16女孩艾拉一直在糖尿病科接受治疗。多年来,她一直被告知这是糖尿病性视网膜病。直到一次深入的检查,才发现一个潜伏在她颅内的脑膜瘤,最终得到成功切除。
当然,这还不是最让人难以置信的地方。

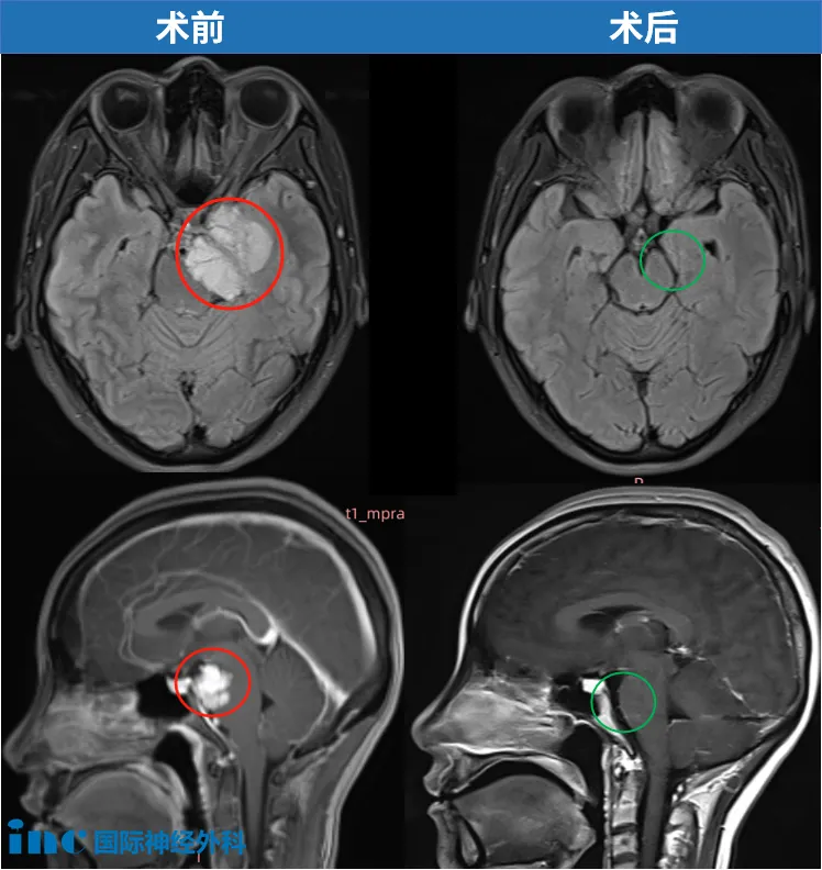
这个肿瘤的“第一次出手”,早在13年前就已开始。
艾拉3岁时,突然出现明显的斜视。母亲及时带她就医,并接受了物理治疗。儿童斜视是一种常见的眼科疾病,俗称“对眼”、“斗鸡眼”或“斜白眼”。
儿童斜视并不少见,表现也多样:有的孩子眼睛明显偏斜,有的习惯歪头看东西,还有的在强光下会闭起一只眼。有些孩子容易视疲劳、缺乏立体视觉,甚至走路不稳、容易摔倒。这类问题通常首先想到的就是眼科治疗。
经过两年治疗,艾拉的斜视消失了。所有人都认为治疗成功了。在当时看来,这确实也是一种“治疗成功”。
然而,13年后,已经十六岁的艾拉再次出现斜视,这究竟是什么情况?
这次,医生们没有停留在表面症状,进一步的影像检查终于让真相浮出水面:一个缓慢生长的脑膜瘤,正是导致她眼部问题的元凶。
那么,令人费解的问题来了:为什么3岁时的物理治疗会“有效”?
谜底在于肿瘤的精密位置。影像上可以看到它生长于控制眼动的第六颅神经与交感神经纤维之间。当时的物理治疗,实际上是破坏了这些交感神经躯干,意外地缓解了神经所受的压迫,没有了牵拉,斜视症状得以暂时消失。
这并非真正的治愈,而是以一种偶然的方式“掩盖”了问题。随着时间推移,脑膜瘤逐渐增大,最终直接压迫到第六颅神经,导致斜视再次出现,也终于暴露了它多年的潜伏。
最终,艾拉一家找到INC国际教授为艾拉切除了这个肿瘤,然后辅助质子治疗,重获健康。
这个脑膜瘤为何没有尽早发现?
对于很多患儿家长来说,遭遇脑瘤就仿佛晴天霹雳,恨不得立刻就把它切除,早早地做个“了断”。导致未能及时发现的原因可能包括以下几方面:
1.早期症状不明显:脑膜瘤的早期症状通常较轻微,可能与头痛、视力模糊、记忆力减退等常见症状相似,很容易被患者或医生误认为是压力、疲劳或其他小毛病。
此外还有大脑的代偿能力,通常来讲,年龄越小,大脑代偿能力越强。即使在成年后,大脑也有一定的代偿能力,不过年龄越大,代偿能力相对越弱。目前,大脑功能代偿的细胞学机制并不十分清楚,当然这种代偿一旦达到临界值,关键球员透支,就可能“崩盘”,出现显著症状。
2.儿科历来被称为“哑科”——小孩子有时候说不清到底哪里不舒服,很大程度上需要父母日常的高度关注以及医生根据经验先做出判断。
3.脑膜瘤症状隐匿性:脑膜瘤通常不属于快速生长或浸润性病变,而且发病症状隐匿。很多是在脑部成像中偶然发现的,比如体检。2008年,一项关于近20,000名儿童与成人头部MRI中偶然发现的系统评价/meta分析显示,脑膜瘤是最常见的意外发现肿瘤,在MRI中的检出率为0.29%。研究还发现,包括低级别胶质瘤(0.05%)、脑海绵状血管瘤(0.16%)、听神经瘤(0.03%)、垂体瘤(0.15%)以及动脉瘤(0.35%)在内的多种颅内病变都可能被偶然检出,且这些意外发现的概率随年龄增长而递增。数据来源:doi:10.1136/bmj.b3016
体检发现脑膜瘤,毫无症状,该不该手术?
正如艾拉的案例所示,脑膜瘤的症状有时并不显著,甚至会被误诊或忽略。而在现实中,有一些脑膜瘤患者在初期完全没有特殊症状,仅仅是通过体检才偶然发现。面对这样一个“意外来客”,我们究竟该如何应对?
有人因这次“偶然发现”及时手术,重获健康;也有人陷入焦虑,甚至后悔检查,宁愿继续“不知道”,维持原有的平静。
但我们必须清醒地认识到:看不见的风险,并不会因我们的忽视而消失。脑膜瘤属于颅内占位性病变,它不会因为你选择回避就停止生长。在相当长的一段时间内,它可能沉默地缓慢增大,一旦发展到一定程度——压迫关键神经、血管或脑组织,就可能引发剧烈头痛、视力骤降、癫痫发作、肢体功能障碍,甚至危及生命。

