“这是爸爸妈妈为你请来的巴教授。”

北京时间2024年10月27日傍晚6时许,随着夜幕的温柔降临,一辆汽车划破宁静,稳稳停驻于苏州大学附属儿童医院的门前。车灯如炬,不仅驱散了周遭的暗影,也象征着从未知迈向光明的旅程。车门缓缓开启,一个熟悉温暖的身影出现在镜头里,巴教授作为苏大附儿院特聘神经外科指导专家再次来到这里。


此刻,苏州大学附属儿童医院神经外科王杭州主任等一众已在医院门口等待,简短的寒暄后,一行人便坚定地踏入了医院,随即投入热烈的手术方案讨论中,为次日即将进行的重要手术做着充分的准备。跟随镜头,一起感受这位国际神外大咖巴特朗菲教授中国行的日常。

中外专家与儿童脑肿瘤正面刚
生命相托、永不言弃!
作为家长,也许从来都不敢想,自己的孩子会得脑瘤,然而这样不幸的小概率事件每天都在不停地发生着。
一个新生命从胚胎到降生,再到他的第一次翻身、会坐、到学会走路的每一个跌跌撞撞,带给全家人无穷的欣喜和希望;而患病之后,孩子的一举一动更加牵动着他们的心弦。这么小的孩子,可以承受的住这么大的手术吗?这是患儿父母尤其关心的。
“减少出血”对于幼龄儿童开颅手术多重要?
儿童的血容量与成人有所不同,并且随着年龄的增长而变化,不同儿童年龄阶段的总血容量不同:
1.新生儿和婴儿(1岁以下):血容量约为80-85ml/kg。因此,对于一个体重为10kg的婴儿,总血容量大约为800-850ml。
2.幼儿(1-6岁):血容量约为70-75ml/kg。对于一个体重为15kg的幼儿,总血容量大约为1050-1125ml。
3.6岁以上儿童:血容量约为65-70ml/kg。对于一个体重为20kg的儿童,总血容量大约为1300-1400ml。
儿童体重低、血容量低,耐受失血的能力低,低血容量和休克风险大。对于幼儿来说,手术中10%的出血量,即100ml左右半杯水的失血量,可能就会休克;出血量达到20%一杯水的量,就会危及生命。
小小的宝贝们,安静地躺在手术台上,请别害怕,会有巴教授以及很多专业的叔叔阿姨为你保驾护航,守护你们的“打怪升级”。

术前不管是大小手术,巴教授会认真地研析每一个患儿的影像学的资料,了解病变的前后、左右的比邻关系,只有做到百分之百地了解病变的特性,才能做到手术中游刃有余,他们的生命安全和手术质量也就得到了保证。
此外,巴教授对脑干等深入位置的这些核团、神经纤维束以及手术入路娴熟于心。我们知道解剖是神经外科的基础和灵魂,特别是脑干这类高难度手术,巴特朗菲教授对于青年医师提出建议。
“
“首先需要了解脑干的大体解剖和纤维束/核团的解剖。当我还是神经外科住院医生时,在我的主任Wolfgang Seeger教授(1929-2018)的指导下,进行过脑干的标本解剖,这对我开展手术有很大的帮助。”
”
因此,对于手术入路更是精益求精,选择手术入路的时候,巴教授还会进行对比,自己和自己对比。同样一个位置,他曾经选择了何种入路,患者术后恢复情况有何不同。当为下一个患者选择入路的时候,他会把这些经验参考进去。入路因病灶的位置不同而选择,因患者情况的不同而选择,通过大脑自然腔隙到达病灶。
01
低龄幼儿、位置复杂
高难度buff叠满的开颅手术

对2岁的小虎和他的家庭来说,现在是一场和鞍区肿瘤正面刚的战斗!关于生命,唯有冷静面对,术前谈话全程,一家人仔细倾听着教授的分析。作为此次示范手术年纪最小的患者,这也是一份生命的重托!在妈妈怀里的小虎,此刻也十分乖巧懂事,大大的眼睛充满了好奇。“巴爷爷”轻轻拂过孩子的小小脑袋,示意手术入路,眼神中尽是关爱与疼惜。这个孩子牵动了很多人的心——低体重、幼龄宝宝、鞍区解剖结构复杂、颅咽管瘤易黏连,高难度buff叠满。

