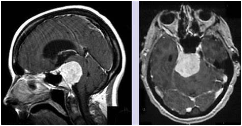
岩斜区脑膜瘤是发生于上三分之二的斜坡,硬脑膜附着在岩斜交界处。它们位于内听道的内侧,加塞神经节的后方。这将它们与发生在斜坡中线附近的斜坡脑膜瘤区分开来。岩斜病变在脑干后方及两侧均有分布,在临床表现前可累及海绵窦、岩斜窦、中颅窝、鞍旁区、幕区、枕骨大孔、梅克尔腔及/或其他各种颅神经孔。此外,它们还可能移位或包围该区域的脑血管结构,并可能通过硬脑膜侵入和/或渗入下位骨。这些病变的自然史表现为进行性生长和脑干受压,较终导致神经功能下降和不可避免的死亡。

直到20世纪70年代,这些肿瘤都被认为是不可切除的。岩斜区脑膜瘤的处理,即使有前沿的手术技术和仪器,对颅底外科医生来说仍然是一个较大的技术挑战。
20世纪:从早期的描述、x射线、尸检研究到一个外科研究
早期关于后颅窝这一区域病变的报道被不准确的解剖学特征所掩盖。由于当时成像方式的限制,后颅窝的肿瘤只能通过间接手段来识别。具体来说,颅骨x线和血管造影显示正常解剖结构移位,肿块的位置和大小需根据这些发现推断。这些限制导致了较差的结果,因为在术前不能很好地了解病变与关键结构的关系。基于间接影像外推的颅底探查手术常未发现肿瘤。此外,“岩斜区脑膜瘤”的定义并不明确,而且每个作者的定义都不相同,至少在1996年Couldwell等人提出一个严格的定义之前是如此。
库欣和艾森哈特在他们的书《脑膜瘤:它们的分类、区域行为、生活史和手术较终结果》中讨论了该区域的几个肿瘤病例。他们指出,首例发表的此类肿瘤病例是Hallopeau所描述的,她是一名50岁的女性患者,发病数周后出现双上肢麻痹和疼痛的长期性屈曲挛缩,随后出现双下肢类似症状。病人因膈肌和副呼吸肌的累及而出现呼吸困难,并于5个月后死于窒息。尸检发现一个栗子大小的肿瘤位于枕孔的基底沟,并将髓质向前推进。显微镜下,该肿瘤被描述为纤维脑膜瘤。这个病例的相关性后来被Cherington和Schneck争论,他们认为这个肿瘤似乎实际上起源于枕骨大孔。库欣等人描述了其他一些选定的尸检病例,这些病例较初是由其他几个作者小组发表的,肿瘤涉及枕骨大孔和下三分之一的斜坡。当时,这些肿瘤被认为是不可手术的。
库欣脑膜瘤发表几年后,Cherington和Schneck发表了两例斜坡脑膜瘤。他们讨论了解码临床图像的困难和x线造影的重要性,特别是脊椎血管造影,在诊断这些肿瘤。此外,他们注意到吞咽困难、运动道受累和颅内压增高的征象有助于与听神经瘤、蝶骨枕部软骨瘤和脑干胶质瘤相鉴别,否则也会出现类似的临床表现。然而,他们对治疗方案的评估也得出结论,这些肿瘤基本上是不可手术的,术后1年生存率≤25%,即使当时有可用的放疗辅助治疗。
1953年,Castellano和Ruggiero根据生长和附着部位将后颅窝脑膜瘤分为五类,并将岩骨后表面作为一个单独的实体。Olivecrona在1967年发表了一系列关于岩骨后表面的脑膜瘤,并同样宣布这些病变是“不可手术的”。事实上,70年代以前的手术死亡率超过了50%。似乎在1970年以前,文献中26例报道的岩斜区脑膜瘤手术中只有10例存活,只有1例完全切除肿瘤。
直到20世纪70年代手术显微镜的应用和显微外科技术的出现,才使岩斜区病变的治疗能力有了进展。显微镜使神经外科医生能够沿着蛛网膜平面进行识别和解剖,将肿瘤从邻近的重要结构中分离出来。有了这些新的显微外科技术,两个系列(Ya?argil和他的同事报道和Hakuba等)展示了手术死亡率< 20%(分别为17%和15%)的斜坡脑膜瘤的切除。
现代综合治疗策略的发展——更佳治疗仍然是手术全切除
尽管现代外科技术和多种治疗手段不断发展,岩斜区脑膜瘤的治疗仍面临挑战。在我们对这些肿瘤的治疗中,存在四个主要变量影响这些患者的治疗选择:(1)脑干症状的存在或不存在,(2)海绵窦受累,(3)患者的年龄,(4)肿瘤和脑干之间是否存在蛛网膜下腔。如果可行,对有症状的病人,无论大小,更佳治疗仍然是全切除。然而,功能结果和生活质量也需考虑,放疗已被证明是一个合适的术后辅助治疗。因此,对于有海绵窦受累患者,在辅助放射外科治疗的同时,计划通过减压和从放射敏感结构中切除肿瘤来达到良好的功能效果。当肿瘤损害了蛛网膜下腔并附着在脑干上时,我们也使用这种策略。无症状肿瘤是有争议的,因为生长速度是可变的,很难评估。如果肿瘤一直生长并引起症状,我们建议手术。
现在国际通行的颅内脑膜瘤手术切除程度Simpson分级系统。

