
19岁,正是意气风发的年华,而飞宇已与一颗复杂的脑瘤默默抗争了5年。今年,他终于迎来了期盼已久的胜利。这5年,本应是一个男孩最灿烂的青春时光,却被疾病阴影笼罩。然而,在漫长艰辛的鏖战之后,飞宇在临门一脚的时刻,赢得漂亮!
这一条路,走得并不容易。从最初发现脑肿瘤并选择保守观察开始,症状的起伏、全家人的担忧、无数次的尝试——包括中医治疗。直到2025年8月12日,一台关键的手术改变了一切。一颗深埋在大脑核心区域第三脑室的巨大肿瘤,由INC巴特朗菲教授主刀,携手北京天坛医院,在精密而稳健的操作下,实现了高危脑瘤的“顺利全切”。术后病理诊断为毛细胞星形细胞瘤,全切意味着良好的预后,也意味着飞宇迈出了走出疾病阴霾的巨大一步。
术后近5个月随访,巴教授表示:“对于这个毛细胞型星形细胞瘤,实现了全切除。重要的脑部结构均得到了保留,尤其是穹隆等关键结构,因此他有很好的恢复机会。正如我之前所说,他还很年轻,但恢复仍然需要时间。不过,孩子的恢复潜力非常高。”

飞宇是幸运的,他有深爱他、全力呵护着他的父母,也遇到了给予他新生机会的巴教授。但更打动人的,是少年心底那一份不曾熄灭的火焰——“我想赢!”明知前路艰险,他依然在命运悬于一线的时刻,选择勇往直前。这个直面脑瘤的男孩,是如此耀眼。
战胜胶质瘤,治疗中的每一步都至关重要:治疗方式与时机的选择、主刀医生的技术、术后的康复与调养,环环相扣,缺一不可。
1
术前抉择关
从发现到决断
14岁,那时还在上初中的飞宇不会想到,偶尔的头痛和恶心,竟是一场漫长战役的开始。
确诊松果体区肿瘤时,父母没有立即告诉他。和许多家庭一样,他们担心孩子承受不住——事实上,当时他们自己几乎站不稳。但心里再慌,行动却不能乱。全家人当夜赶到北京。因肿瘤已引起脑积水,飞宇很快接受了分流手术,症状得以缓解。
为什么当时没有切除肿瘤?父母回忆:“孩子太小,我们有顾虑,没敢马上手术。”尽管那时已听闻巴教授,但作为父母,他们仍有犹豫。
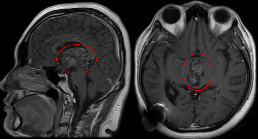
随后他们尝试过中医,可惜效果不彰。现实终究是残酷的:飞宇在长大,肿瘤也在长大。眼科检查出现复视,视力显著下降、视野缺损——MRI显示,一颗40毫米的巨大肿瘤已占据第三脑室,正悄然吞噬少年的未来。
术前MRI

“今年复查,肿瘤又长大了,不能再等。”这一次,他们没有丝毫犹豫。恰逢巴教授来华,从7月31日复查到8月12日手术,不过十余天。“其实我们从一开始就没打算找别人做。这是脑袋里的手术,我们必须给他最好的。”
而飞宇,这个即将走上手术台的少年,也已准备好迎战。
2
高难手术关
大脑深处的较量
这个40×25×31mm的巨大肿瘤已完全占据第三脑室,并从室间孔向下压迫中脑,使得手术面临重重挑战。首先,手术路径深长而狭窄,需要在切开胼胝体、分离脉络膜裂后,在受限的操作通道内精准切除肿瘤,对手部稳定性要求极高。其次,肿瘤已使关键的脉络膜裂发生扭曲、变薄,其与周围深部静脉系统和丘脑的粘连紧密,分离时极易引发出血或梗死。再者,肿瘤本身血供丰富且质地坚韧似橡皮膏,与三脑室壁、丘脑、深部血管黏连紧密,只能分块切除或借助CUSA,强行牵拉易导致出血或伤及周围结构。
“我将运用四十年的经验和技术,为该患者争取更佳治疗效果!”北京天坛医院与国际专家巴教授的强强联合,手术顺利完成。