最终,示范手术完成,小虎的肿瘤得到成功切除。对于小虎的爸爸妈妈而言,他们相信:“这条路,不论以后怎样,但只要父母坚持,把孩子照顾好,加上合适的治疗,就是有希望的。”
02
“隐秘的角落”基底节
打响运动功能保卫战
“你是德国的,你怎么会说英语?”
“你要去德国吗?”
“那也太远了吧……”
这是巴爷爷与小勇士之间的一段温馨对话,孩子那份纯真无邪,总能触动我们内心深处最柔软的地方。
7岁男孩小杰偶然查出左侧基底节区病变,活检结果显示不排除低级别胶质瘤或瘤外改变可能。基底节区在大脑里是一个非常重要的结构和区域,这里走形着最重要的神经纤维,很多主管运动、感觉的神经纤维都从这个狭小的区域经过。基底节的主要功能是控制意识和本体感觉运动。它接收来自大脑皮层的信号,对这些信号进行权衡,并控制。
小杰的病灶恰好位于基底节区中央,与运动神经纤维相连,非常隐蔽的地方,而且很重要的区域,手术非常具有挑战性。因此,为了保护孩子的运动功能,巴教授建议术前进行DTI重建,图像会显示出运动纤维在肿瘤的哪个部位。这样主刀在手术时就能更加小心,避免误伤到它们。

术前,巴教授查看小杰的DTI重建

03
丘脑肿瘤入侵实质
拨开荆棘的路才能开满鲜花
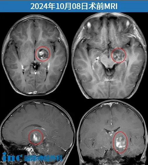
10岁男孩-佑佑也是一名疑难位置的神外疾病患儿,年纪稍大的他多了一丝“稳重”。他遇到了一个比较棘手的问题——在大脑的左侧丘脑里,长了一个不该长的东西,而且还像野草一样蔓延,已经悄悄侵入了大脑的实质部分。丘脑是大脑与机体神经冲动的中转站,其调节着感觉、运动、觉醒、决策、注意力、记忆、视觉、听觉、平衡有着举足轻重的作用。术前谈话时,巴教授详细地说明了手术会从哪里进入,怎么避开那些重要的“信息线路”,确保佑佑的正常神经功能不受伤害。

巴教授为佑佑父母演示手术入路

为孩子争取生机:
脑肿瘤虽凶险,儿童恢复力不容小觑
根据美国疾病预防与控制中心的数据,从2014年开始,脑部肿瘤已经超过了血液肿瘤(白血病),成为了儿童肿瘤死亡原因的第一名。
面对多数儿童脑肿瘤,手术往往是能够彻底清除病灶、为孩子赢得生存希望的治疗手段。唯有通过手术成功切除肿瘤,孩子们才能有机会长期存活,进而迎来全面康复的曙光。
与成年人相比,孩子们的神经系统正处于蓬勃成长阶段,其代偿功能和自我修复能力均显著优于成人。尽管他们对手术的耐受性可能稍逊一筹,但术后的恢复速度却常常令人称奇,他们那顽强的生命力总能给我们带来无尽的惊喜。
然而,儿童脑肿瘤手术的难度却异常艰巨。孩子们并非成人的简单缩小版。他们的病情变化更为迅速,疾病风险也相应增加。为年幼的幼儿进行脑肿瘤手术,更是难上加难,手术难度随年龄减小而急剧上升。特别是两岁以下的婴幼儿,他们的颅骨娇嫩且正在快速生长,手术过程中需要极其谨慎地处理开颅、关颅等步骤,并密切监测术后病情。医生在手术时必须确保颅缝不受损伤,因为任何破坏都可能影响颅骨的发育,导致未来出现畸形。因此,手术应尽量通过自然腔缝进行,以最大程度地减少对脑实质的损伤。
当然,手术的成功与否以及肿瘤的切除程度固然重要,但患者的最终治疗效果是一个综合考量的结果。在术后,需要儿科、内分泌科、康复科以及放化疗等多个学科的紧密协作,共同为孩子们打造最佳的治疗方案,助力他们战胜病魔,重拾健康与快乐。
后记
这一条治疗之路,很多勇敢的小朋友、大朋友们给我们留下了特别深刻的印象。尽管不幸的人生千差万别,但他们从未放弃,勇敢迈向人生下一阶段。
一切都会好起来的!这不仅是我们的深切期望,更是每个家庭由衷的祈愿。术后希望你们可以早点下地、早日出院,和其他小朋友一起学习、娱乐!


