
示范手术
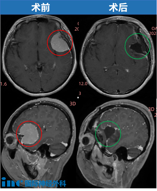
"开颅手术后,我竟然这么快就清醒了!"在苏州大学附属第四医院ICU,刚刚经历开颅手术仅数小时的安女士,用清晰的语言和灵活的手脚动作,让所有人惊喜不已。“说话完全没问题,手脚活动也正常,精神状态比想象中好太多了,非常非常感谢巴教授!”当巴特朗菲教授亲自查房,确认肿瘤已完全切除时,这位38岁的脑膜瘤患者激动不已——她知道,自己做出了人生中正确的选择。就在安女士术后第7天,她顺利出院!

手术室外,巴教授带来好消息。

“速战速决,不给脑瘤留任何后路!”是这位女强人的治疗哲学。如今,她不仅重获健康,更牢牢握住了事业与未来的主动权。这场与脑瘤的较量,终究成为她人生中又一个漂亮的胜仗。
一次体检偶然查出的良性脑膜瘤,无任何症状,她为何会坚定选择手术?
当事业强者遭遇脑瘤挑战,她勇敢迎战!
38岁,她站在人生的十字路口。
安女士有两个身份:一个是雷厉风行的企业掌门人,一个是与脑膜瘤抗争的患者。
她向来从容不迫——用女性的柔韧凝聚团队,以敏锐的嗅觉抓住机遇,在压力和挑战间游刃有余。而当疾病突然降临,她发现,这些在企业经营中磨砺出的特质,竟成了她面对病魔的铠甲。
当经营智慧与求医哲学产生共鸣,她与病魔抗争也有了方向:
- 科学决策——像评估商业风险一样,选择规范的治疗方案;
- 情绪管理——不因病情慌乱,始终保持稳定的心态;
- 团队协作——家人的支持,是她最坚实的后盾。
事业上,她无疑是强者;但遭遇脑瘤,却也犯难。
但骨子里的倔强,让她绝不认输。对于她,脑瘤从不只是肿瘤的问题,还牵扯到家庭、事业,以及未来几十年的生活质量。“所以看病时,我不仅要去想这台手术能否成功,还要想治好之后,我还能不能做自己,能不能有尊严地活着,治病不只是为了活着。”
作为企业的灵魂人物,她始终保持着钢铁般的意志,绝不容许任何病痛动摇她作为领导者的形象。在员工眼中,她是战无不胜的战士;在同仁面前,她永远是那个雷厉风行的铁娘子。
因此,她目标明确,知道自己要什么,对于手术她有3个目标:
- 坚持全切肿瘤保障预后;
- 确保零神经功能损伤;
- 要求更短恢复周期。
Simpson 分级是目前常用的脑膜瘤分类方法,应用于脑膜瘤的预后有较好的评价。同时,随着现代神经科学的发展,为了更好的评估脑膜瘤手术和复发,也有必要做更进一步的细化分级和研究。点击阅读:「那些导致脑膜复发的争议讨论」INC国际大咖们组团带你了解脑膜瘤的复发困境

如何在更短时间赢得最完美的效果?
对安女士而言,这场手术的成功至关重要,她拒绝被动等待康复,而是以商界精英特有的决断力,主动出击:想要在最短时间内,以最小代价,赢得最完美的治疗效果。
在寻找更佳治疗方案时,她偶然看到INC国际神经外科教授成功救治的脑膜瘤患者小宛的生活视频:画面中的小宛行动自如、撸铁健身、神采奕奕,完全看不出曾经历过开颅手术。这彻底颠覆了安女士对脑部手术的认知。点击阅读:天坛医院手术纪实 | 4.5cm脑膜瘤紧压脑干成功手术,勇敢辣妈的彪悍人生!
深入咨询INC后,巴教授过往成功案例让她坚定选择。全切肿瘤、无神经损伤——尤其得到巴教授关于这两个关键指标的评估,完全符合她的治疗诉求。更幸运的是,恰逢巴教授在国内进行示范手术。
术前谈话