回顾这段治疗历程,飞宇的母亲感慨道:“别拖延。我们家就是因为拖了5年,肿瘤长大了,孩子也多受了罪。肿瘤越小做手术,预后越好,真的不能抱有侥幸心理。”
3
术后康复关
一场身心的全面疗愈
对胶质瘤患者而言,手术、放疗、化疗不仅是身体的考验,也是心理的重塑。患者可能面临情绪波动、自我认知的改变,这时候,家庭的支持往往成为康复中最坚实的力量。这一份术后家庭护理小知识分享给所有罹患胶质瘤的病友们。
1、保持心情舒畅,有些情绪需要被看见
一纸“胶质瘤”诊断,往往意味着一个人、一个家庭生活的彻底改变。疾病带来的不仅是身体上的挑战,更伴随着持续而真实的心理重负。胶质瘤患者可能担心治疗过程中的并发症、神经功能可能受损的风险,以及未来生活的不确定感。这些压力若不被看见和理解,极易演变为焦虑、抑郁等心理健康问题,进一步影响患者的治疗信心与生活质量。
因此家属要给予充分的理解,对其进行关心、安慰和鼓励,使其正确对待疾病、正确对待未来的生活、学习和工作,树立信心,积极进行各项康复工作。更多心理方面的内容,可点击阅读:得了胶质瘤性情大变,是疾病作祟,还是心理问题?一份给家属的研究分享
2、饮食营养均衡
疾病的消耗、病痛的折磨、手术后身体的应激反应等,往往会使胶质瘤患者普遍存在不同程度的营养不良、消瘦、贫血、乏力等症状。应注意给予患者高蛋白、高热量以及富含维生素易消化的饮食,做到营养均衡、品类齐全,多食新鲜蔬菜和水果。
3、适当锻炼,亲近自然
胶质瘤手术后,患者通常会经历一段体力和精力都较为薄弱的时期,此时充足的休息至关重要,有助于身体积蓄力量,更好地应对后续治疗。然而,随着病情稳定、顺利出院,康复的重点也应转向“有度活动”。在保证休息的基础上,可以鼓励患者循序渐进地增加日常活动,比如出门散散步,多亲近自然。适当锻炼不仅能够改善患者的食欲、体力、睡眠、精神,提高患者生存质量。
4、定期复查,防于未然
早发现、早诊断、早治疗是改善复发患者预后的关键,因而定期复查非常重要,有助于及时发现复发,避免病情延误,从而改善复发患者的预后。
少年意气,可越山海。我们由衷地为19岁的飞宇喝彩——能够战胜复杂的脑瘤,如此强大的你,未来何惧挑战?何况这是预后良好的毛细胞星形细胞瘤,手术的成功,更是为你争取了良好的预后。愿你在风雨过后,更从容、更坚定地去拥抱属于你的辽阔天空,勇敢追寻心中所向,飞向更高、更远的明天!
INC学术交流预告
2026年1月24日,INC(International Neurosurgeon's Circle)国际神经外科医生集团旗下世界神经外科顾问团WANG(World Advisory Neurosurgical Group)成员将再度聚首上海,举行“第五届世界神经外科顾问团云端峰会”。无论成人或儿童,颅内或脊髓病变,涉及肿瘤、血管疾病,抑或开颅、内镜及“双镜联合”等术式……来自欧洲、美国、加拿大等神经外科专业不同细分领域十多位享誉全球的专家齐聚上海。国内神经外科疾病患者无需远赴海外,即有机会与这些专家面对面交流,更有机会接受他们主刀的示范手术,这无疑是神经外科疑难疾病患者的重要福音。