岩斜区全切除术后并发症多?
正如医学界所说,“神经外科医生需小心,不要把治疗变成比疾病更糟糕的事情。”特别是,完全切除的好处需与相关的发病率甚至死亡率的可能性进行权衡。切除手术的严重并发症,虽然现在不那么频繁了,但是仍然存在。“鉴于已发表的数据显示岩斜区脑膜瘤术后虽然发病率和死亡率降低了,但仍有的发病率和死亡率,一些作者开始将他们的理念从的切除策略转向考虑STR(近全切除)作为一种可行的替代方案。”一些作者认为,近全切除是脑干和/或海绵窦侵犯患者的一个可行的主要治疗目标,以避免长期性的神经功能缺陷,或者是在患者肿瘤生长速度慢的老年人中。
对术后神经并发症发生率和复发率的危险因素分析发现,虽然海绵窦内的次全切除和残留肿瘤增加了复发的风险,但全切除和近全切除术后的复发率没有差异。术中所定义的肿瘤特征对于确定患者术后出现赤字的风险增加至关重要;在高危组患者中,采用近全切除而非全切除可降低术后发病率,且不增加肿瘤复发率。对于多模式治疗的经验,与全切除相比,在伴有或不伴有辅助放疗的不完全切除患者中获得了更有利的结果。
但是,在国际神经外科学院(WANS)主席William T. Couldwell教授的一篇研究报告中指出,随着显微外科技术的进步,切除这些肿瘤变得越来越顺利,目前死亡率不到10%。相比起Mayberg和Symon报道的35例患者中9%的死亡率,以及Hakuba和Yasargil报道的17%和15%的死亡率,William T. Couldwell教授的手术报道死亡率更是低至3.7%。

显微外科技术如何为多模式治疗提供保障
岩斜区脑膜瘤的少见性、治疗方法的差异以及所报道数据类型的异质性也增加了其复杂性。然而,很明显,显微外科技术和颅底入路的发展,对这些病变的病理和解剖学的更好理解,改进的成像技术的发展,神经监测和神经麻醉,以及放射外科的引入,带来了目前的多模式治疗。目前的共识仍然是尝试根治性切除生长,症状,或更大的肿瘤,与仔细的术中监测和判断。残余生长肿瘤或较小的肿瘤可用放疗治疗。有了这一策略,肿瘤的控制和生存质量的维持可以得到更佳的实现。
技术高超的神经外科医生仍然是治疗中较关键因素
即使在医疗设备、技术如此发达的今天,医生仍然是脑膜瘤治疗中较关键的因素,只有经验丰富、技术高超的医生才能在全切除肿瘤的目标时,同时保护并提高患者神经功能和良好的生活质量。目前国际上,在脑膜瘤的治疗上,国际脑膜瘤协会主席William T. Couldwell教授、国际神经外联合会(WFNS)颅底手术委员会主席Sebastien Froelich教授和国际颅底肿瘤手术教授巴特朗菲教授是较为擅长的。
在脑膜瘤治疗方面,William T. Couldwell教授拥有海量的脑膜瘤成功手术切除及良好预后病例,对于岩斜区、后颅窝等复杂高难度位置脑膜瘤,他仍能根据患者实际病情和肿瘤大小,熟练应用各种现代化高科技手术设备,采取个性化的手术入路实现较大水平的顺利手术切除。
Sebastien Froelich教授对于脊索瘤、脑膜瘤、垂体瘤、颅咽管瘤等都有大量的临床治疗经验,提出了克服脊索瘤的颅底基础方法、鼻内镜和下鼻甲联合皮瓣修复扩大鼻内入路后大面积颅底缺损的手术方法。
巴特朗菲教授作为国际颅底肿瘤手术教授,其脑肿瘤手术技术早已出神入化,就算是“生命中枢”脑干部位的肿瘤,他也有信心进行高切除率手术。巴特朗菲教授在中国医生、患者群也是,曾在中国的一些医院,如天坛、瑞金、华西医院为患者做过手术,手术全程直播让医院医生学习。
更多神外手术和前沿信息后续更新以及国际教授咨询咨询,尽在INC微信公众号。