时间就是生命!安女士当机立断:
- Day 1:携全家从东北飞赴苏州
- Day 2:完成所有术前检查
- Day 3:接受高难度手术
术中,为了降低复发率,巴教授切掉了肿瘤起源的硬脑膜。教授用她大腿上的筋膜代替脑膜,把洞补齐。
手术精准高效:只剃切口范围内1cm处头发、不影响美观,全切肿瘤,恢复迅速——术后7天出院。
“整个治疗过程远超预期!”安女士对巴教授团队充满感激。最令她欣慰的是,术后恢复如此之快。
致敬“她力量”生命的力量在于不顺从
心中有希望,即使身处逆境,也绝不轻言放弃。
在与病魔的抗争中,她们以非凡的勇气做出关键抉择,为自己赢得生命的尊严与质量。在INC国际教授的手术交流中,我们见证了太多这样的女性身影——虽曾被死亡的阴影笼罩,却从未向命运低头。除了坚韧的意志与乐观的精神,每一次精准的选择都成为扭转战局的关键。
从果断决策到坚定执行,从全力治疗到重获新生,她们用实际行动诠释着生命的韧性。这股令人动容的“她力量”,正以光明驱散阴霾:她们追逐光明,化身光明,最终成为照亮他人的那束光。
01. 4.5cm岩斜区脑膜瘤


“我们要做的就是调整心态,勇敢面对。毕竟手术这件事,再爱你的人也无法替你完成,最终还是要靠自己来面对。但值得庆幸的是,既然是良性肿瘤,就不会危及生命,所以越早治疗越好。”36岁的脑膜瘤患者小宛,在经历这场生命的考验后,不仅没有被疾病击倒,成功手术后,反而迎来了人生的华丽蜕变。点击阅读她的故事:天坛医院手术纪实 | 4.5cm脑膜瘤紧压脑干成功手术,勇敢辣妈的彪悍人生!
02. 脑干延髓胶质瘤

“医生还是不愿意给我做手术。虽然我症状已经有点严重了,但他们认为手术风险太大。我认为这样的治疗态度过于消极,等到症状严重到神经严重受损时,可能已造成不可逆的伤害了。那时即使手术,也可能终身残疾,这是我无法接受的。我还这么年轻,我肯定还是想要正常的生活,所以我要积极治疗,这也是我决定联系你们的原因。”点击阅读她的故事:“没有医生愿意手术” →术后2天行走:脑干延髓胶质瘤患者亲述自救之路
03. 功能区海绵状血管瘤

“我不能等倒下去再手术,我希望我的下半辈子,是能够过得有生活质量的,我不管是事业还是生活,我是希望能够多姿多彩,我不希望永远提心吊胆,我也不希望我就躺在病床上。”最终,一场疑难功能区海绵状血管瘤示范手术,成功拯救了47岁的邓女士于病魔的阴影之中。点击阅读她的故事:专访丨身患功能区海绵状血管瘤,她拒绝“躺平”,以奋斗姿态战胜一切!
04. 脑干海绵状血管瘤

“我是出过一次血,很害怕第二次出血。我那两个月都不敢推门,这样下去人生都没意思了。医生让我不能大声说话、打喷嚏可能都会出血……我不想一辈子都是要保守。“37岁女性佩珊,1400多公里,一家人从中国香港到苏州,只为切除脑干海绵状血管瘤。点击阅读她的故事:「Be happy !」患者亲诉如何8天内彻底结束脑干手术偏瘫、面瘫噩梦?
05. 功能区胶质瘤

“当地医生建议是保守治疗,如果手术,医生讲的最大的风险就在于瘫痪致残,让我觉得看不到未来。”41岁精英高管莫女士,1个时间成功战胜功能区胶质瘤。点击阅读她的故事:脑瘤紧邻运动区,致精英女性突发癫痫、失去意识,全切术后2年怎么样了?
当神经外科不断发展,国际医疗合作不断深入,奇迹正在不断发生……INC多位大咖——德国巴特朗菲教授、法国福洛里希教授、加拿大鲁特卡教授等多位国际神经外科大咖来华开展学术交流、国际合作……想要了解更多,欢迎留言或者在后台私信我们……


