中考、高考作为学生时代最重要的两场升学考试,牵动着万千学子和家长们紧绷的神经。每一个日夜的拼搏,都只为在考场上交出一份满意的答卷。
然而,对于即将中考的小波来说,一场突如其来的身体“警报”——脑干海绵状血管瘤出血,让考场变成了与疾病博弈的战场!
手术与否都面临着巨大风险,是咬牙奔向近在咫尺的中考终点线?还是立刻转身与死神争夺生机?如果手术切除后的结果没有现在好怎么办?这个残酷的生死抉择,不仅关乎能否踏入考场,更将彻底改写一个少年的人生轨迹……
小波 14岁 脑干海绵状血管瘤
起病阶段:撕裂的抉择
14岁的小波正全力备战中考体育测试时,一次普通的体育锻炼后,右下肢突然麻木,很快蔓延至整个右半身。
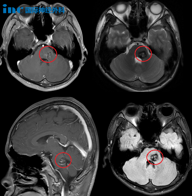
一向重视儿子健康的父母,心头警铃大作,火速送医。核磁共振的结果,如同晴天霹雳:脑干左侧海绵状血管瘤并出血!
这颗危险的“不定时炸弹”,就藏在控制生命核心的桥脑深处,体积大、位置险。“怎么治?” 小波父母跑遍多家医院,得到的建议却让他们坠入冰窟:
- 保守观察?无法预料下一次出血,可能会让孩子倒在考场上 ...
- 手术切除? 术后可能出现面瘫、右耳失聪、运动失调(共济失调)...
准备了多年的中考近在咫尺,小波难以接受,小波父母更是难以抉择。

病灶位于桥脑左侧,并且与桥臂的交界处,病灶大,位置深。
求医阶段:暂别课堂,先保健康!
一家人化身“求生战士”主动寻求更好的治疗机会,通过网络搜索、病友群咨询...信息零碎而有限。焦虑弥漫时,他们捕捉到一个名字:INC国际脑干手术大咖巴特朗菲教授。
开始深入接触巴教授治愈的病友,亲眼见证他们的良好恢复,小波一家看到希望曙光,经过INC的协调下,很快小波一家与巴教授进行了远程视频咨询。
在得到了巴教授既详细又全面的评估和建议后,一家人最终决定在中考前进行手术。

巴教授对小波病情的国际远程咨询回复
手术阶段:生命禁区的毫米之战
从山东到苏州的千里求医路,小波和他的父母将所有的希望都系于这场在“生命禁区”的精密较量。
2024年4月11日,在苏州大学附属第四医院,由巴教授主刀以及国内神经外科团队的配合下手术顺利完成。

术后阶段:奔跑吧,少年!
术后第1天:正常交流,手脚都可以活动。
术后3个月:巴教授查看了小波的复查影像后表示肿瘤全切,并且告诉小波父母孩子可以正常进行体育活动并且回归校园。
术后第15个月:巴教授根据小波最新的复查影像评估了他的状况:“一方面,病灶已被完全切除;另一方面,在原病灶区域内可见局部残留的静脉畸形。这种情况在多数此类患者中较为常见。单纯存在的静脉畸形无明确临床意义,仅在影像学上可见,偶尔可能导致轻微症状,正如患者所述,但并不需要任何治疗或干预。很高兴看到患者术后视频中肢体活动灵活,未见面神经及第六颅神经功能障碍。建议患者于一年后进行下一次磁共振检查(即 2026 年夏季),届时可将影像资料发给我们进行再次评估。”
“我们要把能做的做到,不轻易放弃,这才是面对这个疾病应该有的态度。”在疾病早期就坚定手术信心,争分夺秒寻求更好的治疗。正是这份果决与智慧,让小波在最佳时机解除了“后顾之忧”,少受了痛苦,赢得了重启精彩人生的入场券!
奔跑吧,少年!健康的体魄,才是追逐一切梦想最坚实的跑道。
INC国际脑血管专家 巴特朗菲教授

INC国际神经外科医生集团旗下世界神经外科顾问团(WANG)成员、世界神经外科联合会(WFNS)教育与技术委员会前主席巴特朗菲教授,作为德国汉诺威国际神经外科研究院血管神经外科主任,擅长大脑半球病变、脑干病变、脑血管疾病、脑内深层区胶质瘤、颅颈交界处的病变等的肿瘤切除术、神经吻合术以及各种椎管内肿瘤等。
同时,巴特朗菲教授收到过来自欧洲、中东、北非以及日本、中国、韩国、新西兰、南非和智利的40个国家的学术邀请,应邀出席了400多场世界各地的学术会议或在神经外科大会作为特邀发言人,对世界神经外科学科做出重大贡献,特别是颅底外科和显微外科血管病变的脑和脊髓治疗。
INC巴特朗菲教授8月即将来华!敬请期待巴教授即将开启的夏季中国行!