偶然发现脑膜瘤在INC国际教授的手术交流中很常见,他们会如何抉择——
36岁的小宛在一次体检中偶然查出,肿瘤一直没有显现出症状。面对这个“哑炮”,小宛没有过多犹豫就做出决定。

在北京天坛医院,INC福教授为她成功手术——“我在ICU里面呆了4个多小时就出来了,第2天下床,第9天出院。”点击阅读:天坛医院手术纪实|4.5cm脑膜瘤紧压脑干成功手术,勇敢辣妈的彪悍人生!

52岁的钟女士也是在体检中发现脑膜瘤。随后一年,她辗转多家医院,却屡屡被告知“手术风险太高”、“后遗症难料”、“难以全切”。焦虑让她夜不能寐,全家都笼罩在阴霾之中。直到伽马刀治疗效果不佳,她最终毅然选择手术,迎来生命的转机。点击阅读:体检查出脑瘤可能是误判吗?无症状,治还是不治?

41岁的周女士同样在体检中发现桥小脑角(CPA)区脑膜瘤。肿瘤虽小,位置却极其棘手:与纤细的滑车神经、三叉神经紧紧粘连,同时还压迫桥脑和中脑——这是生命的中枢。她没有等到剧烈头痛或面瘫偏瘫出现,正是这份体检报告,让她在神经功能尚完好时抓住了治疗的“黄金窗口期”,最终由巴教授主刀完成高难度手术,及早解除风险。

INC国际教授手术交流患者中,体检查出脑瘤还有很多
+【速战速决】体检意外查出脑膜瘤,38岁女强人果断手术、全切后7天出院
+“巴教授怎么还没给我做手术?ICU苏醒后,我状态好到以为还没开颅!”
三位患者,三种不同的经历,却指向了同一个真相:体检时偶然发现的脑膜瘤,无论是否已经出现症状,都不应被轻易忽视。是该积极手术,还是继续观察?这个决定的背后,牵扯太多——肿瘤的位置危不危险、什么时候做手术最合适、如何最大程度保护功能、术后生活质量如何保障……这一切,没有标准答案,每一步,都是医生与患者并肩做出的重大抉择。


