引流血性脑脊液,可降低继发性脑积水发生率。
12、脑积水如何治疗?
除少数经利尿、脱水等治疗或未经治疗可缓解症状、停止发展外,多数脑积水病人需要手术治疗。
13、什么是脑积水治疗较佳时机?
因为脑积水可造成脑组织的损害,在诊断明确,有手术指征,无禁忌证的情况下,建议及早手术治疗。
14、脑积水能够完全治愈吗?治疗后还会复发吗?
通过的治疗,脑积水可以临床治愈。但是脑积水对人体造成的损害,如头围增大、智力低下等会残留下来。脑积水有的复发率,需要遵医嘱定期复查。
15、脑积水病人什么情况下需要手术治疗?
(1)有头围逐渐扩大(周长超过50 cm),颅内压增高(ICP>250 cmH2O)表现的各类型脑积水患儿,包括梗阻性和交通性脑积水。
(2)有脑损害症状,智力发育障碍者。
(3)脑室扩张者。
(4)由肿瘤等引起的继发性脑积水,原发疾病不能处置者,可单纯针对脑积水治疗,以缓解症状,提高生存质量。
(5)大脑皮质厚度1 cm以上者,手术后智力发育可得到程度的恢复。
(6)大脑皮质厚度1 cm以下者,手术后虽然智力发育恢复不明显,但也建议手术治疗。
(7)脑室扩张明显,腰穿脑脊液压力不高者,如存在进行性神经功能损伤,建议手术治疗。
16、哪些脑积水病人不能手术治疗?
(1)颅内感染未控制,或准备进行手术的区域感染者;术后继发感染或原有感染加重。
(2)脑脊液检查发现脑脊液内蛋白含量明显增高,或有出血者;容易堵塞引流管,使手术失败。
(3)脑室空气造影检查结果显示,空气未吸收者;易引起感染。
(4)脑室碘油造影检查结果显示,非水溶性碘油滞留脑室者。
(5)近期已行侧脑室外引流者。
(6)由肿瘤等引起的继发性脑积水,肿瘤等原发疾病未处置者,应先处理原发病变。
(7)脑室扩张明显,腰穿脑脊液压力不高者,也可以选择保守治疗。
17、脑积水手术目的是什么?
(1)解除梗阻,消除病因,重建脑脊液循环通路。如切除肿瘤,解除其对脑室系统的压迫;扩张导水管;疏通四脑室流出道的梗阻等,使之前堵塞的脑脊液通路重新通畅起来。
(2)避开梗阻部位,另寻吸收部位,改建脑脊液循环通路。如侧脑室外引流、侧脑室-腹腔分流、腰大池-腹腔分流、三脑室前部造瘘等。
(3)减少脑脊液的产生。如灼烧、部分切除脉络丛。
18、脑积水手术方式有哪些?
(1)分流术:包括侧脑室外引流术,侧脑室-腹腔分流术,腰大池-腹腔分流术。
(2)脉络丛灼烧术、脉络丛部分切除术。
(3)造瘘术:三脑室造瘘术等。
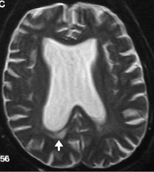
INC国际神经外科医生集团旗下组织国际神经外科顾问团(WANG)成员Concezio Di Rocco教授作为国际神经外科联合会基金小儿脑积水项目负责人,在脑积水手术方面经验丰富。在一份报告中,教授为一名因四脑室出口狭窄导致脑积水,合并小脑功能异常共济失调的3岁大的小男孩进行内镜下三脑室造瘘术,成功控制了脑积水的产生,手术过后小男孩症状迅速消退,预后效果好。

由于四脑室出口狭窄引起的脑积水小脑功能障碍,患有脑积水的3岁男孩。A、B为其术前影像,C、D显示内镜下三脑室造口术成功控制脑积水,术前症状迅速消退。
19、如何选择脑积水手术方式?
手术方法的选择,需要根据病人的具体情况而定。
(1)原则上梗阻性脑积水应首先明确病因,通过手术解除梗阻原因。
(2)如果术后仍有梗阻,可选择进行分流手术。
(3)对无法切除梗阻病变的,可直接进行分流术。
(4)交通性脑积水多采用分流术,如婴儿交通性脑积水,可行腰大池-腹腔分流术,不仅分流管行程短,且呈水平走向,分流效果不会因生长发育而产生较大影响。
20、脑积水手术并发症主要有哪些?
随着技术进步以及新材料的问世,术后并发症出现的几率逐渐减小。以分流管堵塞和感染常见,还可出现颅内出血的情况比如硬膜外血肿、脑内血肿、脑室内出血,或出现一些消化道症状、腹腔脏器或膈肌损伤以及裂隙综合征等。
INC国际神经外科医生集团提示:注意脑积水治疗后的任何并发症,并定期带宝宝去检查。早期诊断很重要。婴儿体检时测量婴儿头部的直径。用这种筛选方法可以在早期发现异常快速的增大。脑积水固然复杂,但及时干预治疗是确定婴儿健康成长的关键。


