
一 什么是中脑胶质瘤?
中脑是脑干的一部分,位于脑桥上方,脑干较顶端,小脑正下方。中脑是中枢神经系统(CNS)较重要的组成部分之一,是中枢和外周神经系统之间的连接点。全部通过身体、整个外周神经系统(PNS)传递到中枢神经的神经传递都需通过中脑[1]。
中脑与神经系统的许多功能有关,它的功能延伸到中枢和外周神经系统的许多不同部分,从运动到感觉和认知能力。

中脑胶质瘤发生在中脑,由于位于大脑深处,通常不能手术去除。肿瘤可以是良性或是恶性的;可以是原发性或是转移性的。中脑常见的肿瘤有血管母细胞瘤、神经节胶质瘤和室管膜瘤等。中脑肿瘤多发于儿童,分为儿童良性胶质瘤和青少年恶性胶质瘤。如果是恶性的,往往预后不好。中脑肿瘤占儿童脑瘤的1-2%,在成年人中不常见。中脑肿瘤在男女两性中发病率基本相同。脑干肿瘤患者中脑胶质瘤的发生率为10.3%[1],顶盖肿瘤比被盖肿瘤更常见。
患中脑肿瘤的症状包括视力障碍、共济失调、恶心和偏瘫。一些病人可能是无症状的。发生在中脑的胶质瘤通常级别较低(I级),多为良性。低级别良性星形细胞瘤常可以手术切除,预后较好。高级别中脑胶质瘤(HGG),例如弥漫性中线胶质瘤(一种侵袭性和不可治愈的儿童脑肿瘤),其特征是对抗肿瘤药物的耐药性,由于完整的血脑屏障而导致难以治疗[2]。手术不可行时,治疗方法通常是放疗或化疗。
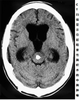
中脑胶质瘤被认为“可能是人体内较少导致病人死亡的肿瘤”,患者死亡多是由于肿瘤引起的阻塞性脑积水,而不是肿瘤本身。患者表现出的脑积水的症状和体征可能包括:恶心、呕吐、易怒、头痛、视线模糊、嗜睡、癫痫。

二 如何诊断?
磁共振成像(MRI)是诊断中脑肿瘤的优选方法。磁共振成像的引入,提高了诊断的准确性。磁共振成像能够识别重要的影像学特征和肿瘤的多平面定位。它允许在大多数情况下精确评估肿瘤生长模式和准确的术前诊断。同样,术后MRI显示出切除的放射效果,区分残留和复发的肿瘤以及显示肿瘤的变化[2]。功能成像如质子磁共振波谱是区分低级别和高级别胶质瘤的合适工具。
三 中脑胶质瘤有哪些治疗选择?
治疗策略以临床表现为基础。
1、神经外科治疗
如果可能的话,中脑胶质瘤的优选治疗方法应是手术。外科手术的目的是获得组织来确定瘤种,并在不给病人造成更多损伤的情况下尽可能多的切除肿瘤。脑干、丘脑和脊髓是中枢神经系统的敏感部位,在这些部位进行手术会导致严重的功能丧失。低级别脑干胶质瘤在中脑内界限清楚,应考虑神经外科切除。如果活检的风险太高,可以单独用放射治疗而不做活检[3]。如果病人有脑积水,还需要进行脑室分流术等手术来重新引导脑脊液的流动。
对于大多数儿童患者,病变通常在临床和影像学上是稳定的,只需要适当的治疗梗阻性脑积水,一般建议采用脑脊液(CSF)分流手术。

对于成人患者,建议保守治疗,采取观察和针对症状进行控制。对于有梗阻性脑积水的患者应保留手术治疗。除非有影像学或临床证据表明肿瘤演变,否则应选择特异性治疗。局灶性、非增强性、非外生性病变的表现与儿童良性顶盖肿瘤相似,这些局灶性中脑胶质瘤边缘清楚,生长缓慢,一般性质上是惰性的,在大多数情况下,切除为宜。

2、辅助治疗
患者术后通常需要进一步治疗。这可能包括放疗、化疗或临床试验。在大多数情况下,手术后进行放射治疗。化疗有时与放疗同时进行,或在放疗后进行。然而,目前还没有标准的化疗方案,每种方案都应该具体针对每个患者,由神经外科医生或专家对病情的回顾对于确定较佳治疗方案重要。临床试验,新式化疗,靶向治疗,免疫药物治疗,都在可能的治疗选择之内。
四 预后
中脑肿瘤的体积和位置与预后高度相关,手术尽可能多的去除肿瘤,术后放疗对患者有益。
中脑顶盖和被盖的局灶性胶质瘤比延及脑干的弥漫性胶质瘤预后更好。局灶性中脑胶质瘤患者需要治疗持续性脑积水。
尽管大多数患者未实现全切除,但手术后肿瘤似乎演变缓慢或不存在了。因此良好的临床效果和病人长期存活似乎是可以获得的。
[3]Management Strategy for Adult Patients with Dorsal Midbrain Gliomas[弥散型中脑胶质瘤治疗策略]. David D. Yeh, M.D., Ronald E. Warnick, M.D., Robert J. Ernst, M.D. Neurosurgery, Volume 50, Issue 4, April 2002, Pages 735–740.


